A woman in her 50s who has a history of tension headache presents to the ED with a headache different from any she has had. Mild photophobia is the only finding on physical exam. Your dx?
Patient history. A woman in her 50s with a history of frequent tension headaches presents to the emergency department (ED)for a bad headache. She states this headache is different than her normal ones because it came on suddenly and she vomited twice. The location of the pain is also atypical for her—most severe in the back rather than under her temples. She denies any difficulty with speech, vision, strength, or coordination or other complaints.
Vital signs. Vital signs are normal except for a BP of 177/94 mm Hg.
Physical examination. Physical exam is normal except for mild photophobia with a bright light.
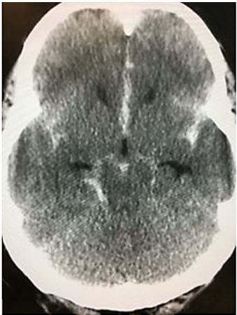
Imaging. Results of head CT, below.

What is the most likely diagnosis?
A. New onset migraine
B. Cerebellar stroke
C. Meningitis
D. Cerebral aneurysm
Subarachnoid Hemorrhage from the Emergency Medicine 1-Minute Consult Pocketbook

Find myriad puzzling presentations in more of Dr Pregerson's "Seen in the ED" cases.