A 75-year-old woman presented with worsening dyspnea of about 6 to 8 months' duration. Her symptoms were initially associated with exercise, after about 30 minutes on the treadmill, and now were present at rest. Her breathing pattern had changed to "panting" to improve airflow during minimal activity.
A 75-year-old woman presented with worsening dyspnea of about 6 to 8 months' duration. Her symptoms were initially associated with exercise, after about 30 minutes on the treadmill, and now were present at rest. Her breathing pattern had changed to "panting" to improve airflow during minimal activity.
The patient had a 40 pack-year smoking history but had quit 18 years earlier. She had hypertension, controlled with antihypertensive agents, and depression, for which she was not taking any medications. She denied heart or lung disease and use of alcohol or illicit drugs. Her father had a history of coronary artery disease.
On examination, the patient was in minimal distress. Blood pressure was 130/76 mm Hg; heart rate, 73 beats per minute; respiration rate, 20 breaths per minute; and temperature, 36.7°C (98.1°F). Oxygen saturation was 90% on room air. Head, neck, heart, lung, and abdominal findings were unremarkable. Trace pitting edema was noted in the lower extremities; signs of cyanosis or clubbing were absent.

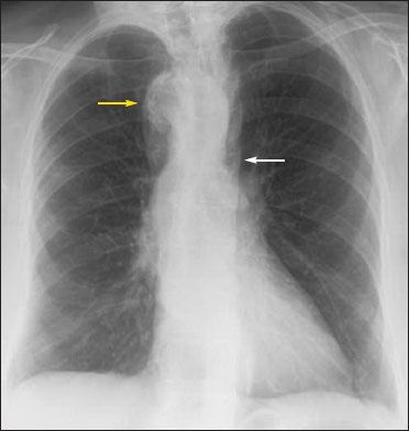
Figure 1 – A chest radiograph showed the absence of an aortic knuckle (white arrow) and a right-sided aortic arch (yellow arrow).
Results of a complete blood cell count and complete metabolic panel were normal. A chest radiograph showed a tortuous right-sided aortic arch but an otherwise unremarkable cardiomediastinal silhouette; the lungs were clear without evidence of focal collapse, consolidation, effusion, or pneumothorax (Figure 1).
Pulmonary function test results showed only mild obstruction without a significant bronchodilator response. Results of a flow-volume loop test did not show clear evidence of fixed or variable upper airway obstruction.
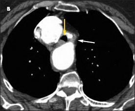
A high-resolution CT scan of the chest confirmed a right-sided aortic arch; a small ductus diverticulum was also noted just distal to the origin of the left subclavian artery, which was causing near circumferential compression of the trachea (Figure 2). Tracheal diameter at the thoracic inlet measured 1.1 cm, whereas maximal tracheal width at the level of greatest narrowing was 4 mm. Tracheal stenosis was strongly suspected.
The patient was initially treated with an inhaled bronchodilator and scheduled for a barium swallow study and speech evaluation. However, before any further testing could be done, she returned with increasingly severe shortness of breath. She was no longer able to walk from her house to her car because of difficulty in breathing. She was referred for cardiothoracic surgery.



Figure 2 – A highresolution CT scan of the chest confirmed the finding of a right-sided aortic arch and revealed marked narrowing of the trachea (B, yellow arrow) and a fibrous band between the left subclavian artery and the descending aorta (B, white arrow). The tracheal narrowing was apparent when comparing the view at the level of stenosis (B) with the cephalad (A) and caudad (C) views.
TRACHEAL STENOSIS: AN OVERVIEW
In the United States, tracheal stenosis affects 4% to 13% of adults and occurs in 1% to 8% of neonates after prolonged intubation.1 About 90% of all cases of acquired chronic subglottic stenosis in children and adults result from endotracheal intubation or tracheostomy.2 Other causes of tracheal stenosis include inflammatory conditions (such as sarcoidosis or amyloidosis); collagen vascular diseases (such as Wegener granulomatosis); neoplasms (both benign and malignant); and other causes of trauma or compression, including vascular rings. The differential diagnosis is expanded somewhat in newborns, in whom congenital abnormalities of the larynx or trachea must be considered.
Freitag and colleagues3 created a classification of tracheal stenosis that is based on the location, type, and degree of airway stenosis. The type of stenosis includes the following:
The degree of the stenosis is assigned a numerical code from 0 to 5, based on the percentage of tracheal stenosis: 1 represents less than 25% stenosis, and 5 represents greater than 90% (or complete) stenosis. This patient had 64% stenosis, which would be assigned a 3 (51% to 75% stenosis).
ABNORMALITIES OF THE AORTIC ARCH
Tracheoesophageal compressive syndromes have been categorized into 4 groups4:
A right-sided aortic arch is perhaps the most common major malformation of the great vessels and is usually asymptomatic. This anomaly occurs in about 0.1% to 0.14% of the population.5 In persons with this anatomical abnormality, the aortic arch originates from the right (rather than the left) fourth branchial arch and passes to the right and behind the trachea. If the ligamentum arteriosum remains left-sided and connected to the left subclavian artery, it completes a "ring" to the left of the trachea. In circumstances in which the ligamentum arteriosum is short or taut, as in this case, compression of the trachea and esophagus can occur.6
In infancy, symptoms are related to congenital heart anomalies or to compression of mediastinal structures, such as the trachea or esophagus. In adulthood, symptoms may include dysphagia, dyspnea, stridor, wheezing, cough, choking spells, recurrent pneumonia, obstructive emphysema, or chest pain and are more often the result of early atherosclerotic changes of the anomalous vessels, dissection, or aneurysmal dilatation with compression of surrounding structures.7
OUTCOME OF THIS CASE
Bronchoscopy revealed an hour-glass narrowing of the trachea at the level of the aortic arch. A subsequent left thoracotomy showed a fibrous band from the left subclavian artery to the descending aorta. This was thought to be a remnant of what likely should have been the patient's left-sided aortic arch. A fibrous band from the pulmonary artery to the first fibrous band (likely her ligamentum arteriosum) was also noted. The vascular bands were divided.
Follow-up bronchoscopy showed complete resolution of the narrowing with a normal-appearing airway. The patient did well postoperatively and her respiratory symptoms abated.
REFERENCES:
1.
McCaffrey TV. Classification of laryngotracheal stenosis.
Laryngoscope.
1992;102:1335-1340.
2.
Samad K, Shamim F, Awan MS, Hoda MQ. Anaesthetic management of tracheal reconstruction using jet ventilation (JV).
J Anaesth Clin Pharmacol.
2008;24:79-82.
3.
Freitag L, Ernst A, Unger M, et al. A proposed classification system of central airway stenosis.
Eur Respir J.
2007;30:7-12.
4.
Mainwaring RD, Lamberti J. Tracheoesophageal compressive syndromes of vascular origin. In: Baue AE, Geha AS, Hammond GL, et al, eds.
Glenn’s Thoracic and Cardiovascular Surgery.
6th ed. Stamford, CT: Appleton & Lange; 1996:1095-1103.
5.
Hastreiter AR, D’Cruz IA, Cantez T, et al. Right-sided aorta, part I: occurrence of right aortic arch in various types of congenital heart disease.
Br Heart J.
1966;28:722-725.
6.
Bose S, Hurst TS, Cockcroft DW. Right-sided aortic arch presenting as refractory intraoperative and postoperative wheezing.
Chest.
1991;99:1308-1310.
7.
Cinà CS, Arena GO, Bruin G, Clase CM. Kommerell’s diverticulum and aneurysmal right-sided aortic arch: a case report and review of the literature.
J Vasc Surg.
2000;32:1208-1214.