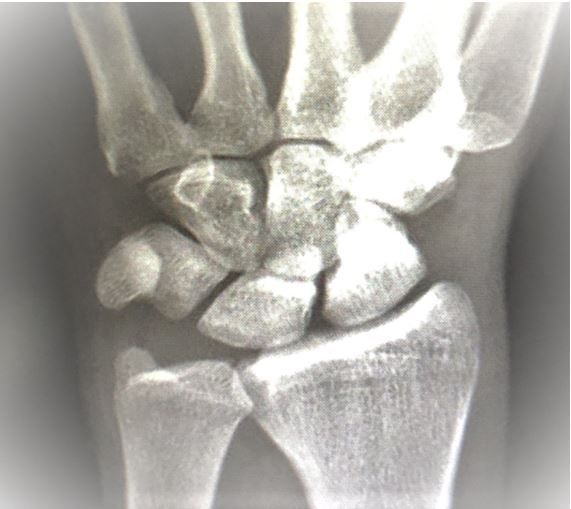
A skateboarding accident brings a man in his 30s to the ED complaining of wrist pain. Can you make the diagnosis based on the x-ray?
History of present illness
A man in his 30s comes to the emergency department (ED) for wrist pain after a fall while skateboarding today. He denies any elbow, shoulder, head, neck or back pain or other complaints.
Vital signs & physical examination
Vital signs are normal.
Physical examination is otherwise normal except for diffuse wrist tenderness, more on the radial side without obvious deformity. His distal neurovascular and tendon exam is intact although limited by pain. Skin is intact and compartments are soft.
Relevant test results: Imaging, x-ray
