
History of present illness. A woman in her mid-20s in good physical health with no past medical or surgical history presents to an urgent care center for 5 days of vomiting multiple times per day. She also has a mild headache that comes and goes. She denies abdominal pain, fever, diarrhea, dysuria, flank pain, or any other complaints.
Vital signs and physical examination. Her vital signs include a pulse of 96 beats/min, blood pressure 108/55 mm Hg, respiratory rate RR 20 breaths/min with normal 02 saturation, and a temperature of 99.5°F. The physical examiation is unremarkable. Specifically, there is no photophobia and jolt sign is negative. There is no abdominal or CVA tenderness and findings of the neurologic examination are normal.
Initial diagnostic testing
CBC: WBC 9.6 x109/L, 80% PMNs; platelets 131x109/L; otherwise normal
Chem: Creatinine 1.3 mg/dL, BUN 25 mg/dL; otherwise normal
UA: 3-5 RBC, 0-2 WBC, few bacteria, protein 100 mg/dL
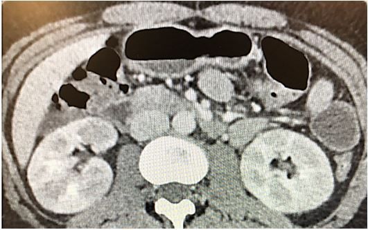
Imaging: a CT scan is done, results below.
Image: Abdominal CT scan
