Malignant thymoma is an indolent tumor arising from the thymic epithelial cells located in the anterior mediastinum. These tumor cells spread via regional metastasis or invade surrounding structures, including the pleural space.
The case
A 37-year-old woman with no prior medical history presented to the emergency department with progressively worsening shortness of breath and left-sided pleuritic chest pain for approximately 1 year. She reported dyspnea on exertion after walking up 1 flight of stairs. She also noted weight loss of about 10 lb, subjective fever, and night sweats for several months. The patient denied a history of cough, hemoptysis, orthopnea, paroxysmal nocturnal dyspnea, and leg swelling. She also denied exposure to asbestos and tuberculosis (TB) and use of tobacco and injection drugs.

Figure 1 – Opacification of the left hemithorax with contralateral mediastinal shift can be seen in this anteroposterior chest radiograph from a 37-year-old woman with invasive thymoma.
On presentation, the patient had a temperature of 38°C (100.4°F), blood pressure of 120/70 mm Hg, heart rate of 110 beats per minute, respiration rate of 18 breaths per minute, and oxygen saturation of 98% on room air. She was a thin woman in no acute respiratory distress. Physical examination findings were significant for tachycardia, dullness to percussion, and absent breath sounds without egophony of the left hemithorax. Pertinent negative physical examination findings included the absence of jugular venous distention, cervical lymphadenopathy, organomegaly, and lower extremity edema. Laboratory results were notable for a white blood cell count of 14 × 103/L, with lymphocyte predominance of 47%; hemoglobin level of 13 g/dL; and platelet count of 271 × 103/L.
The patient’s chest radiograph revealed opacification of the left hemithorax with contralateral mediastinal shift (Figure 1). Thoracic CT scans revealed a large mediastinal and pleural-based mass with calcification and a loculated pleural effusion (Figure 2). On the basis of the clinical history and radiographic findings, the differential diagnosis consisted of fibrosarcoma, lymphoma, invasive thymoma, TB, and malignant pleural mesothelioma. In light of the patient’s presenting symptoms, TB risk factors, and the fact that pleural TB can present with nodular thickening and masses, she was admitted to the hospital. Active pulmonary TB was ruled out on the basis of negative purified protein derivative skin test results and 3 sputum samples negative for acid-fast bacilli.

Figure 2 – A large mediastinal and pleural-based mass with calcification and loculated pleural effusion was detected on an axial thoracic CT scan. The patient had invasive thymoma.
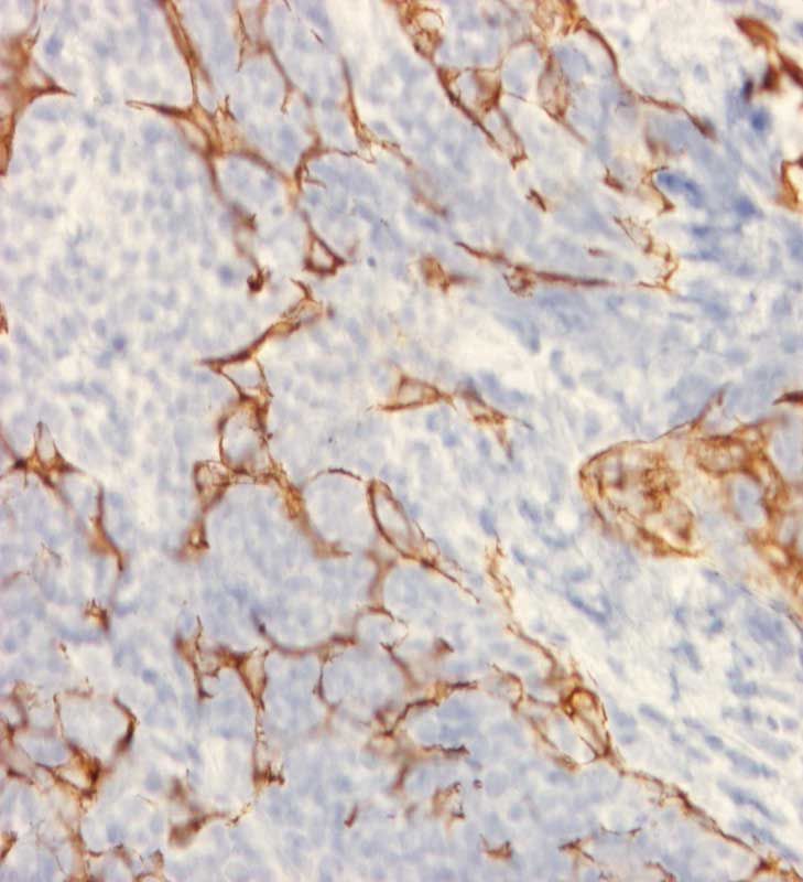
On the third hospital day, the patient underwent CT-guided thoracentesis of the left-sided loculated effusion as well as CT-guided pleural biopsy. Pleural fluid studies were consistent with a lymphocytic-predominant exudative effusion, with negative findings on culture and cytological analysis. A pleural biopsy specimen showed a neoplastic proliferation composed of a mixture of lymphocytes and keratin-positive epithelial cells with fibrous bands, consistent with thymoma (Figures 3 and 4).
The diagnosis of stage IVA malignant thymoma was made on the basis of the Masaoka staging system because of tumor invasion of the pleural space without distant lymphogenous or hematogenous metastasis. The patient was discharged home and received outpatient induction chemotherapy consisting of cisplatin, cyclophosphamide, and doxorubicin.
Discussion
Malignant thymoma is an indolent tumor arising from the thymic epithelial cells located in the anterior mediastinum. These tumor cells spread via regional metastasis or invade surrounding structures, including the pleural space. In rare cases, advanced malignant thymoma may present as a large mediastinal mass with pleural involvement. Several disease processes affect the anterior mediastinum and pleura, such as invasive thymoma, malignant lymphoma, malignant pleural mesothelioma, and fibrosarcoma.

Most patients with invasive thymoma are typically in the fourth or fifth decade of life and present with constitutional symptoms, including fever, night sweats, and weight loss, in addition to symptoms related to local compressive mass effects, such as chest pain, dyspnea, dysphagia, and cough. In severe cases, malignant thymoma leads to superior vena cava syndrome as a result of local invasion and compression.1 Invasive thymoma also has been associated with paraneoplastic syndromes, including myasthenia gravis (35%), pure red cell aplasia, and hypogammaglobulinemia.2,3
Typical radiographic findings demonstrate a smooth or lobulated mass located in the anterior mediastinum. Other radiographic features include calcification within the mass and local invasion with pleural effusion and thickening.4 It is unusual for the disease to present as a massive mediastinal and pleural-based mass. There is a single case report of a giant thymoma completely filling the right hemithorax in a 15-year-old patient.5


A thoracic CT scan and tissue samples are important in determining the stage of the disease using the Masaoka staging system (Table).6 Stage I malignant thymoma demonstrates encapsulation without microscopic capsular invasion, and stage II disease involves invasion of mediastinum or microscopic capsular invasion.6 In stage III malignant thymoma, there is invasion into surrounding structures, including the pericardium, great vessels, and lung.6 Stage IVA malignant thymoma involves pleural or pericardial metastases, and stage IVB disease includes lymphogenous or hematogenous metastases.2,6

A tissue sample is required for making the diagnosis of malignant thymoma and for ruling out other possible diagnoses, such as lymphoma and thymic carcinoma. Peripherally located lesions can be accessed via CT-guided core biopsy, whereas centrally located tumors may be approached via bronchoscopy or mediastinoscopy. Histolological features consist of a mixture of keratin-positive neoplastic epithelial cells and lymphocytes subdivided by fibrous bands.
Prognosis and outcome are directly related to the stage of the disease and the success of surgical resection. Patients with early stage I disease have excellent 5- and 10-year survival rates of 100% and 95%, respectively.7,8 However, in patients with advanced stage IV disease, 5- and 10-year survival rates are less than 25% without treatment.7,8 With treatment, 5-year survival improves to 71% for those with stage IVA disease and 52% for those with stage IVB disease.7,8 For patients with stage I disease who have had complete resection, there are no data to support the use of postoperative radiation treatment.2,3,9 However, postoperative radiation therapy is recommended for patients with stage III and IV invasive thymoma regardless of resection status because of the high local recurrence rate.2,3
There are no large, randomized, controlled trials that demonstrate an optimal treatment regimen for advanced invasive thymoma. However, results from multiple small trials using a combination of induction chemotherapy, surgical resection, and postoperative radiation therapy followed by consolidation chemotherapy show the best outcome.2,3,7-11 This combination treatment plan demonstrated overall survival of 95% at 5 years and 79% at 7 years in a phase 2 study by Kim and associates10 in 2004.
In a small prospective cohort study conducted by Shin and associates7 using the multidisciplinary approach for unresectable malignant thymoma, 12 of 12 patients (100%) were alive and 10 (83%) were disease-free at 7 years. Of note, 11 of 12 patients (92%) were initially classified as having unresectable disease; however, 9 patients (75%) were able to undergo surgical resection after initial medical treatment.7
In patients with pleural thymoma metastases, experimental trials using cytoreductive surgery and intraoperative hyperthermic intrathoracic chemotherapy with cisplatin and doxorubicin have demonstrated limited efficacy with a high local recurrence rate.12,13 Other treatment options include the use of octreotide to suppress the somatostatin receptor on tumor cells and prednisone to inhibit growth and apoptosis.9,14 Future treatment options include the use of umbilical cord blood transplant, high-dose chemotherapy followed by peripheral blood stem cell transplant, and tyrosine kinase inhibitor (gefitinib).9,15
Conclusion
Malignant thymoma is usually an indolent tumor that arises from the anterior mediastinum; however, in rare cases, the neoplasm may grow to a significant size and result in local invasion and compression, leading to superior vena cava syndrome. Radiographic appearance and tissue samples are very important in determining the diagnosis as well as the stage of the disease.
The prognosis of malignant thymoma depends on the stage of disease and the surgical resection. In advanced stage III or IV disease, the multimodal approach including the use of chemotherapy, radiation therapy, and surgery may result in the best clinical outcome. All patients with malignant thymoma have to have lifelong monitoring because of the risk of recurrence many years after treatment.
REFERENCES
1. Dib HR, Friedman B, Khouli HI, et al. Malignant thymoma. A complicated triad of SVC syndrome, cardiac tamponade, and DIC. Chest. 1994;105:941-942.
2. Johnson SB, Eng TY, Giaccone G, Thomas CR Jr. Thymoma: update for the new millenium. Oncologist. 2001;6:239-246.
3. Hejna M, Haberl I, Raderer M. Nonsurgical management of malignant thymoma. Cancer. 1999;85:1871-1884.
4. Rosenthal T, Hertz M, Samra Y, Shahin N. Thymoma: clinical and additional radiologic signs. Chest. 1974;65:428-430.
5. Smith WF, DeWall RA, Krumholz RA. Giant thymoma. Chest. 1970;58:383-384.
6. Masaoka A, Monden Y, Nakahara K, Tanioka T. Follow-up study of thymomas with special reference to their clinical stages. Cancer. 1981;48:2485-2492.
7. Shin DM, Walsh GL, Komaki R, et al. A multidisciplinary approach to therapy for unresectable malignant thymoma. Ann Intern Med. 1998;129:100-104.
8. Wright CD, Fidias P, Choi NC, et al. Case records of the Massachusetts General Hospital. Case 16-2007. A 61-year-old man with a mediastinal mass. N Engl J Med. 2007;356:2185-2193.
9. Riedel RF, Burfeind WR Jr. Thymoma: benign appearance, malignant potential. Oncologist. 2006;11:887-894.
10. Kim ES, Putnam JB, Komaki R, et al. Phase II study of a multidisciplinary approach with induction chemotherapy, followed by surgical resection, radiation therapy, and consolidation chemotherapy for unresectable malignant thymomas: final report. Lung Cancer. 2004;44:369-379.
11. Fornasiero A, Daniele O, Ghiotto C, et al. Chemotherapy for invasive thymoma. A 13-year experience. Cancer. 1991;68:30-33.
12. de Bree E, van Ruth S, Baas P, et al. Cytoreductive surgery and intraoperative hyperthermic intrathoracic chemotherapy in patients with malignant pleural mesothelioma or pleural metastases of thymoma. Chest. 2002;121:480-487.
13. Higashiyama M, Doi O, Kodama K, Yokouchi H. Intrathoracic chemothermotherapy following panpleuropneumonectomy for pleural dissemination of invasive thymoma. Chest. 1994;105:1884-1885.
14. Palmieri G, Lastoria S, Colao A, et al. Successful treatment of a patient with a thymoma and pure red-cell aplasia with octreotide and prednisone. N Engl J Med. 1997;336:263-265.
15. Iwasaki Y, Ohsugi S, Takemura Y, et al. Multidisciplinary therapy including high-dose chemotherapy followed by peripheral blood stem cell transplantation for invasive thymoma. Chest. 2002;122:2249-2252.
Â