Clinical Images to Help You Hone Your Diagnoses

Case 1: Woman With Epigastric Pain
A 53-year-old woman with a history of hypertension, type 2 diabetes mellitus, bronchial asthma, and hypercholesterolemia has had epigastric pain for the past few days; it began several months earlier as a vague discomfort. She rates the pain as 8 on a scale of 1 to 10, and she reports that it radiates to the back and worsens when eating or lying flat in bed. She also complains of nausea and a sense of fullness after eating very little. She denies dysphagia, symptoms of regurgitation, and vomiting.
The patient has a history of smoking (35 pack-years) and alcohol abuse. About 2 years ago, she reduced her alcohol intake to a few drinks on weekends.
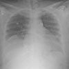
Vital signs are normal. Breaths sounds are diminished at both lung bases. No abdominal masses are noted; however, the epigastric area is tender on deep palpation. Levels of serum glucose and amylase are elevated (191 mg/dL and 784 U/L, respectively). Other laboratory results are normal. The next day, the lipase level rises to 380 U/L. The chest film is shown.
To what diagnosis do the clinical and radiographic findings point?
(Answer on next page.)

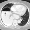
Figure 1

Figure 2
Case 1. Hiatal hernia
This patient had a sliding hiatal hernia. The double shadow in the right mid and lower lung field of the chest radiograph represents the herniated stomach, which contains gas (A, arrows).
A CT scan confirmed the displacement of the entire stomach into the chest; the lung parenchyma was considerably displaced by the herniation. The shape of the gastric contour is clearly visible on the right side of the chest, and a gastric air-fluid level is present (B, arrow).
About 99% of hiatal hernias are sliding hernias and about 1% are paraesophageal hernias:
Hiatal hernias may result from decreased muscle tone of the supporting fibers that fix the gastroesophageal junction to the diaphragm, increased contraction of the esophagus, or increased intra-abdominal pressure. They are more common in women than in men by a ratio of 4:1. The incidence increases with age (after 60 years).
Symptoms are usually caused by acid reflux, which results from weakening of the lower esophageal sphincter. These may include epigastric discomfort after a meal or in a supine position, hoarseness, a sensation of fullness in the epigastric area after a small meal, dysphagia, and a bitter or sour taste in the mouth.1 Small hiatal hernias are usually asymptomatic.
The following conditions can be mistaken for sliding hernias and should be considered in the radiographic differential diagnosis.
Subpulmonic effusion presents with blunting of the costophrenic and cardiophrenic angles. Lung markings, which are normally superimposed on the diaphragmatic shadow, are not visualized through a subpulmonic effusion.
Atelectasis appears as an area of hyperdensity with loss of lung volume. Depending on the size of the atelectasis, radiographic findings may include a deviated trachea, elevated hemidiaphragm, or overdistention of the unaffected lung.2 On a CT scan, atelectasis usually appears as an area of consolidation with volume loss.
Acute pancreatitis can sometimes present with pleural effusion and hypoxemia. Most effusions are left-sided, although some may be bilateral. Pulmonary complications range from nondescript lung infiltrates to adult respiratory distress syndrome. About 10% of patients with pulmonary involvement present with alveolar edema on a chest radiograph; progressive severe hypoxemia develops in about 30%.3

Figure 1

Figure 2
Case 2: Man With Persistent Back Pain
For 3 weeks, a 24-year-old man has had right-sided back pain, which he describes as a constant soreness that radiates from the mid-back to the sternum. Application of a topical analgesic provided minimal relief. He also has a dry cough and dyspnea. Coughing and bending over worsen his symptoms. He denies fever, chills, nausea, vomiting, night sweats, and weight loss; but he has noticed a loss of appetite. His family history includes a grandmother who has leukemia.
Temperature is 37.3°C (99.1°F); heart rate, 102 beats per minute; respiration rate, 20 breaths per minute; and oxygen saturation on room air, 93%. The head and neck region appear full and erythematous with no visible venous distention. Mild bruising and small distended veins are noted on the right side of the chest wall. Breath sounds are diminished at the right base with wet crackles. No splenomegaly or lymphadenopathy is noted. Anteroposterior and lateral chest radiographs are shown.
Based on the clinical picture and these x-ray films, what do you suspect?
(Answer on next page.)

Figure 1

Figure 2
Case 2. Lymphoma
The chest radiographs showed a pleural effusion, with blunting of the costophrenic angles (white arrows)-to a greater degree on the right-and a mediastinal mass (yellow arrows). A follow-up CT scan confirmed the presence of a large anterior mediastinal mass that compressed the trachea and surrounding vasculature. Biopsy and flow cytometry of the mediastinal mass established the diagnosis of T-cell lymphoblastic lymphoma.
The differential diagnosis of an anterior mediastinal mass includes mesenchymal cell tumor and the 4 Ts: thymoma, thyroid mass, teratoma, and "terrible" lymphoma.
Thymomas are the most common primary tumors of the anterior mediastinum in adults (aged between 30 and 50 years).1 Half of thymomas are asymptomatic and are identified incidentally on chest radio- graphs. About one third of thymomas are associated with syndromes, such as pure red blood cell aplasia and myasthenia gravis.1 In the remaining cases, symptoms related to mass effect, such as dyspnea, substernal pain, and cough, may be present.
Thyroid masses, or mediastinal goiters, are found in up to 15% of patients who undergo thyroidectomy.2 The anterior mediastinum is the most common site for the development of ectopic parathyroid adenomas.2
Teratomas are the most common type of germ cell tumor; they account for 15% of anterior mediastinal masses in adults. These benign masses have at least 2 of the 3 primitive germ layers and often contain skin, hair, and teeth.
Primary mediastinal lymphomas account for 10% to 20% of anterior mediastinal masses. More than half of the cases are Hodgkin lymphomas; only about a quarter are non-Hodgkin lymphomas. Hodgkin lymphoma exhibits a bimodal distribution, which peaks during early adulthood and after the age of 50 years.2 Most patients have fever, night sweats, and weight loss. Those with mediastinal involvement may present with cough, chest pain, dyspnea, pleural effusions, and superior vena cava syndrome. Non-Hodgkin lymphoma is more common in white men; the mean age of presentation is 55 years.3
Large B-cell lymphoma and lymphoblastic lymphoma typically occur during the third or fourth decade of life.2 Lymphoblastic lymphoma that arises from thymic lymphocytes usually presents as a mediastinal mass in men aged 20 to 30 years. The mass is typically bulky and may be accompanied by complications, such as superior vena cava syndrome, tracheal obstruction, and pericardial effusions.
REFERENCES:
1.
Goyal RK. Diseases of the esophagus. In: Braunwald E, Fauci AS, Kasper DL, et al, eds.
Harrison's Principles of Internal Medicine.
15th ed. New York: McGraw-Hill; 2001:1745-1746.
2.
Miller WT. Alveolar diseases. In: Fishman AP, Kotloff RM, eds.
Pulmonary Diseases and Disorders
. 3rd ed. New York: McGraw-Hill; 1998:454-464.
3.
Pastor CM, Matthay MA, Frossard JL. Pancreatitis-associated acute lung injury: new insights.
Chest.
2003;124:2341-2351.
REFERENCES:
1.
Strollo DC, Rosado-de-Christenson ML, Jett JR. Primary mediastinal tumors, part 1: tumors of the anterior mediastinum.
Chest.
1997;112:511-522.
2.
Duwe BV, Sterman DH, Musani AI. Tumors of the mediastinum.
Chest.
2005;128:2893-2909.
3.
Armitage JO. Staging non-Hodgkin lymphoma.
CA Cancer J Clin.
2005;55:368-376.
Obesity Linked to Faster Alzheimer Disease Progression in Longitudinal Blood Biomarker Analysis
December 2nd 2025Biomarker trajectories over 5 years in study participants with AD show steeper rises in pTau217, NfL, and amyloid burden among those with obesity, highlighting risk factor relevance.