Acute renal infarction most often causes flank pain associated with nausea, vomiting, abdominal pain and, less frequently, fever.
A 73-year-old woman with a past medical history significant for gastroesophageal reflux disease, hypertension, diverticulosis, and a remote history of recurrent urinary tract infections presented to the emergency department (ED) with acute onset of nausea and vomiting. She admitted to at least 13 episodes of emesis over the previous 24 hours. She also complained of left upper quadrant pain that radiated to her left flank and noted fevers and occasional chills, but review of other systems was unremarkable. Home medications included ibandronate, lisinopril, and acetaminophen with codeine. She denied smoking and alcohol consumption.
On physical examination, she was afebrile, with a pulse of 84 beats/min and a blood pressure of 154/81 mm Hg. She was alert and in no acute distress. HEENT exam was significant for dry mucous membranes. Cardiovascular exam revealed a regular rate and rhythm without any audible murmurs. Her abdomen was soft, nondistended, and free of fluid wave or palpable organomegaly. There was some mild to moderate tenderness to palpation of the left upper quadrant and slight costovertebral angle tenderness but no discernible rebound tenderness, guarding, or rigidity. Bowel sounds were normoactive in all quadrants and no abdominal bruits were auscultated. Remaining exam was unremarkable.
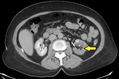
Initial laboratory studies were notable for a serum creatinine level of 1.21 mg/dL. Her serum creatinine value in 2001 was 0.7 mg/dL. Cardiac enzymes were negative for acute coronary syndrome. Aspartate aminotransferase (AST) and alanine aminotransferase (ALT) levels were 57 U/L and 53 U/L, respectively. Urinalysis was unremarkable and negative for hematuria. Blood and urine cultures revealed no growth. ECG in the ED showed normal sinus rhythm without any evidence of acute coronary syndrome. A contrast-enhanced CT scan of the abdomen obtained in the ED showed inhomogeneous uptake of contrast in the left kidney (Figure 1). CT also revealed diffuse diverticulosis of the descending and transverse colon without evidence of diverticulitis.

Figure 1 -
Contrast-enhanced CT of the abdomen showing decreased uptake of contrast in the left kidney.
Empiric broad-spectrum antibiotics were initiated because of concern for possible pyeloneprhitis. The following day, leukocytosis (leukocyte count of 15,700/μL) developed. Her serum creatinine level was 1.24 mg/dL and D-dimer level was 550 μg/L (reference, <500). Her AST and ALT levels rose to 167 U/L and 87 U/L, respectively. Lactate dehydrogenase (LDH) level was markedly increased at 1053 IU/L (reference, 105 to 333). Bilateral lower extremity ultrasonography was negative for deep venous thrombosis. A 2D echocardiogram was notable for a left ventricular ejection fraction (LVEF) of 62%, mild left ventricular hypertrophy, and a severely dilated left atrium.
Over the subsequent days, the patient’s presenting complaints subsided and her laboratory values began to normalize. Serial physical exams revealed an irregular tachycardic heart rhythm, which was consistent with paroxysmal atrial fibrillation (AF) and confirmed by a new ECG (Figure 2). Anticoagulation and rate control medications were initiated, given her cardioembolic risk. It was felt that her left renal infarct was an embolic consequence of prior undetected paroxysmal AF episodes. She was discharged home with close follow-up planned.

Figure 2 -
ECG obtained later in the patient’s hospital stay showing atrial fibrillation.
Discussion
Renal infarction is in the differential for acute flank pain and renal colic. However, it is an infrequent cause and therefore may be misdiagnosed. Other, more common etiologies include pyelonephritis, nephrolithiasis, and ischemic colitis. Small retrospective chart reviews suggest the incidence of renal infarction among all hospital admissions is 0.007%1 and among all ED visits for flank and/or abdominal pain, 0.004%.2 However, the studies illustrated the need to include renal infarction in the differential because none of the cases were definitively diagnosed in less than 24 hours, and in at least one case, the diagnosis was not made until 6 days after initial presentation.1,2
The nonspecific symptoms associated with renal infarction complicate its timely diagnosis. Acute renal infarction most often causes flank pain associated with nausea, vomiting, abdominal pain and, less frequently, fever.2,3 Most episodes occur in the setting of an increased risk of embolization, although in situ renal artery thrombosis does account for a small percentage of cases.4
AF is perhaps the well-recognized risk factor. Physical examination sometimes reveals other signs of embolic disease, such as focal neurologic deficits or evidence of peripheral embolization. Laboratory findings may include mild elevations of AST and ALT levels, minimal leukocytosis, and a small increase in serum creatinine level, although occasionally this value may remain within normal ranges. Hematuria is a sensitive but nonspecific finding. Markedly elevated serum LDH level, often greater than 4 times the upper limit of normal, is a common finding and can be a fairly specific index in the proper context. Historically, renal arteriogram has been used for definitive diagnosis, but contrast-enhanced CT has been found to be a very reliable and less invasive imaging tool. Classic findings include a hypodense, wedge-shaped lesion within the renal parenchyma. A cortical rim sign also may be present. The cortical rim sign is an area in the periphery of the kidney that continues to enhance with contrast despite general segmental ischemia or infarction because of perforating branches of the renal capsular artery that maintain its perfusion.5
Appropriate treatment typically involves anticoagulation therapy along with management of hypertension.4 Anticoagulation will often serve a dual purpose, since a large percentage of patients presenting with renal infarction will have underlying AF. Intra-arterial thrombolysis and thrombectomy are more controversial options, and only believed to be beneficial in restoring kidney tissue function/perfusion if performed within the first 24 hours of presentation.4,6 Many renal infarcts unfortunately are not identified in this initial time frame.
A retrospective study of 44 patients demonstrated a mortality rate of 11.4% at 1 month after the initial diagnosis.7 However, renal function in general remained stable or near-stable in follow-up, demonstrating the compensatory capacity of the uninvolved kidney.4 Patients who suffer from renal infarcts may be predisposed to various comorbidities and therefore may be more likely to have a higher mortality rate than other populations in the follow-up period.
Acknowledgments
Thank you to Thomas Kayani, MD, Karen Collins, MPA, and Nairmeen Haller, MS, PhD, for their contributions to this case report.
References
1. Korzetz Z, Plotkin E, Bernheim J, Zissin R. The clinical spectrum of acute renal infarction. Isr Med Assoc J. 2002;4:781–784.
2. Huang C, Lo H, Huang H, et al. ED presentations of acute renal infarction. Am J Emerg Med. 2007;25:164-169.
3. Antopolsky M, Simanovsky N, Stalnikowicz R, et al. Renal infarction in the ED: 10-year experience and review of the literature. Am J Emerg Med. 2012;30:1055-1060.
4. Radhakrishnan J. Diagnosis and treatment of renal infarction. http://www.uptodate.com/contents/diagnosis-and-treatment-of-renal-infarction?source=search_result&search=renal+infarction&selectedTitle=1~40. Accessed November 11, 2012.
5. Suzer O, Shirkhoda A, Jafri SZ, et al. CT features of renal infarction. Eur J Radiol. 2002;44:59-64.
6. Saeed K. Renal infarction. Int J Nephrol Renovasc Dis. 2012;5:119-123.
7. Hazanov N, Somin M, Attali M, et al. Acute renal embolism. Forty-four cases of renal infarction in patients with atrial fibrillation. Medicine (Baltimore). 2004;83:292–299.