More than 22,000 persons in the United States are affected bycatscratch disease (CSD) annually. Despite the discovery of thecausative organism more than a decade ago, much is still unknownabout this illness. Recent data suggest that ticks, as wellas cats, may transmit the disease to humans. Immunofluorescenceassay is proving to be the most efficient and noninvasivetechnique for diagnosing CSD. Among available antimicrobials,azithromycin has proved to be especially useful, although randomized,double-blind, placebo-controlled trials are warrantedto define the best treatment method for patients with CSD.[Infect Med. 2008;25:242-246, 250]
Catscratch disease (CSD) affects approximately 22,000 patients annually in the United States, with an estimated incidence of 9.3 per 100,000 ambulatory patients per year.1,2 Prevalence studies suggest a higher subclinical infection rate, with 3.6% to 6% of the population testing positive for serum antibodies against Bartonella henselae.2,3 Most infected persons have limited disease; approximately 5% to 14% have severe disease.4 Although CSD can occur at any age, it is more prevalent in persons younger than 18 years.1
The incidence of CSD varies by season, with most cases occurring between August and January1,2,5 and with most hospitalizations occurring between July and October.6 It is estimated that this disease accounts for more than $12 million of the United States' annual health care costs,1 with approximately $3.5 million spent just to cover pediatric hospital charges.6
In immunocompetent human hosts, CSD has a wide spectrum of clinical manifestations, from local reaction with regional lymphadenopathy (so-called typical CSD) to disseminated illness, with resultant end-organ involvement. The cause has eluded researchers and physicians for decades. The first cases were reported by Parinaud7 in 1889, when he described what came to beknown as Parinaud oculoglandular syndrome (POGS). Later, in 1913, Verhoeff8 examined stained histological sections from Parinaud's patients and described an organism that bore a resemblance to a bacterium. It was not until 1931, however, that the association between the clinical manifestations of CSD and cats was made. This finding was subsequently documented in a case series in 1950.9
The search for the transmissible agent began in the late 1950s. Initially, CSD was thought to be caused by a virus because the organism would not grow on routine bacteriological culture media.10 CSD was not attributed to a bacteriological cause until the early 1960s.10-12 In 1988, the Armed Forces Institute of Pathology visualized a bacterial organism within the lymph nodes of a patient with CSD using Warthin-Starry silver stain.13,14 In 1992, the organism thought to be responsible for CSD was named Afipia felis (the genus being an acronym for Armed Forces Institute of Pathology).13,15 The isolation of Afipia enabled researchers to later make the association between CSD and bacillary angiomatosis (BA) in the immunocompromised host.13,16
A breakthrough occurred when polymerase chain reaction (PCR) testing showed a similarity between DNAextracted from BA lesions and the DNA from Rochalimaea quintanaorganisms.13,17 At nearly the same time, microbiologist Diane Hensel isolated several Rochalimaea-like organisms and named them Rochalimaea henselae.13,18-20 Shortly thereafter, sera collected from patients in whom CSD was suspected showed positive titers for R henselae rather than for Afelis, suggesting that R henselae was more likely the causative agent.13,21
In 1994, R henselae was detected by both direct culture and PCR testing of several cat fleas combed from bacteremic cats in the San Francisco Bay area.13,22,23 Subsequent genotypic evaluation of members of the genus Rochalimaea led to the conclusion that they were closely related to Bartonella bacilliformis.13 Therefore, researchers proposed a major revision in the classification of the aforementioned genera and suggested unifying the 2 genera, renaming the causative agent of CSD Bartonella henselae.10
MICROBIOLOGY
B henselae is a short, gram-negative, pleomorphic bacterium that is aerobic and oxidase-negative. It belongs to the & alpha;-2 subgroup of the class Proteobacteria.2,24 The bacterium is slow-growing, typically requiring at least 7 days before it can be detected. Growth is optimized when specimens are incubated in fresh media at 35C to 37C with 5% to 10% carbon dioxide concentrations and greater than 40% humidity. Some laboratory specialists prefer freshly prepared rabbit heart infusion agar as culture media for B henselae. Columbia sheep blood agar also has been used.
B henselae organisms interact with endothelial cells and induce angiogenesis, which can lead to many of the clinical manifestations seen in infected patients.25 The bacteria aggregate on the surface of endothelial cells, where they are engulfed and internalized and result in the formationof the invasome.26 Subsequently, Bartonella adhesin A, a very large protein that mediates the binding of B henselae to extracellular matrix proteins and to endothelial cells, activates hypoxia-inducible factor 1 (HIF-1).25 The activation of HIF-1 triggers the production of vascular endothelial growth factor,27 which leads to proliferation of endothelial cells and thus enhances the growth of B henselae in a positive feedback loop.28 The ability of B henselae to induce angiogenesis could explain how the species causes vasoproliferative disorders, such as BA and peliosis hepatis.29
CLINICAL MANIFESTATIONS
Typical CSD
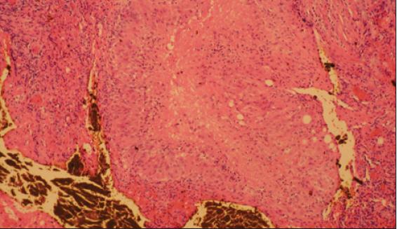
Although the angiogenic pathway accounts for some of the manifestations of B henselae infection, the most common manifestation is typical CSD, which follows a highly predictable clinical course and can best be described as a "granulomatous and suppurative" process (Figure 1).30 In most scenarios, patients report a history of a scratch or bite from a kitten or contact or intimate association with a kitten (Figure 2).Subsequently, a round, red-brown, nontender papule, from 1 to several millimeters, develops in the scratch or bite line 3 to 10 days after the injury occurs. The papule usually persists for only a few days but can remain for up to several weeks. Following the manifestation of a papule, regional lymphadenopathy occurs (Figure 3). Swelling increases such that the affected lymph node becomes enlarged by several centimeters over several weeks. The swelling then resolves over an additional 2 to 3 weeks30 by a process of suppuration and liquefaction.31

Figure 1 - This lymph node biopsy specimen from a patient with typical catscratch diseasedemonstrates the classic necrotizing granulomatous process. (Courtesy of Missouri Delta MedicalCenter, Departments of Pathology and Surgery.)

Figure 2 - A typicalulcerative lesion thatresulted from akitten bite is shownon the hand of thispatient. A round,red-brown, nontenderpapule, from 1 toseveral millimetersdevelops in the areaof the lesion.

Figure 3 - Regional lymphadenopathy typicallyoccurs as a symptom of catscratch disease,as it did in this patient whose left handwas bitten by a kitten.
The usual course of typical CSD lasts 2 to 3 months, with the majority of patients remaining afebrile throughout their illness; however, fever may occur. Associated symptoms can include anorexia; malaise; headache; arthralgia; myalgia; and abdominal, neck, back, or extremity pain.30
Disseminated disease
In a minority of cases, CSD can present as a disseminated disease. It manifests with persistent, severe systemic symptoms that can include prolonged fever (longer than2 weeks), malaise, fatigue, myalgia, arthralgia, skin eruptions, weight loss, splenomegaly, and hepatomegaly. There have been reports of immunocompetent patients with disseminated CSD without peripheral lymphadenopathy who had persistent fever, abdominal pain, and severe systemic symptoms.30
A typical clinical manifestationsB henselae is associated with several other diseases, including POGS, neurological complications, BA, bacillary peliosis, endocarditis, and relapsing bacteremia with fever. POGS is the most common form of atypical CSD.30 It occurs in 2% to 3% of patients with CSD.32 POGS can include conjunctivitis, conjunctival granuloma, and adjacent preauricular lymphadenopathy.32
Neurological complications vary in presentation and severity. They include encephalopathy, retinitis, myelitis, radiculitis, and cerebellar ataxia.25 The retinitis is referred to as Leber idiopathic stellate retinopathy, Leber idiopathic stellate maculopathy, and Leber idiopathic stellate neuroretinitis. It is characterized by acute visual loss from optic nerve edema associated with macular exudates.30,33
BA occurs almost exclusively in severely immunocompromised patients. 30 It can present as unique vascular lesions that most frequently involve the skin, but it can affect other organs such as the respiratory tract, bone, lymph nodes, the GI tract, and the brain. Bacillary peliosis is a condition with reticuloendothelial elements that can affect any orall of the following: liver (peliosis hepatis), spleen, abdominal lymph nodes, and bone marrow.30 Patients with endocarditis can present with subacute, nonspecific symptoms, including fever, fatigue, weakness, and weight loss.34
TRANSMISSION
It is generally accepted that domestic cats are the primary reservoirs and vectors for human infections with B henselae.35 A study of 271 pet cats from different geographic regions in the United States showed that 51% of the cats were seropositive for B henselae.36 Those animals that were living in warm, humid climates were more likely to be seropositive.36,37 Other risk factors for cats included being stray or living in a shelter, hunting behavior, and age of 2 years or younger, which are all risk factors for flea infestation.36 Fleas have been shown to transmit the bacteria to cats, resulting in an usually asymptomatic bacteremia. In most patients who have CSD, transmission occurs through inoculation of the cat's body fluids or flea feces via a cat scratch or bite. There has been no report of transmission of B henselae directly from fleas to humans.23 In as many as 30% of patients in whom CSD is diagnosed, no cat exposure is in the history.38 This calls into question whether direct inoculation of B henselae by a cat to a human is the only mode of transmission.
A review of the literature suggests existence of disease reservoirs besides cats. At least 2 reports have implicated dogs as a mode of transmission of CSD.39-41 In addition, fleas may not be the only vectors. Suspicions that the disease may be a tickborne illness arose in 1992 after the first reported cases of CSD in patients without known cat exposure were reported.42 The patients were immunocompetent, and tick bites preceded the development of a pro-tracted febrile illness. B henselae was recovered in blood cultures.
Following this report, Ixodes ticks were examined by a team in the Netherlands and were found to carry several Bartonella species, including B henselae.43 Since then, Bartonella species have been recovered from Ixodes ticks in Poland, Italy, France, Korea, Russia, and the United States.38,44-48
The discovery of Bartonella species in ticks has caused clinicians to be more vigilant about tick-borne coinfections. In a study of Ixodes ticks from northern New Jersey, the prevalence of Bartonella species carriage was shown to be 36%, with coinfection rates of approximately 13%.48 Clinically, 2 adolescent and 2 adult patients in New Jersey were found to have CNS coinfection with Borrelia burgdorferi and B henselae.49 Three of the 4 patients had a history of tick bite and 3 of the 4 had no exposures to cats. Treatment directed at B burgdorferi and B henselae resulted in clinical improvement.
Given the new findings about a possible association between ticks and B henselae infection, CSD may be a misnomer. Further transmission studies are warranted and investigation of other tick species is needed to better understand the scope of the transmission of B henselae.
The development of the immunofluorescence assay (IFA) for B henselae has enabled researchers and clinicians to more accurately diagnose CSD. Before this assay was available, confirmation of clinically suspicious CSD was made by a CSD skin test (similar to the tuberculin skin test) or by more invasive measures using culture techniques, histological examination, immunohistochemical examination, or PCR testing of an excised lymph node or a biopsy specimen. Skin testing, histologicaldiagnostic tests, and culture all proved to be challenged by poor sensitivity, poor specificity, or both.21,30,50 Immunohistochemical examination and previous PCR techniques were not widely available and required tissue sampling.21
Originally developed in 1992 for the CDC,51 IFAis currently the most useful noninvasive diagnostic technique available. It has a reported sensitivity of 84% and specificity of 96%.35 The accuracy, speed, and simplicity of IFA have made it the most widely used technique for confirming CSD in laboratories today. Now diagnosis of CSD is primarily clinical, based on a patient's symptoms and history, and it is confirmed using serological testing for antibodies against B henselae.52
TREATMENT
Although the causative organism of CSD has been identified, information regarding the treatment of typical CSD in immunocompetent adults is limited. Several in vitro antibiotic studies have focused on targeting B henselae in both the presence and the absence of eukaryotic cells, but the in vitro activity does not appear to reflect in vivo results.53 In addition, most of the antibiotics tested in vitro have only bacteriostatic activity. The aminoglycosides are the only antibiotics that have been shown to have bacteriocidal activity.53
Based on the in vitro data, treatment regimens have been attempted by numerous clinicians and researchers, all with varying success. Case series and individual reports suggest that ciprofloxacin, rifampin, and clotrimoxazole may be effective. It was recently reported that oral clarithromycin successfully managed CSD in a 17-year-old adolescent boy.54 In addition, success has been reported with gentamicin therapy in both typical and disseminated CSD,55,56 but to date, there have beenno prospective, randomized trials of treatment of CSD with aminoglycosides. 4 A prospective, randomized, placebo-controlled trial of the macrolide antibiotic oral azithromycin in adults and children, however, has shown clinical efficacy.31
In 7 of 14 patients treated with oral azithromycin in either pill or liquid form, ultrasonography documented an 80% decrease in lymph node volume by day 30.31 Only 1 of 15 patients in the placebo group experienced such a decrease in lymph node volume. The result was statistically significant (P < .026). In addition, 1 of the patients in the treated group had resolution of a liver lesion 3 weeks into the study. Because it is accepted that lymphadenopathy is the most common symptom in patients with typical CSD and that it can last for several months, the authors of the study concluded that azithromycin therapy is clinically efficacious against CSD.
Treatment recommendations for typical CSD as outlined by Rolain and colleagues4 are to treat patients who have extensive lymphadenopathy with a 5-day course of azithromycin. Fine-needle aspiration is considered unnecessary in light of findings by Bass and colleagues,31 who performed the aforementioned azithromycin study. This is contrary to an opinion by Koehler and Dun-can,57 who recommend no treatment in immunocompetent patients because of the risk of antibiotic resistance and instead support fine-needle aspiration to rule out other causes of lymphadenopathy.57
For immunocompetent patients with evidence of systemic infection, antibiotics are recommended. Aregimen consisting of gentamicin with ceftriaxone with or without doxycycline is recommended for culturenegative endocarditis. Gentamicin with doxycycline is recommended for culture-positive Bartonella endocarditis. Treatment of retinitis should consist of doxycycline and rifampin. All immunocompromised patients with CSD should be treated.4,58
Despite these current guidelines, there are no data on the long-term outcome of treated and untreated patients with typical CSD. There is information that suggests development of chronic arthropathy in patients infected with B henselae; however, it is not known whether early treatment alters this disease process.59
Because most patients will appear to have typical CSD at presentation and because there is no predictive tool to determine which 5% to 14% of patients will progress to a disseminated form of CSD, we recommend treatment for bulky lymphadenopathy. Also, we suggest that at minimum, all patients receive close follow- up to evaluate the progression of the illness. Additional studies are warranted to fully assess the long term effects of treatment and nontreatment on early typical CSD.
Acknowledgment
The authors thank Sara Branch for assistance with this article.