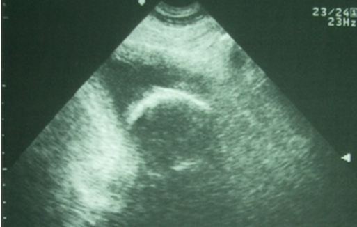
A 63-year-old man with hypospadias presents with ischuria x2 days but his bladder is barely enlarged. What do you see on the ultrasound?
Figure. (Click on sonograph image to enlarge)

A 63-year-old male presents to the ED with a chief complaint of urinary retention and a secondary complaint of shortness of breath. He states that he has an enlarged prostate and a “hypo-spade” of his penis hole as well as hypertension and CHF. Oddly he is not taking alpha-blocker and he states he has never been offered corrective surgery for hypospadias. Instead he straight caths himself, but he has been having difficulty getting urine to flow for the past 2 days. He has a PCP but has not seen a urologist in “years.”
He denies any fever, vomiting, chest pain, change in his chronic leg swelling, cough, or other complaints.
He is in mild respiratory distress, but vital signs and pulse-ox are normal. He has both pulmonary rales and peripheral edema, but his heart sounds are normal. Despite his hypospadias, his bladder doesn’t feel enlarged.
You order a cath urinalysis, a chest film, and some blood work. The nurse is unable to pass a standard Foley or a coude (French for “elbow”) catheter, and asks if you could try the Foley and/or do a quick bedside ultrasound of his bladder. You pick option two and obtain the following sonographic image (Figure, above).
His labs later come back and show that he has a raging UTI, elevated BUN and creatinine, and elevated B-natriuretic peptide level.
A. What does the ultrasound show?
B. What should be your next step or steps?
Please leave your answer below; for answer and dicussion, click here.