A young woman experienced acute onset of high fever, productive cough, and right-sided pleuritic pain. She was not in sickle cell crisis. Do the images here shed light on cause of symptoms?
A 33-year-old woman with sickle cell disease is admitted with a 2-day history of high fevers, chills, and severe right-sided pleuritic chest pain. She states that she was well until last week, when she developed upper respiratory–type symptoms, which progressed to severe right-sided pleuritic pain, a cough productive of green phlegm, a temperature as high as 103°F (39.4°C), and fatigue.
Her past medical history is significant for a sickle cell crisis 1 month ago, but she states she is now asymptomatic. Laboratory values include white blood cell count of 27.5 x 103/µL and Hb, 9.2 g/dL.
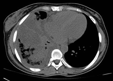
An radiograph of the chest was obtained (Figure 1, top) followed by a CT scan of the chest. A representative axial CT image is shown in Figure 2 (bottom). (Click on figures to enlarge.)

What is the most likely etiology of the patient’s symptoms?
