Results of a physical examination and CT scan of the chest offer clues to this patient's diagnosis.
Figure 1 (click to enlarge)

Figure 2 (click to enlarge)

An 84-year-old woman presented to the ED with progressive dyspnea and hypoxemia. Her oxygen saturation was 84% on room air and the rest of her vital signs were within normal limits. She said she has had a dry, non-productive, hacking cough for the past few months without hemoptysis. She denies any chest pain, syncope, fevers or chills, has no recent travel history, and denies sick contacts.
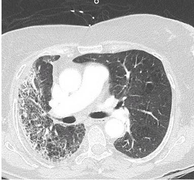
Her past medical history was significant for squamous cell skin cancer of the right shoulder which was treated with surgical excision (Figure 1) followed by 7 weeks of radiation therapy. Results of a CT scan of the chest are seen in Figure 2.
1. What is your diagnosis based on the skin lesion and CT chest findings shown?
2. What are the treatment options?