A51-year-old man who was an active injection drug user was admitted to the ICU with septic shock and severe respiratory distress. Notable findings were fever, multiple opacities on a chest radiograph, and an elevated white blood cell count.

A 51-year-old man who was an active injection drug user was admitted to the ICU with septic shock and severe respiratory distress. Notable findings were fever, multiple opacities on a chest radiograph, and an elevated white blood cell count.
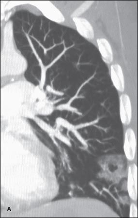
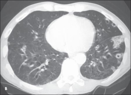
A CT scan of the chest showed subpleural cavitating lung nodules (A and B). Blood cultures grew Staphylococcus aureus, and an echocardiogram confirmed the diagnosis of infective endocarditis.
Septic pulmonary embolism is an uncommon disorder that generally presents with an insidious onset; characteristic features include fever and lung infiltrates associated with an active focus of extrapulmonary infection.1,2 Risk factors are injection drug use, indwelling catheters/ devices, pelvic thrombophlebitis, and suppurative processes in the head and neck.3,4 The embolic blood clot that leads to an infarction and the microorganisms contained in the clot incite a focal abscess.4
The triad of bacteremia, fever, and multiple cavitary pulmonary infiltrates on a chest radiograph should always prompt a search for right-sided infective endocarditis.2,3

REFERENCES:
1.
Twickler DM, Setiawan AT, Evans RS, et al. Imaging of puerperal septic thrombophlebitis: prospective comparison of MR imaging, CT, and sonography.
AJR
. 1997;169:1039-1043.
2.
Cook RJ, Ashton RW, Aughenbaugh GL, Ryu JH. Septic pulmonary embolism: presenting features and clinical course of 14 patients.
Chest
. 2005;128: 162-166.
3.
Parambil JG, Savci CD, Tazelaar HD, Ryu JH. Causes and presenting features of pulmonary infarctions in 43 cases identified by surgical lung biopsy.
Chest
. 2005;127:1178-1183.
4.
Lee SJ, Cha SI, Kim CH, et al. Septic pulmonary embolism in Korea: microbiology, clinicoradiologic features, and treatment outcome.
J Infect
. 2007;54: 230-234.
No Rx Required for COVID-19 Vaccination But ACIP Calls for Better Informed Consent Process
September 22nd 2025The ACIP on September 19 narrowly voted against requiring a prescription to get the shot but urged more detailed discussion of vaccine risks during shared decision making conversations.