History of present illness: A woman in her mid-50’s with a history of rheumatoid arthritis presents to the hospital for 3 days of pleuritic left upper back pain without fever, shortness of breath, chest pain or cough. She also denies any injury and has not had this pain previously.
Vital signs & physical examination. Vital signs are normal except for a pulse oxygen level of 94% on room air. Physical exam is otherwise normal except for bilateral rales heard only with deep breathing.
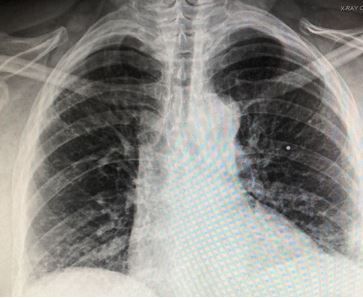
Relevant test results
Laboratory studies: C-reative protein elevated at 25 mg/L; D-dimer elevated at 1600 mg/L FEU; CBC normal
Imaging: Chest x-ray, image below
