Figure 1.

Figure 2.

A 37-year-old woman presents to her local emergency department for 6 days of gradually worsening lower abdominal pain and diarrhea that has become progressively more bloody in the last 24 hours. She states that she has had a few similar episodes of this in the past that lasted 1-2 days where she never bothered to go to the doctor, but this time everything is significantly worse. She denies fever, vomiting, recent travel or recent antibiotics. She is otherwise healthy with no medical problems.
On physical exam, her vital signs are normal. Head and neck exam are unremarkable as are the heart and lungs. On her abdominal exam, she is tender in the right lower quadrant. Rectal exam shows a small amount of stool with a little gross blood. The rest of the exam is essentially normal.
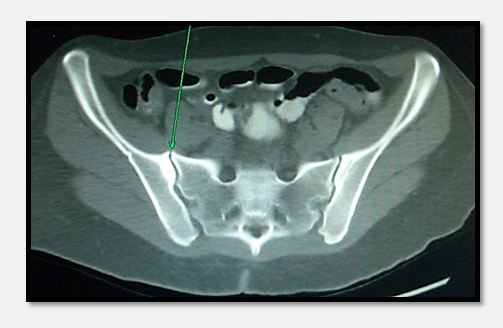
Her urinalysis and pregnancy tests are normal and negative respectively. Her CBC shows a microcytic anemia with a hemoglobin of 9.1 g/dL and a white count that is elevated at 14.1. Liver enzymes and metabolic panel are both normal. A CT scan is ordered and shows mild colonic inflammation, especially in the area of the cecum, but a normal appendix. There is an additional clue on the image in Figure 1 above to the cause of the patient’s illness and whether it is infectious or inflammatory. Please click on image to enlarge
What is the CT finding and what is its significance?
Answer: Sclerosis of the sacroiliac joint, suggestive of inflammatory bowel disease
The image of the abdominal CT in Figure 2 shows sacroiliitis (green arrow), which when it co-occurs with bloody diarrhea is highly suspicious for inflammatory bowel disease (IBD). The patient was eventually diagnosed with ulcerative colitis (UC).
Discussion
IBD includes Crohn’s disease and UC. Typical symptoms include abdominal pain and rectal bleeding. UC affects only the colon and is more likely to present with concomitant bacterial infection, especially with Clostridium difficile. Crohn’s disease is more likely to cause bowel obstruction and/or have extraintestinal manifestations (see Chart, below), although neither are common. Significant anemia and weight loss can also occur in more severe cases. The typical age of onset for these conditions is in the fourth or fifth decade. Not infrequently there are multiple flares prior to the diagnosis which is usually made based on colonoscopy with biopsy.
Treatment of IBD is usually with anti-inflammatory medications such as mesalamine in mild cases and steroids or biologic immunomodulators for flare ups and more severe cases (see Chart). Blood transfusion or fluid/electrolyte replacement may be required as well. Surgery is usually reserved for refractory bleeding, bowel obstruction, perforation, or toxic megacolon. CT scanning may be required to diagnose surgical complications but since such complications are rare and many IBD patients are exposed to repetitive radiation from medical testing, CT should be reserved for cases where there is a high level of suspicion for a surgical complication, especially in younger patients.
Arthritis is a common extraintestinal manifestation in IBD, found in approximately 30% of IBD patients.
Chart. Excerpt on INFLAMMATORY BOWEL DISEASE from Lower GI Bleed page
of QUICK ESSENTIALS Emergency Medicine 1-Minute Consult pocketbook
[[{"type":"media","view_mode":"media_crop","fid":"55477","attributes":{"alt":"","class":"media-image","height":"123","id":"media_crop_5816957842687","media_crop_h":"0","media_crop_image_style":"-1","media_crop_instance":"6947","media_crop_rotate":"0","media_crop_scale_h":"0","media_crop_scale_w":"0","media_crop_w":"0","media_crop_x":"0","media_crop_y":"0","title":"","typeof":"foaf:Image","width":"500"}}]]
For more details, please click on the image below.
Clinical Tips for Using Antibiotics and Corticosteroids in IBD
January 5th 2013The goals of therapy for patients with inflammatory bowel disorder include inducing and maintaining a steroid-free remission, preventing and treating the complications of the disease, minimizing treatment toxicity, achieving mucosal healing, and enhancing quality of life.