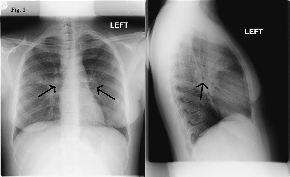
Figure 1. Chest x-ray film 1 year before presentation.

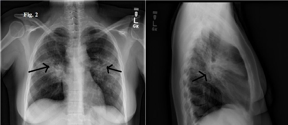
Figure 2. Repeated chest x-ray film.

Figure 4a. Acid-fast bacilli test, negative.

Figure 4b. Gram stain, negative.

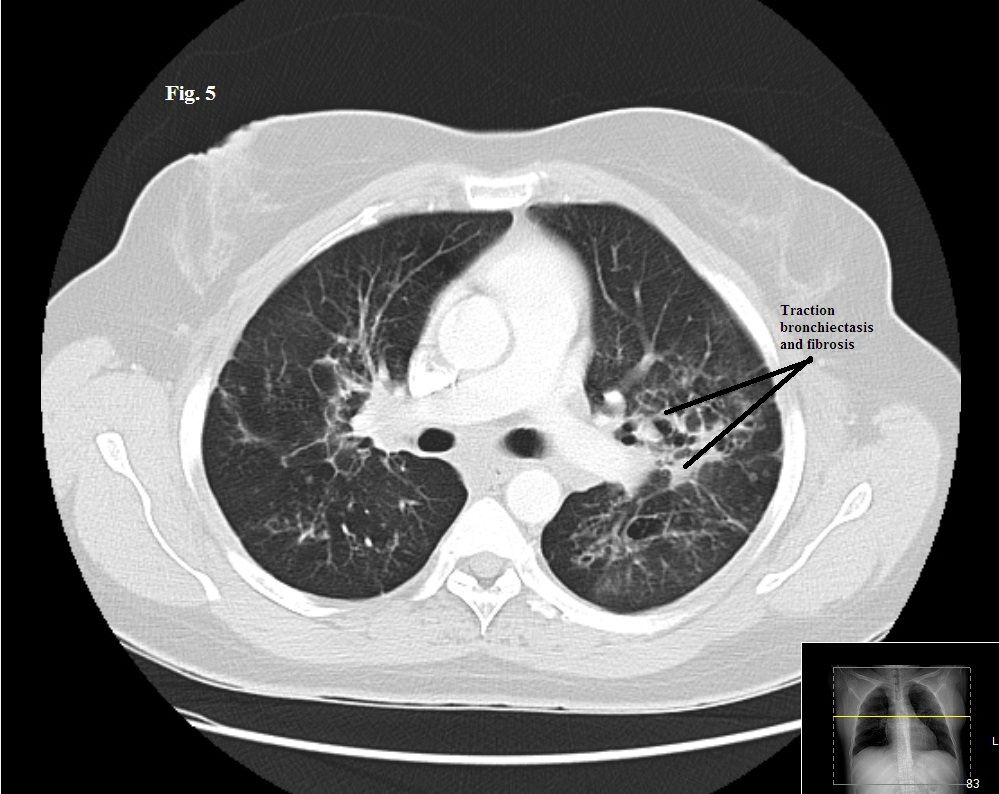
Figure 5. CT scan after 3 months of treatment.

A 44-year-old African American woman was evaluated for symptoms of worsening cough, shortness of breath, chest tightness, and fatigue of 6 months’ duration. Bronchial asthma had been diagnosed 2 years earlier, and she had been compliant with her inhalation therapy (budesonide and formoterol). Her exercise tolerance had become reduced over the past 6 months.
The woman denied smoking, alcohol intake, and illicit drug abuse. She did not have any fever, weight loss, night sweats, or joint pain. She denied any allergies. Six months earlier, she had noticed the appearance of a progressive purple rash around both eyes. The rash responded poorly to topical hydrocortisone.
Physical examination revealed bilateral diffuse wheezing and crackles. Flesh-colored papules coalescing into plaques with some overlying scales were noted on the medial aspect of the patient’s orbits bilaterally, and they extended onto the nasal bone and upper eyelids. The rest of the examination findings were normal.
A chest radiograph obtained 1 year earlier was notable for mild hilar prominence (Figure 1). (Click on images to enlarge.) A repeated chest radiograph showed new bilateral diffuse interstitial infiltrates involving both lungs, along with bilateral hilar lymphadenopathy (Figure 2). A chest CT scan showed similar findings with a tree-in-bud appearance predominantly in the midlung zones and perihilar areas (Figure 3). Tree-in-bud appearance describes a CT finding of centrilobular opacities which correspond to luminal impaction of bronchioles that become focally dilated with fluid, pus or mucus. Also seen was bilateral axillary, hilar, precarinal, and subcarinal lymphadenopathy. Pulmonary function testing (PFT) results showed a progression from moderate to severe obstructive lung disease and worsening diffusing capacity of the lung for carbon monoxide (DLCO).
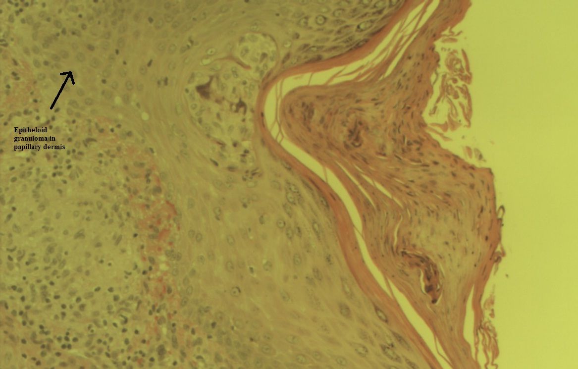
The patient’s ECG and echocardiogram results were unremarkable. Laboratory data were notable only for an elevated erythrocyte sedimentation rate of 60 mm/h (normal range, 0 to 20 mm/h). The rest of the workup-including complete blood cell count with differential; metabolic panel, with blood urea nitrogen, creatinine, glucose, electrolyte, and calcium levels; hepatic panel; antinuclear antibodies; rheumatoid factor; antineutrophil cytoplasmic antibodies; serum angiotensin converting enzyme levels; and urinalysis-was unremarkable. HIV and purified protein derivative test results were negative. Acid-fast bacilli test (Figure 4a) and Gram stain results (Figure 4b) were negative.
When skin biopsy findings from the rash around the patient’s eyes were considered in the context of chest images and PFT results, a diagnosis was made.
What’s your diagnosis?
Answer: Pulmonary sarcoidosis. Positive findings of sarcoidosis involving the skin along with bilateral diffuse interstitial lung infiltrates and hilar lymphadenopathy supported a diagnosis of pulmonary sarcoidosis.
Treatment with systemic prednisone was started at a dosage of 40 mg/d, and the patient’s symptoms improved significantly over 3 months. A repeated chest CT scan obtained at 3 months showed a mild decrease in the interstitial infiltrates and hilar lymphadenopathy (Figure 5). However, there was a prominence of traction bronchiectasis and cystic changes.
A subsequent PFT performed at 6 months showed a 20% increase in forced vital capacity (FVC) but a 30% decrease in DLCO. The patient’s prednisone dosage was subsequently tapered to 20 mg/d, and her disease remained stable on this maintenance dosage over the following 9 months. The plan is to continue the treatment with systemic corticosteroids for at least 1 year. In the meantime, the patient’s inhalation therapy with budesonide and formoterol has been continued.
Discussion
Sarcoidosis is a multisystem inflammatory disease of uncertain etiology that is manifested by the presence of noncaseating epitheloid cell granulomas; it affects the lungs in 90% of cases.1 Sarcoidosis usually involves the intrathoracic lymph nodes and, less frequently, the lung parenchyma. It often affects persons aged 25 to 50 years.2
Sarcoidosis traditionally has been staged according to standard chest radiography findings as follows:
• Stage 0: Normal chest radiographic findings.
• Stage I: Bilateral hilar lymphadenopathy.
• Stage II: Bilateral hilar lymphadenopathy and infiltrates.
• Stage III: Infiltrates alone.
• Stage IV: Fibrosis.
Physical findings in patients with sarcoidosis may include wheezing (with endobronchial sarcoidosis or the presence of traction bronchiectasis), crackles (parenchymal involvement), desaturation on exertion, and clubbing (advanced pulmonary fibrosis).
Up to 50% of patients with sarcoidosis have symptoms similar to those of asthma, such as cough, wheezing, dyspnea, chest pain, chest tightness, and fatigue.1 The possibility of other conditions must be entertained when patients with asthma seem to progress rapidly, manifest certain atypical features, or do not respond appropriately to standard treatment.
Differential diagnosis
The differential diagnosis for poorly responsive asthma includes the presence of allergic rhinitis in combination with severe persistent asthma; gastroesophageal reflux disease; cardiac conditions, such as left ventricular failure of any etiology (ischemic or nonischemic) and mitral or aortic valve stenosis or regurgitation; superimposed chronic obstructive pulmonary disease; bronchiectasis; vasculitis, such as Churg-Strauss syndrome; hypersensitivity pneumonitis; vocal cord disorders; recurrent aspiration; alpha1-antitrypsin deficiency; allergic bronchopulmonary aspergillosis; malignancies that affect the airways; and sarcoidosis.
High-resolution CT (HRCT) of the chest helps identify active alveolitis, beaded thickening of bronchovascular bundles, ground-glass opacities, nodular consolidation, parenchymal bands, cysts, and traction bronchiectasis.2 PFT often reveals a decrease in DLCO and a restrictive pattern with advanced parenchymal disease. An obstructive pattern can be seen in patients with airway involvement. Bronchoscopy may help identify mucosal hyperemia and narrowing and distortion of bronchial anatomy; it also allows for taking biopsy specimens and collecting bronchoalveolar lavage specimens for analysis.2
The overall prognosis for pulmonary sarcoidosis is good in both symptomatic and asymptomatic patients, even without therapy. Treatment is based on the severity and rate of progression of airway symptoms. When airway symptoms are a part of parenchymal involvement, they respond to therapy targeted at the latter.
Treatment for patients with parenchymal disease usually is initiated with oral prednisone at a daily dose of 0.3 to 0.6 mg/kg ideal body weight (usually 20 to 40 mg/d).3 This dose can be tapered to 0.2 to 0.4 mg/kg (usually 10 to 20 mg/d) over 6 months, depending on patient response.4 Response is assessed by clinical improvement in association with changes in radiographic and physiologic abnormalities. An increase in FVC or total lung capacity of 10% to 15% and in DLCO of 20% is considered a favorable response.
The total treatment period is around 1 year, after which corticosteroids may be discontinued in the majority of patients. Some patients relapse and require re-treatment; others may require more prolonged treatment (alternate-day therapy with corticosteroids may be used).5 In patients in whom refractory disease develops while they are receiving corticosteroids and in those who have unacceptable toxicity, corticosteroid-sparing agents such as methotrexate and azathioprine may be tried. Few reports of bronchoscopic dilatation to relieve airway obstruction have been published.6
Take-Home Points
• Sarcoidosis should be considered in the differential diagnosis of poorly responsive asthma.
• Obstructive symptoms resulting from airway involvement can occur in patients with pulmonary sarcoidosis but less frequently than a decrease in DLCO and restrictive disease.
• Bronchoscopy is more valuable than HRCT in the management of endobronchial sarcoidosis.
• Management of severe airway disease is similar to that of standard pulmonary sarcoidosis except that inhaled corticosteroids may be used in addition to systemic corticosteroids.
1. Mihailovic-Vucinic V, Jovanovic D. Pulmonary sarcoidosis. Clin Chest Med. 2008;29:459-473, viii-ix.
2. Polychronopoulos VS, Prakash UB. Airway involvement in sarcoidosis. Chest. 2009;136:1371-1380.
3. Schutt AC, Bullington WM, Judson MA. Pharmacotherapy for pulmonary sarcoidosis: a Delphi consensus study. Respir Med. 2010;104:717-723.
4. Johns CJ, Zachary JB, Ball WC Jr. A ten-year study of corticosteroid treatment of pulmonary sarcoidosis. Johns Hopkins Med J. 1974;134:271-283.
5. DeRemee RA. Sarcoidosis. Mayo Clin Proc. 1995;70:177-181.
6. Iles PB. Multiple bronchial stenoses: treatment by mechanical dilatation. Thorax. 1981;36:784-786.