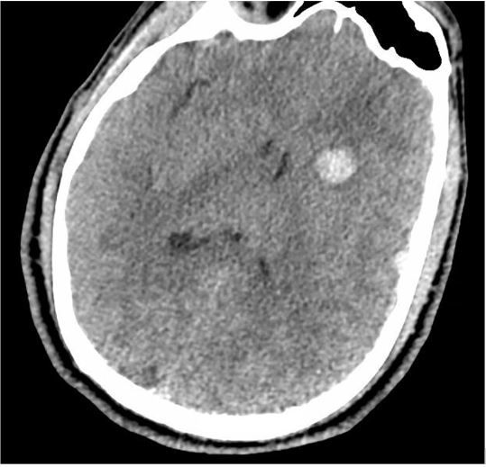
History of present illness
A man in his early twenties brought to the ED for a head injury after crashing a street-side rented motorized scooter. No surprise – he had no helmet on. He complains of headache but no other injuries. Bystanders said he ended up in a bush after first hitting the pavement. They also reported to the medics that he lost consciousness for about 20 seconds.
Vital signs & physical examination
Vital signs are normal. Physical exam is otherwise normal except for and occipital contusion.
Initial diagnostic imaging (CT head, below)
(CT of patient's head obtained in emergency department)
