A 57-year-old woman presents with severe chest pain, and a frontal upright radiograph of the chest is obtained. What does this image reveal, and how will you arrive at a diagnosis?
A 57-year-old woman presents with severe chest pain, which started abruptly earlier in the day, and general malaise of 2 weeks' duration. She has a history of hypertension.

The mildly obese patient is in obvious distress from her chest pain; her skin has a bluish cast. Temperature is 37.2°C (99°F); heart rate, 120 beats per minute with normal rhythm; respiration rate, 25 breaths per minute; and blood pressure, 86/50 mm Hg. Head and neck are normal. Lungs are clear. Heart tones are muffled. Pulses in the extremities are diminished, but sensation and motor skills remain intact.
A frontal upright radiograph of the chest is obtained. What does it reveal, and what further action would you take to arrive at a diagnosis?
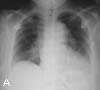
Severe chest pain in a hypertensive woman: The chest radiograph (A) shows a prominent mediastinum at the upper limits of normal. The aorta is ectatic, probably as a result of hypertension. The cardiac silhouette is within normal limits. Lungs are clear and unremarkable. You order a CT scan of the chest to investigate further.






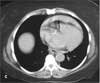
CT scan without contrast. A CT image through the ascending aorta is obtained without intravenous contrast (B). This reveals a linear area of fluid within the ascending aorta (B, arrow). The fluid represents blood in the displaced intimal wall of the ascending aorta, which is diagnostic of aortic dissection. Another noncontrast image, slightly inferior to the first, shows high-density fluid, consistent with blood, in the anterior pericardial sac (C, arrow).
CT scan with contrast. Intravenous contrast is administered and a set of images with contrast is produced. These images are obtained in the arterial phase. The first of these, in the axial plane, is at the level of the right main pulmonary artery (D). This image shows an enlarged ascending aorta with an intimal flap (D, red arrow), consistent with dissection of the ascending aorta. The descending aorta is normal in caliber without evidence of an intimal flap (D, yellow arrow).
A second image with contrast is obtained just below the aortic arch, also in the axial plane (E). This image shows that the dissection extends to the level of the origin of the brachiocephalic artery (E, red arrow) and then stops. Again, the caliber of the descending aorta appears normal (E, yellow arrow). The brachiocephalic artery is also normal, as are the left subclavian and left common carotid arteries.
A third image with contrast, in a sagittal plane through the ascending aorta, shows the aortic dissection extending inferiorly to the level of the aortic valve (F, red arrow). The false luminal hemorrhage communicates with the hemopericardium (F, yellow arrow).
The final diagnosis is acute dissection of the ascending aorta extending from the level of the aortic valve superiorly to the origin of the brachiocephalic artery but sparing the descending aorta and the other great vessels.
DeBakey classification. Dissections are classified according to location. In the DeBakey classification system--which is the most widely used--there are 3 types:
This patient has a type II aortic dissection.
Prognostic indicators in type II dissections. There are several critical issues in aortic dissections of this type. The first is whether the aortic valve plane is involved. If it is, severe aortic regurgitation can occur. In this patient, the CT images show that the dissection extends to the level of the aortic valve but does not involve the valve itself.
Another issue is whether the coronary arteries are involved. Because they originate from the ascending aorta just above the valve plane, these vessels are sometimes involved in dissections of the ascending aorta; their involvement can result in compromised blood flow to the heart. Here, the coronary arteries are partially visualized on CT and are seen to fill with contrast. However, only during surgery could it be confirmed that these vessels were not involved in the dissection. As faster CT scans become available, particularly 64-slice scans, visualization of the coronary arteries should improve.
Finally, it is important to determine whether hemorrhage from a dissection of the ascending aorta extends into the pericardium. If it does, it can cause tamponade. In this woman, the dissection did hemorrhage into the pericardium, but this did not cause tamponade.
To plan for optimal treatment of an aortic dissection, the full extent of the pathology must be delineated. CT scanning is a sensitive and specific technique for the diagnosis and delineation of aortic dissection. Obtaining noncontrast images before images with contrast maximizes the sensitivity of the technique.
Outcome of this case. Therapy for dissections of the ascending aorta typically involves surgery. Emergent surgery was unsuccessful in this patient, and she died.
Obesity Linked to Faster Alzheimer Disease Progression in Longitudinal Blood Biomarker Analysis
December 2nd 2025Biomarker trajectories over 5 years in study participants with AD show steeper rises in pTau217, NfL, and amyloid burden among those with obesity, highlighting risk factor relevance.