A 53-year-old woman presented with sudden onset of left upper quadrant abdominal pain. She had a history of atrial fibrillation, hypertension, and congestive heart failure.
A 53-year-old woman presented with sudden onset of left upper quadrant abdominal pain. She had a history of atrial fibrillation, hypertension, and congestive heart failure. The patient reported sharp, nonradiating pain and rated it a 7 out of 10 in intensity. She denied nausea, vomiting, rectal bleeding, hematemesis, or variation in bowel movements. Physical examination revealed an irregular pulse and heart sounds with no murmurs. Abdominal examination showed a soft, nontender abdomen with normal bowel sounds and no hepatosplenomegaly. Results of laboratory studies were unremarkable.
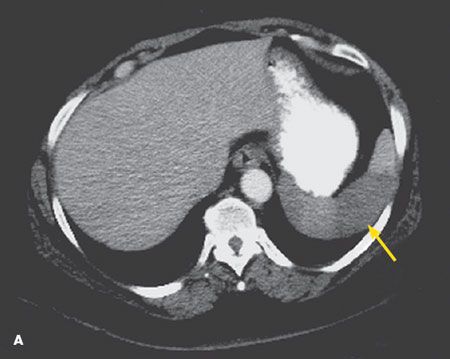
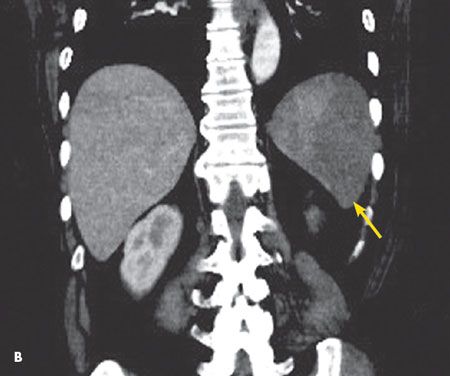
An abdominal CT scan revealed a focal, 5-cm, wedge-shaped area of decreased density in the anterior aspect of the spleen in axial view (A, arrow) and coronal view (B, arrow). This finding is consistent with splenic infarction.
The patient was given warfarin, and her abdominal pain resolved in 2 days. She reported no pain or symptoms related to the infarct at 2-month follow-up.

In adults, splenic infarction occurs in the context of embolic diseases, hematological malignancies, aortic dissection, splenic torsion, or vasculitis.1 Infarction usually presents with left upper quadrant pain, which may have a pleuritic component and which may radiate to the left shoulder. In half of affected patients, anemia and leukocytosis may arise.2 Complications include abscess or pseudocyst formation, rupture, and hemorrhage.
Splenic infarction should be suspected in patients with a predisposition to thrombosis and in those who present with left upper quadrant and/or left flank pain, splenomegaly, and fever without a clear cause. CT is the imaging study of choice.3

REFERENCES:1. Nores M, Phillips EH, Morgenstern L, Hiatt JR. The clinical spectrum of splenic infarction. Am Surg. 1998;64:182-188.
2. Jaroch MT, Broughan TA, Hermann RE. The natural history of splenic infarction. Surgery. 1986;100:743-750.
3. Antopolsky M, Hiller N, Salameh S, et al. Splenic infarction: 10 years of experience. Am J Emerg Med. 2009;27:262-265.