For 3 days, a 45-year-old woman with HIV infection who was noncompliant with her antiretroviral medications had cough, yellowish sputum, fever, and dyspnea. She denied hemoptysis, weight loss, or recent hospitalization. She had a long history of heavy smoking and alcohol and intravenous drug abuse.
For 3 days, a 45-year-old woman with HIV infection who was noncompliant with her antiretroviral medications had cough, yellowish sputum, fever, and dyspnea. She denied hemoptysis, weight loss, or recent hospitalization. She had a long history of heavy smoking and alcohol and intravenous drug abuse.

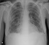
The patient had a high fever, tachycardia, tachypnea, and inspiratory rales in both lung fields but no evidence of hypoxia. White blood cell count was 23,500/μL, with 84% neutrophils. CD4+ cell count was 679/μL (well within the normal range). A chest radiograph revealed bibasilar patchy infiltrate (A).
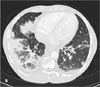
Therapy with intravenous ceftriaxone and azithromycin was started for presumed community-acquired pneumonia, and the patient was isolated as a precaution. Her clinical condition did not improve with antibiotic and supportive treatment. No acidfast bacilli were isolated from sputum samples. A CT scan of the

chest showed extensive bilateral basilar pneumonitis (B). Multiple small cavities in both lungs were also noted. A subsequent bronchoscopy with lavage and bronchial washing isolated Serratia marcescens.
The patient responded well to intravenous imipenem. After 10 days, she was discharged.
The largest retrospective study of S marcescens infection in HIV patients (including 2398 cases) found documented S marcescens infection in only 0.71% of patients.1 All the affected patients were severely immunocompromised, with CD4+ cell counts of 70/μL or lower. An extensive literature review revealed that most of these infections (74% to 82%) were nosocomially acquired and were associated with a significantly high case-fatality rate (39% to 50%).2 Our case is unique because the infection was community-acquired and occurred in a patient with relatively preserved immune status.
REFERENCES:
1.
Manfredi R, Nanetti A, Ferri M, Chiodo F. Clinical and microbiological surveyof Serratia marcescens infection during HIV disease.
Eur J Clin Microbiol InfectDis.
2000;19:248-253.
2.
Yu WL, Lin CW, Wang DY. Serratia marcescens bacteremia: clinical featuresand antimicrobial susceptibilities of the isolates.
J Microbiol Immunol Infect.
1998;31:171-179.