• Clinical Technology
  • Adult Immunization
  • Hepatology
  • Pediatric Immunization
  • Screening
  • Psychiatry
  • Allergy
  • Women's Health
  • Cardiology
  • Pediatrics
  • Dermatology
  • Endocrinology
  • Pain Management
  • Gastroenterology
  • Infectious Disease
  • Obesity Medicine
  • Rheumatology
  • Nephrology
  • Neurology
  • Pulmonology

A Scaly Rash

News
Poll

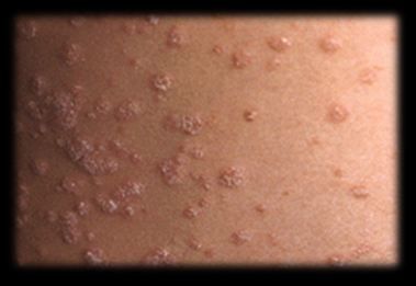
An 11-year-old boy breaks out quite suddenly with a rash of papulosquamous lesions with a silvery scale. Can you Dx?


An 11-year-old boy presents with a rash of tear-drop shaped scales spread symmetrically on his trunk and proximal extremities. The scale is adherent and attempts to scrape the lesions result in punctate bleeding. Other than a case of strep throat last week for which he was treated with antibiotics, he is otherwise in good health.

What is your diagnosis?

A. Seborrheic dermatitis
B. Onychomycosis
C. Guttate psoriasis
D. Nummular eczema
E. Lichen planus
F. Lichen simplex chronicus
G. Mycosis fungoides
Related Content
© 2025 MJH Life Sciences

All rights reserved.