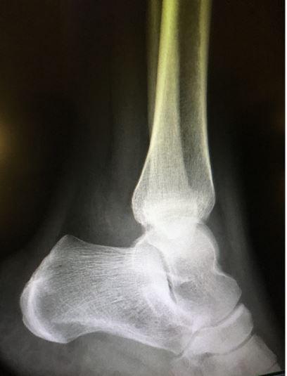
A 32-year-old woman is seen in the ED with pain from an ankle injury sustained about 24 hours earlier. What does the x-ray show? How would you proceed?
Patient history. A 32-year-old woman presents to the emergency department (ED) for an ankle injury that occurred approximately 24 hours ago. She denies any other injury, fever, or other complaints.
Vital signs & physical examination. Vital signs are normal. Physical exam is normal except for lateral ankle tenderness and mild swelling. There is no knee or foot tenderness.
Initial diagnostic testing. Ankle x-ray (below)
