Pseudosac with ectopic pregnancy, palmar erythema, pemphigoid gestationis, abdominal wall hematoma, dermatomyositis, livedo reticularis-visual presentations of health problems that occur frequently, or exclusively, in women.

Case 1:
A 26-year-old woman with a history of asthma, appendectomy, and ovarian cyst presents to the ED with lower abdominal pain and vaginal bleeding. She denies any recent fever, vomiting, or vaginal discharge besides blood. She is sexually active with her husband; they use condoms.
Her pregnancy test comes back positive. A transvaginal image from a pelvic sonogram is shown here. The diagnosis is pseudosac with likely ectopic pregnancy.
The sonogram shows a sac in the uterus, but this is not a normal gestational sac or a normal pregnancy. The presence of a pseudosac means the pregnancy is likely elsewhere, or ectopic.
A pseudosac typically is located centrally, may fill the entire endometrial cavity, and lacks the “double ring” sign. True gestational sacs usually are slightly off-center and have a detectable double decidual sign and eventually develop an internal yolk sac, followed by an embryo.
Pseudosacs occur in about 10% of ectopic pregnancies and can lead examiners astray if they are identified as a sign of a normal pregnancy and are not seen as a potential red herring. Testing includes a pregnancy test, blood typing, a CBC, and a pelvic ultrasound.
Case and image courtesy of Brady Pregerson, MD
NEXT CASE »
For the discussion, click here.

Case 2:
The female patient, an astute self-observer, was sure that the margin of her palm had turned red only in the past few months. The time span corresponded to the duration of clinical liver metastases.
She had palmar erythema, which is common in healthy persons and especially in pregnant women.
Palmar erythema is marked by a magenta hue that does not cover the whole palm but rather occupies part of the periphery-in this instance, principally the hypothenar eminence.
Unlike the red palms that persons experience after sitting on their hands, true palmar erythema shows spottiness within the red zone and central palmar sparing.
Palmar erythema lacks predictive value for chronic liver disease, but in this patient its development clearly mirrored hepatic involvement by metastatic breast cancer.
NEXT CASE »
For the discussion, click here.

Case 3:
A 16-year-old patient with pemphigoid gestationis during the 38th week of her first pregnancy was affected with pruritic, hivelike, edematous, bullous lesions on her abdomen and legs.
Pemphigoid gestationis-a “dermatosis of pregnancy”-is a rare autoimmune vesiculobullous disorder with severe pruritic manifestations. The initial ones usually occur during the second or third trimester. The typical evolutionary pattern consists of severe initial pruritus preceding skin lesions appearing in the form of erythematous urticarial papules that evolve into plaques.
The typical localization of the lesions is in the abdominal region, almost always within or proximate to the umbilicus. As lesions evolve into tense blisters with a generalized pemphigoid-like pattern of eruption, the diagnosis becomes more obvious. The entire skin surface can be involved, but the face, palms, soles, and mucous membranes usually are spared.
Histopathologic and immunopathologic tests are the main tools used to confirm a diagnosis.
Article by Maria-Magdalena Roth, MD, PhD. Photo courtesy of Dr Scott Ross.
NEXT CASE »
For the discussion, click here.

Case 4:
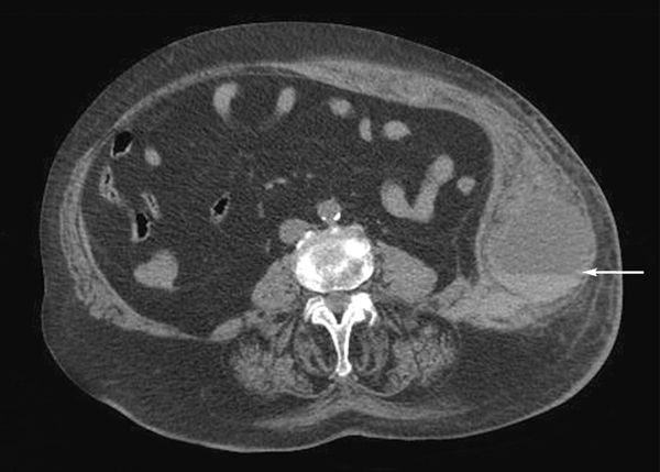
A 77-year-old woman had shortness of breath that worsens when she lies down and intermittent left flank pain. She had had mild nonbloody diarrhea, but no vomiting or oral intake intolerance, and an embolic cerebral stroke for which she takes warfarin. There is a large, firm, ecchymotic, exquisitely tender mass on her abdomen. She had fallen in her bathroom a few days earlier.
A CT scan of the abdomen and pelvis without contrast showed a massive abdominal wall hematoma arising from the left rectus sheath of the lateral abdominal wall with a fluid-blood level (hematocrit sign) consistent with an acute hemorrhage.
Female sex is a factor known to predispose to the development of an abdominal wall hematoma. Others are older age and the use of antiplatelet or anticoagulant agents.
A hematoma can present with apparent bruising and tenderness over any aspect of the abdominal wall. Patients typically do not have an underlying intra-abdominal pathology.
Patients can be distinguished from those with purpuric illnesses because they usually have a normal platelet count and normal coagulation parameters, unless they have been receiving anticoagulation therapy.
Case and image provided by Donald Wickline, MD and Michael D. Smith, MD
NEXT CASE »
For the discussion, click here.

Case 5:
Women are affected by dermatomyositis or polymyositis 2 times more frequently than men. The heliotrope rash characteristic of dermatomyositis is seen in this female patient.
Dermatomyositis can present with erythema of the face, neck, upper trunk, knuckles, elbows, and knees. Poikiloderma may be noted in a photosensitive distribution. Other manifestations include periungual erythema, ragged cuticles, telangiectases, and thrombosis of capillary loops.
Diagnostic criteria consist of proximal muscle weakness, elevated serum muscle enzyme levels, diagnostic muscle biopsy, and characteristic changes on electromyography. Evaluation of patients with suspected dermatomyositis should include skin biopsy.
Dermatomyositis often is associated with underlying malignancy in older patients, including that of the breast, colon, lung, ovary, stomach, or uterus. Ovarian cancer has the strongest association with paraneoplastic dermatomyositis, which affects women more than men (ratio, 2:1).
NEXT CASE »
For the discussion, click here.

Case 6:
A 62-year-old woman was evaluated in preparation for cholecystectomy. She had no cardiac or pulmonary disorders. Physical examination revealed a purplish red lace-like pattern on the skin, with mottling most prominent on the thighs and forearms. The rash became more pronounced when she was exposed to cold.
This is a classic presentation of livedo reticularis. The primary form occurs in adults, most often women, in their 30s and 40s.
Livedo reticularis is a chronic vascular disorder in which constriction of cutaneous blood vessels leads to the characteristic mottled or net-like discoloring on large areas of the legs or arms and, less frequently, the trunk. The condition is aggravated by cold exposure. The lace-like pattern is similar to that seen in erythema ab igne, which is associated with heat exposure.
Causes of livedo reticularis include lymphoproliferative malignancies, collagen vascular disorders, hereditary protein C deficiency and antithrombin III deficiency, embolic phenomenon, and a history of ischemic cerebrovascular events.
Case and photo courtesy of Arunabh Talwar, MD and Larry Sokolosky, MD