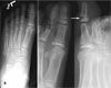
A 10-year-old boy stubbed his toe while running upstairs barefoot. He presented with tenderness, swelling, and ecchymosis of the left great toe and bleeding in and around the nail fold (A). Radiographs of the left foot revealed a Salter-Harris II fracture of the distal phalanx (B).
Lisfranc Ligamental Injury
Salter-Harris II Fracture of the Distal Phalanx
Avulsion of the Ischial Tuberosity
A 10-year-old boy stubbed his toe while running upstairs barefoot. He presented with tenderness, swelling, and ecchymosis of the left great toe and bleeding in and around the nail fold (A). Radiographs of the left foot revealed a Salter-Harris II fracture of the distal phalanx (B).

Stubbing injuries to the great toe can cause occult open fracture and subsequent osteomyelitis. Such injuries are most common during the summer when children go barefoot and stub their toes on a shallow ridge, such as a sidewalk crack or tree stump that is cut near ground level.1-3 The stubbing results in forceful hyperflexion of the great toe that causes fracture through the growth plate with flexion deformity.

Bleeding in or around the nail fold, at times in association with laceration proximal to the nail fold, suggests an open fracture. At the root of the nail, the dermis of the skin is attached directly to the periosteum with no intervening subcutaneous tissue. This area is directly above the physis. Any fracture of the physis is likely to extend through the adjacent skin to create an open fracture, with substantial risk of contamination of the wound in children who play barefoot. Osteomyelitis has also been reported in patients with fractures of the distal phalanx of the finger, either occult or with associated fingernail avulsion, who did not receive prophylactic antibiotics.4,5
Treatment of stubbed toe injuries with occult open fractures should include irrigation and debridement, chlorhexidine gluconate soaks, a course of oral antibiotic therapy, and fracture care.
REFERENCES:
1.
Bahk WJ, Brien EW, Luck JV Jr, Mirra JM. Avulsion of the ischial tuberosity simulating neoplasm-a report of 2 cases.
Acta Orthop Scand.
2000;71:211-214.
2.
Gidwani S, Jagiello J, Bircher M. Avulsion fracture of the ischial tuberosity in adolescents-an easily missed diagnosis.
BMJ.
2004;329:99-100.
3.
Bedrettin A, Ertan O. Avulsion of the ischial tuberosity in a young soccer player: six years follow-up.
J Sports Sci Med.
2002;1:27-30.
http://www.jssm.org/vol1/n1/3/v1-3pdf.pdf
. Accessed June 11, 2008.
4.
Wootton JR, Cross MJ, Holt KW. Avulsion of the ischial apophysis. The case for open reduction and internal fixation.
J Bone Joint Surg Br.
1990;72:625-627.