A man of about 40-years-old is seen in the ED for a possible drug overdose. He complains of low back pain and asks for medication. What's your diagnosis?
History of present illness
A man of about 40-years-old with a history of heroin abuse, now on methadone, is brought to the ED for a possible overdose. He did not require Narcan but is somnolent. He has no other acute complaint but does mention he has chronic low back pain which has been worse for the past few months and he requests pain medicine. He denies any fever, weakness, bowel/bladder/balance issues or other symptoms.
Vital signs & physical examination
Vital signs are normal. Physical exam is normal except for a very large number of track marks.
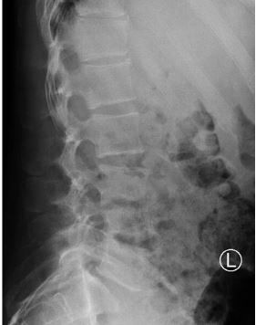
Relevant imaging results
Radiograph, lumbar spine

What is the most likely diagnosis?