Myocarditis, postpericardiotomy syndrome, double aortic arch, heart-hand syndromes, stroke, cardiac valvulopathy, hemochromatosis, myocardial rupture-these visual presentations cover a range of heart diseases and related problems.

Case 1:
A 55-year-old woman complained of fever, weakness, and generalized malaise. Twelve hours after admission, she had hypotension, atrial fibrillation, and worsening respiratory distress; 24 hours after, she had a cardiac arrest. This echocardiogram showed inferior wall hypokinesis, along with a ventricular septal defect in the inferoseptum, a complication of myocarditis.
Myocarditis, with focal or diffuse inflammation, may be of infectious or noninfectious origin. Viral infections are the most common infectious causes, although the true incidence of viral myocarditis is unknown. Other causes of myocarditis include autoimmune diseases and a hypersensitivity response to drugs.
The clinical presentation of myocarditis varies, ranging from asymptomatic to a fulminant picture, which may include heart failure, arrhythmias, and cardiogenic shock.
Definitive diagnosis requires an endomyocardial biopsy, which should be performed when fulminant or giant cell myocarditis is suspected.
Case and photos provided by Orlando Santana, MD and Michael Funk, MD
NEXT CASE »
For the discussion, click here.

Case 2:
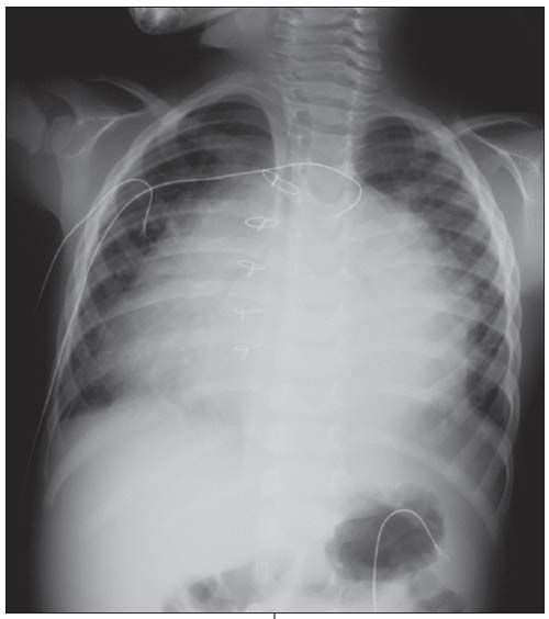
A 3-year-old boy with chest pain and trouble breathing was brought to the ED. His most prominent symptom was a cough, and the chest pain appeared to worsen with coughing. He had undergone open atrial septal defect (ASD) repair about 3 weeks earlier. Cardiovascular examination revealed normal rhythm, with distant heart sounds. The chest radiograph shows massive enlargement of the heart in a globular shape, indicative of a large pericardial effusion.
The boy had postpericardiotomy syndrome, the development of pericarditis or symptomatic pericardial effusion days or weeks after a cardiac operation. ASD repair is a common cause.
Precordial or pleural chest pain is a frequent presenting symptom. Young children may initially have anorexia and vomiting, presumably from bowel ischemia. Fatigue, sweating, headache, cough, fever, and dyspnea are common.
Physical examination may reveal hypotension and tachycardia. A pericardial friction rub is a classic association. The clinician must be alert for signs and symptoms of heart failure in patients who have significant effusion. A chest radiograph can suggest the diagnosis, as in this patient.
Case and images provided by Sarah Boggs, MD and John Harrington, MD
NEXT CASE »
For the discussion, click here.

Case 3:
A 3-day-old boy presented with what his mother described as “strange breathing.” He was breast-fed and had no difficulty with choking, swallowing, or reflux during feeds. This was a case of double aortic arch in an infant with persistent stridor.
Shown here is a double aortic arch vascular ring composed of a dominant right aortic arch (lower arrow) and a smaller left aortic arch (upper arrow).
Double aortic arch, a vascular ring anomaly in which both embryonic aortic arches persist and encircle the trachea and esophagus, is rare, presenting in just 1 of 1000 pregnancies. Vascular ring anomalies that compress the lower trachea are associated with respiratory symptoms, such as wheezing, dyspnea, and cough. Vascular rings also can compress the esophagus, causing dysphagia, vomiting, feeding intolerance, and other symptoms.
Echocardiography is used liberally in evaluating patients for vascular ring anomalies because it may be adequate for diagnosis and is less invasive than other modalities. The double aortic arch vascular ring anomaly usually occurs without associated cardiovascular anomalies, but echocardiography provides the added ability to rule out intracardiac anomalies.
Case and images courtesy of Joshua S. Coren, DO, MBA and Amir Toib, MD, MSc
NEXT CASE »
For the discussion, click here.

Case 4:
A 45-year-old African American man presented with heart disorders and congenital hand deformities-short nubbin-like fingers with somewhat deformed thumbs as seen here. The hand diagnosis was amniotic band syndrome. Some congenital hand deformities are associated with congenital heart disorders. Heart-hand syndromes include the following:
• Holt-Oram syndrome-thumb anomalies; abnormal carpal bones and radius, with atrial septal defect; autosomal dominant.
• Tabatznik syndrome-brachydactyly; telephalangy; bifid thumbs; and bowing of the radius, with arrhythmias; autosomal or X-linked trait.
• Familial brachydactyly-brachydactyly of middle or proximal phalanx of digits 2 - 5, with sick sinus syndrome; autosomal dominant.
• Polydactyly-polydactyly; cutaneous syndactyly, with patent ductus arteriosus; ventricular septal defect; and genital defects (hydrometrocolpos); autosomal recessive.
Patients with congenital hand deformities and coexisting cardiac conditions should be evaluated for possible inheritable heart-hand syndromes and other noninheritable types of limb deformities.
Case and photos courtesy of Satyajeet Roy, MD and Monaliben Patel, MD
NEXT CASE »
For the discussion, click here.

Case 5:
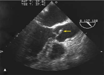
Aphasia and right-sided weakness were seen in a 59-year-old woman after she had a routine total knee replacement. CT and MRI scans showed a large left middle cerebral artery infarct. A CT angiogram showed no significant disease of the cerebrovascular arteries. A subsequent transesophageal echocardiogram revealed a mobile mass of about 9 × 4 mm attached to the aortic valve (arrow). Intravenous injection of agitated saline suggested a patent foramen ovale (PFO).
The patient underwent cardiothoracic surgery and excision of the mass. Pathological examination of the surgical specimen revealed a cardiac papillary fibroelastoma (CPF) with multiple fronds.
This patient had 2 potential causes of cryptogenic, or idiopathic, stroke: an apparent PFO and a CPF. The higher prevalence of PFO in patients with cryptogenic stroke compared with normal controls has suggested a link between PFO and stroke. CPF, the third most common cardiac tumor after myxoma and lipoma, may cause stroke by shedding directly into the bloodstream or by releasing thromboembolic material.
Case and image courtesy of Stephen Fleet, MD
NEXT CASE »
For the discussion, click here.

Case 6:
A 49-year-old woman was referred for evaluation of cardiac valvular dysfunction. Years earlier, she had taken phentermine and fenfluramine for 3 to 6 months for weight loss. She had lost 6.75 kg (15 lb) without cardiac symptoms or adverse effects.
An echocardiographic study showed abnormally thickened and rigid mitral, aortic, and deformed tricuspid leaflets. The color flow Doppler images seen here showed abnormal regurgitation at all 3 valves without stenosis.
Cardiac valvulopathy has been reported after use of serotonin-like drugs (eg, ergotamine and methysergide) and serotogenic anorectic drugs (eg, fenfluramine, phentermine, and dexfenfluramine).
The pathologic findings in the affected valves excised at surgery or autopsy are identical to those seen in carcinoid valvular disease, which then leads to valve dysfunction. Both right- and left-sided heart valves can be involved, but multiple simultaneous valvular dysfunction is less common. This case illustrates multivalvulopathy where only the pulmonary valve was spared.
Case and images provided by Azam Ansari, MD
NEXT CASE »
For the discussion, click here.

Case 7:
This patient’s skin exhibits the bronze pigmentation characteristic of hemochromatosis, an iron metabolism disorder that may lead to abnormalities in multiple organ systems. Cardiac iron deposition may lead to cardiomyopathy, with arrhythmia and congestive heart failure.
Hemochromatosis is characterized by excessive body iron stores and deposition of hemosiderin. The diagnosis often is delayed, sometimes for decades, because there is a period of silent iron deposition before symptoms manifest. Diagnosis is difficult even in symptomatic patients-the signs and symptoms are nonspecific and overlap with those of many other conditions.
Patients whose hemochromatosis is diagnosed on the basis of symptoms have evidence of iron overload and end-organ damage. Those with a diagnosis by screening manifest fewer symptoms.
Because of a trend of earlier diagnosis, the classic symptoms of cirrhosis, diabetes mellitus, and bronze skin are seen infrequently. The most common presenting symptoms are fatigue, malaise, and joint symptoms.
NEXT CASE »
For the discussion, click here.

Case 8:
A 53-year-old man with a history of hypertension presented to the ED with intermittent retrosternal chest discomfort. The ECG revealed sinus tachycardia, ST segment elevation, and aVF with associated Q waves. Emergent cardiac catheterization revealed total thrombotic occlusion of the mid left anterior descending coronary artery. Cardiac MRI confirmed an LVA with myocardial tissue hanging in the LV cavity, consistent with intramyocardial dissection of the LV anterior, septal, and apical myocardial walls.
Myocardial rupture is the most feared and often lethal complication of acute MI. Free-wall rupture usually occurs 3 to 6 days after MI and is mostly associated with anterior wall MI. Rupturing of the free wall of the infarcted ventricle is relatively common. Incomplete rupture is a relatively uncommon type of free-wall rupture.
CMR is the definitive imaging modality to evaluate clinically stable patients with echo findings that suggest possible free-wall rupture.
Case and image provided by Mario Gonzalez, MD, Keshwar Ramkissoon, MD, and Ricardo Castillo, MD