Figure 1. Plain film of chest. (click each figure to enlarge)

Figure 2. ECG obtained in ED.

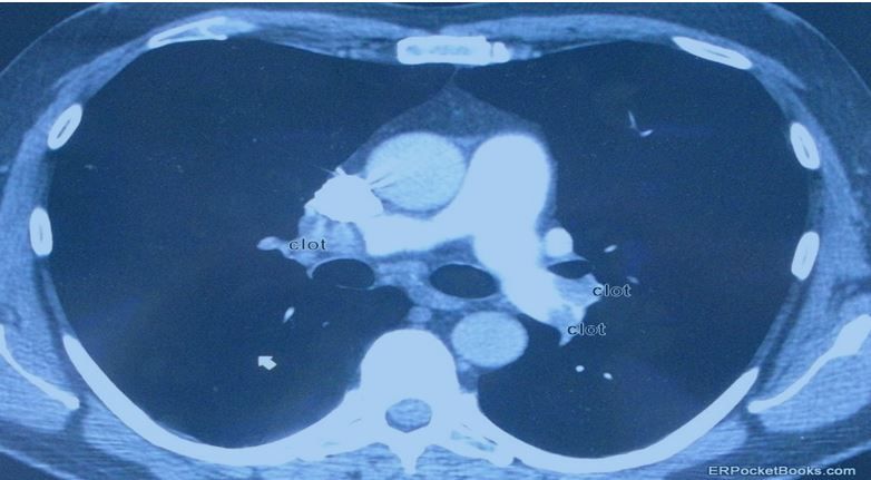
Figure 3. CT scan of the chest.

A 56-year-old man presents to the emergency department (ED) with gradually worsening dyspnea on exertion of 2 months’ duration. He has had an occasional dry cough but no fever, chest pain or discomfort, leg swelling, melena, or other symptoms. He states he didn’t come sooner because a few times he felt as though he was getting better and thought he would get over it. But each time, it eventually got worse again. Today is particularly bad and he couldn’t even walk up the 10 stairs to his apartment without getting severely short of breath. At rest, he says, the symptoms abate. He has never experienced anything like this.
Although he does smoke and drink socially, he denies any past medical history except for psoriasis and is not taking any medications. He states his father died of a heart attack in his mid-60s and his mother died of a stroke at age 76. He has one sibling, a younger sister who has diabetes, but she has no heart disease.
On physical examination, he is afebrile with a pulse of 108 beats/min; blood pressure, 118/70 mm Hg; respiration, 22 breaths/min; and a pulse oximetry of 94% on room air. His head and neck exam is normal without jugular venous distention. His lungs are clear without rales or wheezing. His heart is regular without murmur and his legs have no swelling, tenderness, or cords. The rest of his physical exam is normal.
Blood work is ordered, including a CBC count, metabolic panel, and cardiac troponin-I, which are all normal. His chest x-ray film (Figure 1) and ECG tracing (Figure 2) are shown at left.
What is the most likely diagnosis?
What other conditions should be in your differential?
Is his presentation “typical” or “atypical”?
Are there any specific “pitfalls” demonstrated by this case?
Diagnosis: Submassive Pulmonary Embolism
The chest x-ray film is normal, but the ECG shows T-wave inversion in leads V1, V2, and V3-a frequently missed but classic finding in large pulmonary embolisms (PEs). This ECG finding might lead the provider astray looking for an acute coronary syndrome.
Your differential diagnosis should probably include at least unstable angina, anemia, congestive heart failure (CHF), and chronic obstructive pulmonary disease (COPD). The physical examination and initial test results for this patient have ruled out anemia, CHF, and COPD, but not PE or unstable angina.
A subsequent chest CT scan (Figure 3) shows large clots in both main pulmonary arteries. This presentation would be somewhat atypical for unstable angina, since there is no chest discomfort. Dyspnea alone without any chest pain is not that atypical for a large PE, since the pain from a PE is thought to be the result of lung infarction, which is actually more common with smaller PEs. See Table below for more pitfalls in the diagnosis and management of PE.
Discussion
The classic presentation for PE would be a patient with known risk factors who had just gotten off an airplane or had surgery and presents with complaints of pleuritic chest pain, dyspnea, and unilateral leg swelling; is tachycardic and hypoxic on examination, with a clear chest x-ray film and a new right bundle-branch block on an ECG. Unfortunately, as is the case for most other medical conditions, the classic presentation occurs in fewer than one-third of cases, so the clinician must learn to suspect atypical presentations. These and other pitfalls will be the focus of this discussion.
Smaller PEs tend to cause peripheral lung infarction because they lodge in the small vessels in the periphery, where there is little to no collateral circulation. These infarctions are painful but because the PEs are small there is little hemodynamic compromise or hypoxia, unless there are many of them. Depending on the location of the PE, the pain can be felt in the chest, upper abdomen, or flank, or can be referred to the shoulder. Larger PEs are more likely to cause dyspnea, hypoxia, tachycardia, or syncope because they compromise pulmonary circulation. However, because collateral circulation is preserved, lung infarction is rare and thus pain is less common unless there are simultaneous small PEs from fragmentation of the clot. Since there may be cough and low-grade fever or elevated troponin levels and ECG changes, large PEs can mimic pneumonia, sepsis, or myocardial infarction (MI).
Risk factors for PE are almost always present, but in approximately 20% of cases they are previously unknown and are only identified after a workup is undertaken following the diagnosis. A hypercoagulable state is often found in younger patients, and in older patients a previously undiagnosed malignancy may be the cause. Do not discount the possibility of a PE solely on the basis that a patient has no known risk factors for the disease.
Diagnostic Pitfalls to Recognize
There are many pitfalls in diagnostic testing for PE. First, it is important to know that large PEs can cause ECG, brain natriuretic peptide, troponin, and white blood cell count changes that mimic MI, CHF, or infection. If there is also a fever or cough, or an abnormal chest x-ray film or the patient's legs are swollen bilaterally, the risk of making the wrong diagnosis becomes quite high. If the patient has a prior history of coronary artery disease, CHF, or pneumonia, the risk is even higher.
A high sensitivity D-dimer assay is a useful test for ruling out PE; however, if it is overused as a screening tool, it will lead to increased use of advanced imaging and concomitant radiation exposure. It should only be ordered when the clinician has already decided to pursue the diagnosis. In general, if the D-dimer assay is negative, no further testing for PE is indicated. There are, however, two exceptions: If suspicion for PE is high and there is no plausible alternative diagnosis, a chest CT scan or ventilation-perfusion (V/Q) lung scan should still be done; or, if symptoms have been present for more than 1 to 2 weeks or the patient is already taking an anticoagulant, a D-dimer level can be falsely negative and further testing is required.
The last type of pitfall is related to imaging. It is important to realize that chest x-ray films often are normal or near normal in the presence of PE but may show findings that mimic pneumonia. In addition, patients with PEs may also have CHF or COPD, and these conditions can cause abnormal chest x-ray films. Minimizing exposure to radiation in younger patients is an important consideration. If the chest x-ray film is normal, V/Q scan, when available, is usually the preferred test because it has greater sensitivity, delivers a fraction of the radiation, and does not require IV contrast. If the chest x-ray film is abnormal or if other conditions such as aortic dissection are a consideration, then CT imaging is preferred. Many clinicians favor the CT scan, but it has downsides in addition to radiation exposure and IV contrast: it has lower sensitivity than V/Q scan and a high rate of incidental findings that will require explanation to the patient and often further downstream testing.