A 76-year-old man presented with left-sided chest pain, after a fall. He had tenderness along the left 8th rib and left basal rales. CXR showed non-displaced fractures of the 7th and 8th ribs with a small effusion and a right postero-basal rounded opacity.
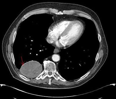
A 76-year-old man presented with left-sided chest pain after a fall. Physical examination found tenderness along the left 8th rib and left basal rales. Chest films showed non-displaced fractures of the 7th and 8th ribs with a small effusion and a right postero-basal rounded opacity (Figure 1). CT scan showed the 8th rib fracture and a prominent pleural-based soft tissue mass in the right lower lobe that measured 7.5 x 5.6 x 9.3 cm (Figure 2). PET scan of the lung revealed minimal metabolic activity in the tumor, a finding consistent with a benign or low-grade neoplasm.

Figure 1.
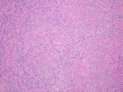
A video-assisted thoracoscopic surgical (VATS) technique was used to resect the mass. A wedge resection was performed of the right lower lobe of the lung. The histopathology showed a 9-cm solitary fibrous tumor (SFT) of the pleura, with negative margins. (Figures 3 and 4 show spindle cells with no mitosis or atypia.) An immunohistochemistry panel found the tumor to be positive for CD34 (Figure 5) and negative for S-100 (marker for melanoma and other malignant neural tumors), pancytokeratin (marker for mesothelioma), and SMA (smooth muscle actin). Postoperative recovery was uncomplicated. The patient is being monitored by his primary care physician for any signs of recurrence.

Figure 2.
Discussion
SFTs of the pleura are rare. They originate in the mesenchyme and are almost always benign. Presentation can include cough, chest pain, dyspnea, or pleural effusion.1 Patients frequently are asymptomatic and tumor detection is incidental. Paraneoplastic syndromes (PNS) that cause hypoglycemia have been reported in patients with SFTs. The PNS most commonly associated with these tumors is hypertrophic pulmonary osteoarthropathy.2 This syndrome may cause stiffness, joint swelling, clubbing, and arthritis-like symptoms.

Figure 3.
10x of solitary fibrous tumor showing
epithelioid and spindle cell morphology.
Usually, excision of benign tumors is curative and recovery is uneventful. Disease recurrence is very low.3,4 VATS is an effective approach for removing most tumors smaller than 5 cm. For larger tumors, VATS may reduce the size of the required incision, but open thoracotomy may be necessary.
Most SFTs are positive for CD34, as was true for this patient. Recently SFTs have been identified that are platelet-derived growth factor receptor–positive, and imatinib is being considered for treatment of recurrence.5 Malignant tumors have a tendency to recur and have a poor prognosis.

Figure 4.
20x of solitary fibrous tumor showing
epithelioid and spindle cell morphology
Teaching Points
1. Widespread use of enhanced imaging modalities has increased the rate of detection of incidental tumors; understanding of the clinical course and treatment of these tumors is important in primary care.
2. SFTs may present with signs and symptoms of a paraneoplastic syndrome, especially hypoglycemia or clubbing and arthralgias.
3. Postoperative monitoring is critical because SFT recurrence may be local or extrathoracic, although there are currently no specific guidelines for surveillance.

Figure 5.
Positive CD34 immunohistochemistry.
References
1. Zhou X, Yi XH, Kong J. The clinicopathological features and surgical treatment of solitary fibrous tumor of the pleura. Chin J Tubercul Resp Dis. 2007;30:284-288.
2. Cardillo G, Facciolo F, Cavazzana AO, et al. Localized (solitary) fibrous tumors of the pleura: an analysis of 55 patients. Ann Thorac Surg. 2000;70:1808-1812.
3. Rena O, Filosso PL, Papalia E, et al. Solitary fibrous tumor of the pleura: surgical treatment. Eur J Cardiothorac Surg. 2001;19:185-189.
4. Takahama M, Kushibe K, Kawaguchi T, et al. Video-assisted thoracoscopic surgery is a promising treatment for solitary fibrous tumor of the pleura. Chest. 2004;125:1144-1147.
5. Prunotto M, Bosco M, Daniele L, et al. Imatinib inhibits in vitro proliferation of cells derived from a pleural solitary fibrous tumor expressing platelet-derived growth factor receptor. Lung Cancer. 2009;64:244-246.
Colorectal Cancer Screening in 2025: What Changed, and What Didn't, with Mark Fendrick, MD
December 17th 2025Physician researcher Fendrick offers an expert perspective on why removing cost barriers matters, and why navigation and patient realities still determine whether CRC screening succeeds.