Three women-all of whom presented with positional right flank pain-- all had the same final diagnosis. What do you think it was?
Three women-all of whom presented with positional right flank pain-- all had the same diagnosis. What do you think it was?
Case 1: A woman in her 30’s with a history of asthma and migraines and a recent URI presents with a 3 day history of right flank pain, which she thinks is a muscle strain from lifting her 3-month old. The pain is worse with lying down and increased with respirations. She denies fever, hematuria, dysuria, vomiting, and shortness of breath. Her vitals and exam are essentially normal. Urinalysis shows 200 RBC’s. Chest film shows a faint right sided infiltrate.
Case 2: Another woman in her 30’s presents with 4 days of intermittent right flank pain that is positional. The pain is much worse when she is supine and is relieved by standing up. It has been intermittent, and lasts up to 20 minutes. It also seems like it is difficult for her to take a deep breath. She denies shortness of breath, fever, vomiting, hematuria and dysuria. She was seen at another ED yesterday, had a negative UA and was sent home with a diagnosis of biliary colic. Vital signs and physical exam are normal. UA is negative again today, as is the chest film.

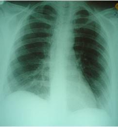
Case 3: The third woman was referred to the ED by her pain specialist. She had “refractory” right flank and abdominal pain that had not been relieved by a cholecystectomy: the plan was to do an intercostal rib block Monday in the office. The pain is in the right flank and worse with inspiration and twisting movement or lying on her side. She also has had a cough productive of yellow phlegm and occasional blood, which she had been told was due bronchitis for which she recently finished a course of antibiotic. Her chest x-ray is shown (Figure).
For these 3 cases, what is the most likely diagnosis? What testing would you do to confirm the diagnosis? What are the treatment options?
Please click here for answers and discussion.