This gastrovascular disorder is rare yet life-threatening when it occurs. It is caused primarily by any process that leads to increased acuity of the aortomesenteric angle.
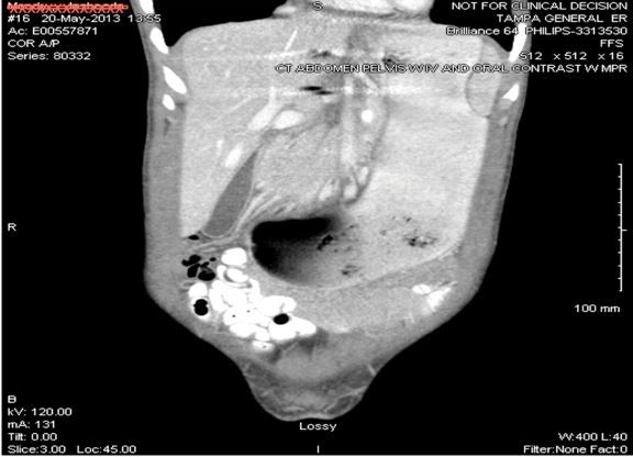
Figure 1. CT scan of abdomen, pelvis with contrast showing gastric obstruction.

Figure 2. Luminal obliteration of third portion of the duodenum.

A 20-year-old woman presented to the emergency department with 15 days of nausea and intractable bilious non-bloody emesis. She had undergone corrective surgery for scoliosis 1 month earlier. She reported an inability to tolerate anything except liquids. She complained of diffuse cramping abdominal pain that started 30 minutes after meals. Her pain improved with flexion of her knees to her chest. Since surgery, she had experienced a 19-lb weight loss and weighed 80 lb (baseline 99 lb). She denied any changes in bowel movements and continued to have flatus.
On physical examination, the patient was thin and ill-appearing. Her abdomen was tender to palpation in all 4 quadrants with voluntary guarding and no rebound tenderness. Results of her laboratory work were significant only for a stable normocytic anemia. Abdominal CT showed marked distention of the stomach, consistent with gastric outlet obstruction (Figure 1; click to enlarge). Orders were made for the patient to receive nothing by mouth and a nasogastric tube was placed for gastric decompression.
The next day, an esophagogastroduodenoscopy (EGD) was performed to rule out causes of obstruction. The study showed a hiatal hernia as well as luminal obliteration on the third part of the duodenum (Figure 2; click to enlarge) and visible pulsation. These signs are consistent with superior mesenteric artery (SMA) syndrome. A gastrojejunostomy was placed and enteral nutrition was initiated. The patient was able to tolerate tube feeds and was discharged with follow-up. At 8 weeks, the patient had gained sufficient weight and her symptoms had completely resolved.
Discussion
Few cases of SMA syndrome have been reported since Carl von Rokitansky first described it in 1861. Studies have reported the incidence to be as low as 0.1% to 0.3%.1 It is caused by compression of the third portion of the duodenum by the abdominal aorta and superior mesenteric artery. Patients often present with signs of intractable vomiting and diffuse abdominal pain.
In most patients, the angle between the aorta and SMA ranges from 38 to 65 degrees, and there is an aortomesenteric distance of 10 to 28 mm.2 The distal third of the duodenum lies transversely between the SMA and the aorta. The mesenteric fat pads cushion the duodenum, which helps prevent compression between the two arteries.3 SMA syndrome is caused primarily by any process that leads to increased acuity of the aortomesenteric angle. It is most commonly seen with disorders that result in significant weight loss and subsequent decrease of the mesenteric fat pad.3 Examples include burns, malignancy, malabsorption syndromes, and most recently, bariatric surgery.4 With loss of the mesenteric fat pad, the angle can decrease to as low as 6 degrees and a distance as short as 2 mm.5
Anatomical abnormalities can also contribute to narrowing of the aortomesenteric angle. As in this patient, corrective surgery for scoliosis has been associated with SMA syndrome.6,7 On average, patients present with the symptoms described above 12 days after surgery. This patient presented with symptoms 15 days after surgery. Because the corrective procedure lengthens the spine caudally, it reduces the mobility of the SMA by displacing it from its origin which leads to a decreased angle.9 The incidence of patients presenting with SMA syndrome after scoliosis surgical repair is 0.5% to 2.4%.7 Some of the risk factors that increase the likelihood of this complication are a BMI <18 kg/m2 and a weight-to-height percentage <5%.7
These patients commonly present with nausea, postprandial epigastric pain, and intractable bilious vomiting.10 Patients have also reported improvement of abdominal pain on lying supine in a knee-to-chest position (Hayes maneuver). This maneuver relieves the tension on the SMA and increases the area between it and the aorta, alleviating compression on the duodenum.11
Because the signs and symptoms of SMA syndrome can be nonspecific, radiographic evidence combined with a high index of suspicion can aid in diagnosis. Currently, an abdominal CT has proved most helpful in evaluating the aortomesenteric angle, the feature that has shown the most sensitivity for SMA syndrome.12 An EGD should also be performed to rule out other causes of obstruction. Although rare, one such classic finding is complete luminal obliteration of the distal duodenum with visible pulsation13-a sign consistent with SMA syndrome-which was seen in this patient. This further implicates the role of the mesenteric fat pads and spinal changes that can lead to SMA syndrome.
Initial treatment should be primarily focused on nutritional support, ideally through enteric feedings via a nasojejunal feeding tube placed distal to the obstruction.10 This can provide the patient sufficient supplementation to improve BMI and alleviate obstruction by improving fat stores. Patients with more severe presentation or those who do not improve with nutritional support alone may require surgical management.10 Multiple surgical approaches have been used to resolve SMA syndrome, including Strong procedure, gastrojejunostomy, and duodenojejunostomy. However, there are few long-term studies evaluating outcomes post surgery.
Our hope is that this case will help increase awareness of SMA syndrome and potentially prevent complications associated with delayed diagnosis.
1. Shiu JR, Chao HC, Luo CC, et al. Clinical and nutritional outcomes in children with idiopathic superior mesenteric artery syndrome. J Pediatr Gastroenterol Nutr. 2010;51:177-1782.
2. Konen E, Amitai M, Apter S, et al. CT Angiography of Superior mesenteric artery syndrome. AJR. 1998;171:1279-1281.
3. Ozkurt H, Cenker MM, Bas N, et al. Measurement of the distance and angle between the aorta and superior mesenteric artery: normal values in different BMI categories. Surg Radiol Anat. 2007;29:595–599.
4. Goitein D, Gagné DJ, Papasavas PK, et al. Superior mesenteric artery syndrome after laparoscopic Roux-en-Y gastric bypass for morbid obesity. Obes Surg. 2004;14:1008-1011.
5. Lippl F, Hannig C, Weiss W, et al. Superior mesenteric artery syndrome: diagnosis and treatment from the gastroenterologist's view. J Gastroenterol. 2002;37:640–643.
6. Crowther MA, Webb PJ, Eyre-Brook IA. Superior mesenteric artery syndrome following surgery for scoliosis. Spine (Phila Pa 1976). 2002;27:528-533.
7. Marecek G, Barsness K, Sarwark J. Relief of superior mesenteric artery syndrome with correction of multiplanar spinal deformity by posterior spinal fusion. Orthopedics. 2010;33:519.
8. Hutchinson DT, Bassett GS. Superior mesenteric artery syndrome in pediatric orthopedic patients. Clin Orthop Relat Res. 1990;250:250-257.
9. Wee JW, Lee TH, Lee JS, Kim WJ. Superior mesenteric artery syndrome diagnosed with linear endoscopic ultrasound (with video) in a patient with normal body mass index. Clin Endosc. 2013;46:410-413.
10. Matherge N et al. SMA Syndrome and its associated Gastrointestinal Implications. Clin Anat. 2013 Aug 20. SGUSOM. Wiley Periodicals.
11. Ahmed AR, Taylor I. Superior mesenteric artery syndrome. Postgrad Med J. 1997;73:776-778.
12. Unal B, AktaÅ A, Kemal G, et al. Superior mesenteric artery syndrome: CT and US findings. Diagn Interv Radiol. 2005;11:90.
13. Gustafsson L, Falk A, Lukes PJ, Gamklou R. Diagnosis and treatment of superior mesenteric artery syndrome. Br J Surg. 1984;71:499-501.
Clinical Tips for Using Antibiotics and Corticosteroids in IBD
January 5th 2013The goals of therapy for patients with inflammatory bowel disorder include inducing and maintaining a steroid-free remission, preventing and treating the complications of the disease, minimizing treatment toxicity, achieving mucosal healing, and enhancing quality of life.