Patient is a 70-year-old woman who presents with biceps pain for 3 days. History includes atrial fibrillation. What's your diagnosis?
Patient History. An approximately 70-year-old woman with a history of atrial fibrillation presents to the emergency department with 3 hours of right biceps pain. There was no history of fever, heavy liftin, or injury. She does not know what medications she takes.
Examination. Vital signs were normal. Physical exam was normal except for swelling, firmness, tenderness, and slight ecchymosis to the right biceps area with no pain with passive stretch. Range of motion, sensation, and pulses were good.
Initial Concerns. Spontaneous bleed, compartment syndrome, biceps tendon rupture, infection, deep vein thrombosis
Testing
CBC and chemistries were essentially normal.
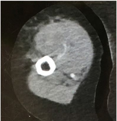
CT of the biceps is shown below.
CT scan, biceps

Blood Thinners fromThe Emergency Medicine 1-Minute Consult Pocketbook
