A66-year-old white man with tuberculosis of the shoulderjoint had a severe hypersensitivity reaction to antituberculosismedications. Symptoms included development of pulmonaryinfiltrates, hepatic dysfunction, renal insufficiency, andneutropenia. The patient improved after the medicationswere withdrawn. [Infect Med. 2008;25:287-291]
Several agents used in the treatment of tuberculosis have been associated with complications and adverse effects.1-9 These effects include pulmonary, hepatic, and hematological complications, among others. We report on a patient who had a complex of symptoms resulting from antituberculosis therapy.
Case report
A 66-year-old white man presented with left shoulder pain. Following examination, tuberculosis of the shoulder joint was diagnosed.
The patient had hypertension, coronary artery disease, and polymyalgia rheumatica for which he had received prednisone therapy. He had a history of sulfa allergy that included thrombocytopenia.
A radiograph of the chest revealed no anormalities. Findings from the initial examination included mild anemia, with a hemoglobin level of 12.2 g/dL, and a creatinine level of 1.4 mg/dL. Urinalysis and liver function tests yielded normal results. The patient weighed 82 kg (180.8 lb). Treatment with once-daily isoniazid 300 mg, rifampin 600 mg, pyrazinamide 2000 mg, ethambutol 1200 mg, and pyridoxine 50 mg was prescribed.
Nine days after starting therapy, the patient traveled from Illinois to Colorado. That evening, fever, chills, sweats, nausea, vomiting, diarrhea, flushing, headache, cough, and rhinorrhea developed. The patient discontinued his antituberculosis medications and returned to the clinic 1 week later. At that time, he was afebrile, mildly dehydrated, and flushed. His white blood cell (WBC) and platelet counts were normal, hemoglobin level was 11.5 g/dL, and creatinine level was 1.8 mg/dL. Results of liver function tests were normal.
Urinalysis results were significant for 437 red blood cells (RBCs)/mL, with no WBCs. The patient was advised to increase fluid intake to rehydrate. When the patient returned the following week, he reported feeling fine. Results from urinalysis were normal. The creatinine level was at baseline. Blood and urine cultures were negative.
The following morning, the patient restarted his antituberculosis medications. Three hours later, shaking chills, fever, vomiting, and sweats abruptly developed, and he was brought to the hospital. He had a temperature of 38.3C (101F), was tachycardic, had a toxic appearance, and was flushed and diaphoretic. Physical examination findings were otherwise unremarkable. Laboratory tests showed a WBC count of 1270/?L, with 36% bands; a hemoglobin level of 11.3 g/dL; a platelet count of 297 X 103/?L; and a creatinine level of 2.1 mg/dL. Urinalysis demonstrated 57 RBCs/mL and 46 WBCs/mL.
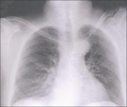
Bilirubin level was elevated at 2.2 mg/dL, alkaline phosphatase level was 309 U/L, aspartate aminotransferase (AST) level was 561 U/L, and alanine aminotransferase level was 288 U/L. Achest radiograph demonstrated perihilar interstitial infiltrates predominantly in the right middle and lower lung fields (Figure).

Figure -
Perihilarinterstitialinfiltrates arepredominantlyseen in the rightmiddle and lowerlung fields in thischest radiograph.
The patient was admitted to the ICU. Antituberculosis medications were discontinued. Blood, sputum, and urine specimens were obtained for culture, and serological tests for Legionella, Mycoplasma, Leptospira, Coxiella burnetii, and Rickettsia were performed. Isoenzyme creatine phosphokinase MB fractions were elevated, but a stress echocardiogram was negative for ischemic changes. Treatment with doxycycline and levofloxacin was started. The patient improved with complete resolution of pulmonary infiltrates and normalization of laboratory values within 10 days. The above-mentioned cultures and serological tests ultimately yielded negative results.
Discussion
This case illustrates a severe hypersensitivity reaction to antituberculosis medications that included development of pulmonary infiltrates, hepatitis, renal insufficiency, hematuria, and neutropenia. Among antituberculosis agents currently available, isoniazid and rifampin have most often been linked with hypersensitivity reactions.
Isoniazid has been associated with pulmonary infiltrates and fever. Lung infiltrates can be acute, such as in 4 cases reported by Nakata and colleagues in which interstitial pneumonia rapidly developed within a week after the initiation of isoniazid treatment.1,2 Development of acute interstitial pneumonia with systemic lupus erythematosus induced by antituberculosis medications can develop a year after treatment.3
Rifampin is also known to cause pneumonitis, although rarely. Rifampin- associated pneumonitis is caused by either an immunological reaction4 or a cytotoxic effect5 that can be differentiated by a druginduced lymphocyte stimulation test. Ethambutol-induced pulmonary infiltrates with eosinophilia also have been described.6,7 The predominant CT findings in pneumonitis traced to the use of antimycobacterial agents are patchy ground-glass opacities with centrilobular opacities and interlobular septal lines.8
The major toxicity of isoniazid is hepatic. Ten percent to 20% of patients receiving isoniazid have minor elevations in serum AST levels that resolve with continued therapy.9 In a large multicenter trial, fatal hepatitis occurred in 8 of nearly 14,000 patients who received isoniazid.10 More recent studies report a lower rate of isoniazid-related hepatitis,11,12 which is most likely attributed to increased clinical toxicity monitoring.
Hepatotoxicity has been well described with rifampin in a metaanalysis. 13 Minimal abnormalities in liver function tests are commonly seen in association with rifampin use, and they usually resolve. Typically, elevated bilirubin and alkaline phosphatase levels are seen, but elevation of hepatocellular enzyme levels also can occur.
Hepatitis is considered the major adverse effect of rifampin, with 16 deaths in 500,000 recipients reported. 14 Severe liver injury, which can result in death, has been reported with the administration of rifampin and pyrazinamide for the treatment of latent tuberculosis, with rates of hepatotoxicity ranging from 1.2% to 13%.15-17
Pyrazinamide caused hepatotoxicity in 15% of recipients when used at high dosages of 40 to 50 mg/kg/d, but it is much safer when used at currently recommended dosages of 20 to 25 mg/kg/d.18
Rifampin is the agent most likely to induce renal toxicity; in our patient, renal insufficiency and hematuria developed after he received treatment with rifampin. Of interest, intermittent or interrupted rifampin use is more likely to lead to acute renal failure19 and can be seen even if reexposure occurs after several years.20 Acute tubulointerstitial nephritis requiring dialysis has been described in association with intermittent rifampin use.21
De Vriese and colleagues22 also described a case of severe hemolytic anemia and acute renal failure necessitating dialysis after reinstitution of rifampin after an interval of 2 years. The patient's serum was found to have rifampin-dependent IgG and IgM antibodies, which caused RBC lysis through interaction with the I antigen on the erythrocyte surface. Similarly, renal damage was thought to be caused by interaction between rifampin-dependent antibodies and I antigen expressed on renal tubular epithelium with subsequent complement-mediated cell damage. These antibodies are not seen during continuous treatment with rifampin. When prescribing rifampin, the clinician should obtain a history of previous exposure to the drug because reexposure may induce acute renal failure.
Antimycobacterial agents also may cause hematological adverse reactions. 23 Leukopenia is a recognized complication of isoniazid.24 Thrombocytopenia, leukopenia, and granulocytopenia are relatively common during rifamycin therapy but are usually mild and not clinically significant. The more severe complications of hemolytic anemia and thrombocytopenia are thought to be caused by rifampin-dependent antibodies interacting with the I antigen expressed on the surface of erythrocytes and platelets. Mattson25 reported neutropenia in 20 of 547 patients receiving intermittent rifampin therapy. There is no well-documented evidence of ethambutolinduced neutropenia.
Physicians must be alert to hypersensitivity reactions that can occur on reintroduction of antituberculosis medications.