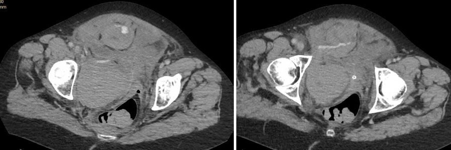
The 62-year-old woman says she nearly fainted and feels weak and nauseated. Her BP is 77/49 mm Hg and she is retaining urine. Does the CT scan offer clues to a Dx?

History of present illness. A 62-year-old woman taking warfarin for atrial fibrillation and metoprolol for hypertension presents to the emergency department (ED) for near syncope and urinary retention. She had a cardiac catheter placed 2 days prior. She hasn’t been able to pee more than a few drops since last night and feels like she has to. She feels weak and nauseous and vomited once but denies any fever, chills, hematuria other complaints.
Vital signs and physical examination. Vital signs are normal except for blood pressure of 77/49 mm Hg and heart rate of 108 beats/min. Physical exam is notable for suprapubic swelling and tenderness. It is otherwise normal with no visible hematomas.
Initial diagnostic testing
Foley: Minimal urine output
Labs: Pending
Imaging: See CT cuts below

What are the most likely diagnoses?