A 32-year-old man with no significant medical history presents with multiple scrotal lesions that he claims have been present for 2 years. They are non-tender and he reports no overt symptoms. The full case, here.
Figure 1. Non-painful yellowish mobile nodules.

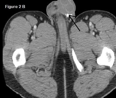
Figure 2. Isolated calcific nodules in the scrotum without extension to testicles (arrow).

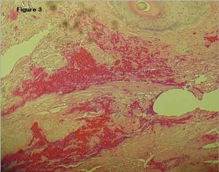
Figure 3. Normal-appearing dermis and epidermis with areas of crystalline deposits. H&E stain, 40X.

Figure 4. Purple areas consistent with crystalline deposits. H&E stain, 400X.

A 32-year-old man with no significant medical history presents with multiple scrotal lesions that he claims have been present for 2 years. He first noticed a few small hard and non-tender lesions but these gradually increased in size and number. He denied fever, weight loss, anorexia, penile discharge, urinary complaints, or trauma to the area. Family history was insignificant and he did not take any medications. He also denied alcohol, smoking, or illicit drug use. On physical examination there were numerous hard, non-tender scrotal nodules without lymphadenopathy (Figure 1).
Laboratory studies were significant only for elevated parathyroid level at 90.7 pg/mL (range, 12-65 pg/mL). Calcium and phosphorus levels were within normal limits and his calcium-phosphate product was 39.6. The balance of the laboratory workup was normal and his glomerular filtration rate was greater than 60 mL/min.
A non-contrast CT scan of the abdomen showed partially visualized calcified nodules in his scrotum (Figure 2). The nodules were excised under local anesthesia, and the specimens were sent to pathology. On histologic examination, the dermis and epidermis appeared normal without inflammatory cells or atypia seen in the surrounding tissue (Figure 3). On H&E stain, there were multiple purple crystalline areas without any epithelial lining consistent with calcium deposits (Figure 4). Result of repeated excision of the remaining nodules was consistent with the initial pathology report. Parathyroid scan was normal and ruled out an adenoma.
This patient had isolated elevation of parathyroid hormone with normal levels of calcium, phosphate, and vitamin D. No treatment for the hyperparathyroidism is necessary at this point, but these parameters will be followed up over time. Vitamin D insufficiency and urinary calcium leak are important conditions that should be ruled out and treated before a diagnosis of normocalcemic hyperparathyroidism (NCPHPT) is made. NCPHPT usually progresses to symptomatic primary hyperparathyroidism and requires parathyroidectomy.
The patient was discharged after being told of the high risk of local recurrence and the need for regular follow-up.
Discussion
Calcinosis cutis is a general term used for calcium deposition in the skin.1 Calcification limited to small areas is termed “calcinosis circumscripta.”2 Scrotal calcinosis is a rare and benign subtype of calcinosis cutis and is characterized by the presence of hard, whitish or yellowish nodules of varying sizes and numbers. Men aged 20 to 40 years are most commonly affected.3 These nodules are asymptomatic; however, some patients may report pruritus and a sensation of heaviness.4 Because of the asymptomatic nature and location of the nodules, patients tend to present late in the disease course.
Scrotal calcinosis may be classified as dystrophic, metastatic, iatrogenic, or idiopathic.2 The most common etiology, dystrophic calcinosis, arises from damaged tissue and can result from trauma, inflammation, connective-tissue disease, neoplasm, or venous stasis. Tissue inflammation and damage may allow increased calcium influx into the cytosol which, in turn, overwhelms mitrochondrial ability to sequester calcium and phosphate, resulting in calcium-phosphate deposition. Metastatic calcinosis usually arises from metabolic derangements in calcium and phosphorus levels as seen in end-stage renal disease and in hyperparathyroid states. Iatrogenic calcinosis is associated with medical procedures or occupational exposures that may involve both tissue damage and local elevated calcium concentrations.
Idiopathic calcinosis is the rarest form, with unknown causes and normal serum calcium, as seen in this case. An extensive literature review by Akosa et al,5 however, concluded that most idiopathic cases of scrotal calcinosis could be attributed to dystrophic calcifications of epidermal cysts.5 Surgical excision (ie, subtotal excision of the scrotal wall), which is the definitive treatment, is usually only performed for aesthetic purposes and in patients with intense pruritus or ulceration.6 The majority of patients require only reassurance and observation. Laboratory workup is always indicated because the condition may be associated with primary hyperparathyroidism, which necessitates further workup to rule out parathyroid adenoma.
1. Dhar D, Varghese TP. Idiopathic soft tissue calcification in an extremity: a case report. Oman Med J. 2013;28:131-132. doi:10.5001/omj.2013.34.
2. Tainwala R, Sharma YK, Gaur N. Idiopathic calcinosis cutis of the penis.Indian Dermatol Online J. 2010;1:36-38. doi:10.4103/2229-5178.73258.
3. Chakrabarti I, Sharma SR. Idiopathic scrotal calcinosis: Is cytological diagnosis enough?Indian Dermatol Online J. 2013;4:58-59. doi:10.4103/2229-5178.105490.
4. Khallouk A, Yazami OE, et al.Idiopathic scrotal calcinosis: a non-elucidated pathogenesis and its surgical treatment. Rev Urol. 2011;13:95–97.
5. Akosa AB, Gilliland EA, Ali MH, Khoo CT. Idiopathic scrotal calcinosis: a possible aetiology reaffirmed.Br J Plast Surg. 1989;42:324-327.
6. Karaca M, Taylan G, Akan M, et al. Idiopathic scrotal calcinosis: surgical treatment and histopathologic evaluation of etiology. Urology. 2010;76:1493–1495.