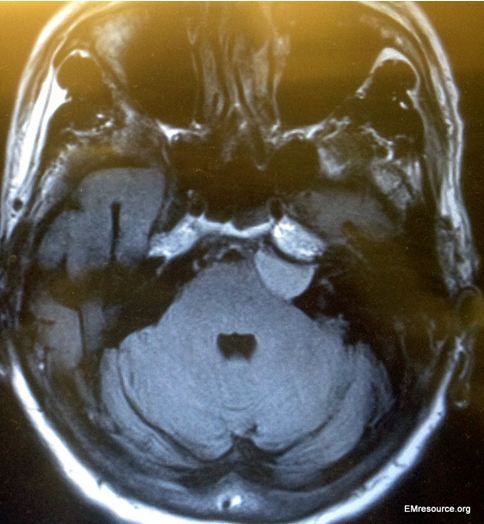
The patient denies vertigo, hearing change, headache or ear pain. Physical exam and past medical history are benign. What does the brain MRI tell you?
Figure. Brain MRI scan obtained in ED.

A 68-year-old man presents to the emergency department after 4 days of constant and slowly progressive ataxia and possibly some intermittent double vision. He denies vertigo, change in hearing, headache or ear pain, drug or alcohol use or other complaints. He has a history of hypertension but denies any other past medical history. His only medications are aspirin, HCTZ, and potassium.
Physical examination shows normal vitals signs. Examination of the head and neck reveals no facial weakness or nystagmus and normal eye motion. Tympanic membranes are clear and there is no vesicular rash. The heart is regular without murmur and the lungs are clear. The neurologic exam is essentially normal, including cranial nerves, except for a mildly positive Romberg sign.
An MRI of the brain is performed (see results in the Figure; click image to enlarge)
What diagnosis does the brain MRI reveal?
Please leave your impressions below; click here for answer and discussion.