Polycystic ovary syndrome (PCOS) is the most common endocrinopathy among reproductive-aged women; the prevalence is 5% to 10%.1 Like women with PCOS, affected adolescents often present with irregular menses, hirsutism, and acne. However, despite widespread agreement that the metabolic derangements of PCOS arise during puberty, the condition is diagnosed more often in adults than in adolescents.
Polycystic ovary syndrome (PCOS) is the most common endocrinopathy among reproductive-aged women; the prevalence is 5% to 10%.1 Like women with PCOS, affected adolescents often present with irregular menses, hirsutism, and acne. However, despite widespread agreement that the metabolic derangements of PCOS arise during puberty, the condition is diagnosed more often in adults than in adolescents.
Diagnosis of PCOS in adolescence is complicated by the following challenges:
• Signs of PCOS, including acne and oligomenorrhea, are common among healthy teenaged girls.
• Puberty is a dynamic state, and PCOS may take time to fully evolve.
• No formal criteria exist for diagnosing PCOS in adolescents.
Adolescents with PCOS are at risk for such sequelae as dyslipidemia, hypertension, type 2 diabetes mellitus, infertility as adults, and potentially coronary artery disease in adulthood. Prompt diagnosis is essential to optimize therapy, establish healthy diet and exercise habits, and prevent potential health consequences.
This is the first of a series of 2 articles on PCOS updated from a previous review published in 2007. Here the focus is on diagnosis. After a brief review of the pathophysiology, we review current diagnostic criteria and differential diagnostic considerations. In a future issue, we will detail the various treatment options for PCOS in adolescents. We will also discuss screening for-and monitoring of-the long-term associated risks.
PATHOPHYSIOLOGY
Although the basic pathophysiology of PCOS is unknown, several cardinal endocrine derangements have been identified:
• Insulin resistance and resultant hyperinsulinism.
• Dysfunctional secretion of gonadotropin-releasing hormone (GnRH).
• Increased production of androgens primarily by the ovary.
Insulin resistance and resultant hyperinsulinism are central to the pathophysiology of PCOS. Insulin acts on ovarian theca cells to promote androgen secretion both independently of and synergistically with luteinizing hormone (LH). Hyperinsulinism also increases levels of bioavailable androgen by reducing the amount of sex hormone–binding globulin (SHBG) produced by the liver.2
Increased production of GnRH from the hypothalamus is thought to be responsible for the hypersecretion of LH in PCOS. Excess LH acts on theca cells in the ovary to augment androgen production.1 The reason for the more frequent secretion of GnRH in patients with PCOS remains unclear; it is possible that there is an intrinsic defect in the GnRH pulse generator or a lack of feedback inhibition of GnRH caused by chronically low progesterone levels.3,4
Obesity is not a cause of the syndrome; however, it exacerbates many of the symptoms. Like hyperinsulinemia, obesity reduces SHBG production by the liver, which increases levels of active testosterone in the circulation. In addition, obesity worsens insulin resistance and hyperinsulinism, thereby increasing ovarian androgen production.5,6
Obesity alone, however, does not entirely explain the degree of insulin resistance seen in adolescents with PCOS. PCOS has been shown to compound the degree of insulin resistance found in persons with obesity alone. Furthermore, lean patients with PCOS are more insulin-resistant than those without PCOS.6CLINICAL FEATURES
The most common presenting symptoms of PCOS include:
• Menstrual bleeding disturbances caused by oligoovulation or anovulation. These disturbances include oligomenorrhea (fewer than 8 periods per year), amenorrhea (at least 3 months with no menses), and dysfunctional uterine bleeding.
• Hirsutism.
• Acne (especially persistent or cystic).
Because transient, physiologic anovulation can persist for up to 2 to 3 years after menarche in healthy teenaged girls, it can be difficult to distinguish adolescents with PCOS from those who are healthy.7 Adolescents require longer follow-up than adults to determine whether irregular menstrual patterns that are associated with pubertal maturation persist into late adolescence. Nearly 70% of girls with irregular cycles for more than 2 years after menarche continue to have an abnormal bleeding pattern in adulthood.8

Figure 1.
Female patient with facial hirsutism. Courtesy of Sunita Puri, MD
Hirsutism and acne are common signs of hyperandrogenism in PCOS. Less frequently balding, typically in a male pattern, is also a sign of hyperandrogenism. These cosmetic symptoms can be particularly disturbing to adolescents. Although acne is common in teenagers, severe, cystic acne that is refractory to common therapies suggests hyperandrogenism.9

Figure 2.
Hirsutism may be formally assessed with the Ferriman-Gallwey classification system. Different anatomic sites are graded from minimal hirsutism to frank virilization; a total score of 8 or greater is abnormal. (Reprinted with permission from Moncada E.
J Clin Endocrinol Metab.
1970.11)
Hirsutism-excessive hair in a male-pattern distribution, including on the face, chest, inner thighs, and lower abdomen-involves coarse, darkly pigmented terminal hairs (Figure 1).5,10 In contrast, hypertrichosis is a generalized increase in fine, lightly pigmented vellus hair. Hirsutism may be formally assessed with the Ferriman-Gallwey classification system (Figure 2). Different anatomic sites are graded from minimal hirsutism to frank virilization; a total score of 8 or greater is abnormal.2,11
PCOS is the leading cause of hirsutism in adolescents.12 An important consideration in the evaluation of hirsutism, however, is the variation of hair distribution in patients of different ethnicities. Asian teenaged girls are generally less likely to demonstrate hirsutism when testosterone levels are elevated. Conversely, Latino and Mediterranean teenagers often appear to have more hair at normal testosterone levels.5,10,13
Acanthosis nigricans may be seen in adolescents with PCOS, particularly those who are obese (Figure 3). This velvety hyperpigmentation and thickening of the skin is most often localized to the intertriginous areas (such as the axilla and neck). Acanthosis nigricans has been associated with both the presence and degree of insulin resistance in hyperandrogenemic girls.2,5,14
Up to 75% of women with PCOS are obese. Android (central) obesity is particularly associated with PCOS in adults.5,11 The prevalence of obesity and the pattern of fat distribution in adolescents with PCOS may vary. Conflicting studies of adolescents with PCOS have demonstrated both normal and obese body patterns.15,16 It is well known, however, that obesity exacerbates the metabolic derangements of PCOS, particularly insulin resistance.6

Figure 3.
Acanthosis nigricans may be seen in adolescents with polycystic ovary
syndrome, particularly those who are obese. The velvety hyperpigmentation and
thickening of the skin is often localized to the intertriginous areas such as the back
of the neck shown here in a 13-year-old obese girl with metabolic syndrome.
Courtesy of Bhagwan Das Bang, MD.
DIAGNOSTIC CRITERIA
Controversy exists regarding the optimal diagnostic criteria for PCOS. The 3 current criteria (NIH Consensus criteria, Rotterdam International criteria, and Androgen Excess and PCOS Society criteria) have been generated and are outlined in Table 1.17-19 We support use of the guidelines proposed by the Androgen Excess and PCOS Society (AE-PCOS) that require the presence of both ovarian dysfunction and evidence of hyperandrogenism to diagnose PCOS.17 According to the AE-PCOS criteria, ovarian dysfunction is defined as oligo-ovulation/anovulation and/or polycystic-appearing ovaries on ultrasound while hyperandrogenism is either clinical or biochemical. The approach proposed by AE-PCOS criteria also encompasses elements of each of the other two guidelines.
Alternative causes of these symptoms must be excluded before the diagnosis of PCOS is confirmed.17
Unfortunately, these criteria were designed for making a diagnosis in adults and do not address the unique considerations in adolescents. The most notable considerations are that puberty is a dynamic period and that the degree of ovarian dysfunction and hyperandrogenism necessary to confirm the diagnosis of PCOS may take several years to fully evolve.15,20 Adolescents can present with an array of common and self-limited abnormal bleeding patterns (eg, secondary amenorrhea, oligomenorrhea, and dysfunctional uterine bleeding) until they reach full pubertal maturity. Thus, teenagers who have suspected PCOS need careful evaluation over time to prevent misdiagnosis.
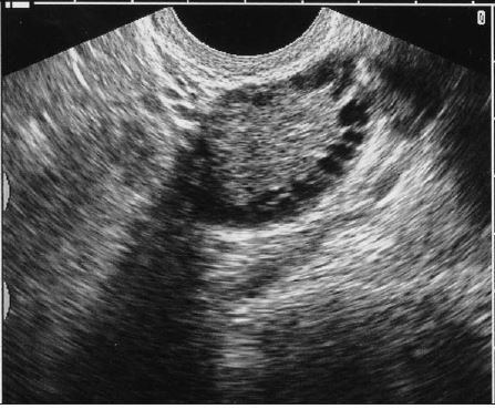
Ultrasonographic Characteristics. Despite recommendations of both the AE-PCOS and Rotterdam criteria that ovarian ultrasonographic characteristics be included in the diagnosis of PCOS, this guideline remains controversial.17,18 On an ultrasound, polycystic ovaries appear to contain multiple subcapsular follicles, a finding often referred to as “the string of pearls sign” (Figure 4). Formally, at least 1 of the following ultrasonographic characteristics should be present to categorize ovaries as polycystic in appearance:
• Twelve or more follicles that measure 2 to 9 mm in diameter.
• An increased ovarian volume of greater than 10 μL.
• A single ovary that meets either of the above criteria is sufficient for diagnosis.21

Figure 4.
A transvaginal ultrasonogram of an ovary of a patient with polycystic ovary
syndrome demonstrates multiple subcapsular follicles typical of polycystic-appearing ovaries.
The limited specificity of ultrasonography appears to be the main challenge to its widespread use in the diagnosis of PCOS in adults. Polycystic ovaries are found in up to 75% of women with oligoovulation, including many who do not have PCOS. Furthermore, up to 25% of healthy women have polycystic-appearing ovaries on an ultrasound.5 The shortcomings of ultrasonography in the diagnosis of PCOS are compounded in adolescents. Imaging the ovaries of adolescents via the transabdominal route-the preferred method in those who have not been sexually active-limits visualization and diagnostic accuracy.9,22 In addition, multifollicular ovaries have been identified in many healthy adolescents, and this finding may be confused with the polycystic pattern in PCOS.23Laboratory Evaluation. Expert agreement on a cutoff testosterone level that defines hyperandrogenemia has been challenging. Some argue that testosterone thresholds traditionally considered abnormal were improperly derived and that true biochemical hyperandrogenemia exists at lower testosterone levels than reported by many laboratories. Nevertheless, values ranging from 50 to 60 ng/dL or greater are considered abnormal compared with testosterone levels in women with normal menstrual cycles.5,24 In addition, a testosterone level of 200 ng/dL or greater (particularly in the setting of virilization) is an unequivocal indication to search for a testosterone-producing neoplasm.2,5
The utility of free testosterone measurements (as opposed to total testosterone levels described above) has been debated. A free testosterone measurement determines the fraction of hormone that is active and not bound to protein in the circulation. Theoretically, the free testosterone level should be a highly sensitive marker of PCOS and superior to the total testosterone level. In practice, however, the test has been unreliable and expensive.5 We believe that if the free testosterone level is assessed, it should be measured in conjunction with the total testosterone level. Despite problems inherent in the free testosterone assay, its assessment may enhance the sensitivity of testing for hyperandrogenemia, especially in adolescents with borderline total testosterone levels.25,26 Patients with suspected PCOS who initially have normal androgen levels should undergo repeated testing if clinical features of the syndrome-particularly oligoovulation-persist.
Diagnosis in Adolescents
On the basis of the challenges described, we recommend focusing the evaluation of PCOS only on adolescents with persistent oligo-ovulation and/or evidence of hyperandrogenism. If ultrasonography is used, alternative diagnoses must be rigorously sought and excluded. Risk factor assessment can also help guide this diagnostic approach.
Teenaged girls-especially those who are obese-with a family history of PCOS, type 2 diabetes mellitus, or precocious pubarche require close follow-up if they demonstrate symptoms that are consistent with PCOS.14 When the initial evaluation is equivocal, follow-up over time to reassess symptoms and biochemical markers is warranted.
DIFFERENTIAL DIAGNOSIS
The most important conditions in the differential diagnosis of PCOS include those that also cause oligomenorrhea and hyperandrogenism. While rare, late-onset congenital adrenal hyperplasia (CAH) shares many features with PCOS and should be excluded, especially in certain ethnic groups (Slavic, Latino, and Ashkenazi Jewish persons).2,10,27 Cushing syndrome is even less common than CAH, but adolescents with this condition can present with oligomenorrhea, hirsutism, acne, and obesity. Unlike PCOS, Cushing syndrome is associated with the presence of moon facies, a buffalo hump, abdominal striae, and muscle wasting. Given the rarity of this condition, we suggest screening only those who present with these associated symptoms.26,28
A variety of laboratory tests are recommended to definitively rule out alternative diagnoses with features similar to those of PCOS (Box). In adolescents with signs of virilization-male-pattern baldness, clitoromegaly, voice deepening-as opposed to hirsutism, rule out a testosterone-producing tumor of the ovary or adrenal gland. In those who present with secondary amenorrhea after a long history of regular cycles, especially in the absence of hyperandrogenism, rule out endocrine abnormalities, such as thyroid disease, hyperprolactinemia, and dysfunction of the hypothalamic-pituitary-gonadal axis.2,5
References
1. Michelmore KF, Balen AH, Dunger DB, Vessey MP. Polycystic ovaries and associated clinical and biochemical features in young women. Clin Endocrinol (Oxf). 1999;51:779-786.
2. Speroff L, Fritz MA. Clinical Gynecologic Endocrinology and Infertility. Philadelphia: Lippincott Williams and Wilkins.
3. Waldstreicher J, Santoro NF, Hall JE, et al. Hyperfunction of the hypothalamic-pituitary axis in women with polycystic ovarian disease: indirect evidence for partial gonadotroph desensitization. J Clin Endocrinol Metab. 1988;66:165-172.
4. Ehrmann DA. Polycystic ovary syndrome. N Engl J Med. 2005;352:1223-1236.
5. Guzick DS. Polycystic ovary syndrome. Obstet Gynecol. 2004;103:181-193.
6. Dunaif A, Segal KR, Futterweit W, Dobrjansky A. Profound peripheral insulin resistance, independent of obesity, in polycystic ovary syndrome. Diabetes. 1989;38:1165-1174.
7. Apter D. Endocrine and metabolic abnormalities in adolescents with a PCOS-like condition: consequences for adult reproduction. Trends Endocrinol Metab. 1998;9:58-61.
8. Southam AL, Richart RM. The prognosis for adolescents with menstrual abnormalities. Am J Obstet Gynecol. 1966;94:637-645.
9. Buggs C, Rosenfield RL. Polycystic ovary syndrome in adolescence. Endocrinol Metab Clin North Am. 2005;34:677-705, x.
10. Azziz R. The evaluation and management of hirsutism. Obstet Gynecol. 2003;101:995-1007.
11. Moncada E. Familial study of hirsutism. J Clin Endocrinol Metab. 1970;31:556-564.
12. Plouffe L Jr. Disorders of excessive hair growth in the adolescent. Obstet Gynecol Clin North Am. 2000;27:79-99.
13. Carmina E, Koyama T, Chang L, et al. Does ethnicity influence the prevalence of adrenal hyperandrogenism and insulin resistance in polycystic ovary syndrome? Am J Obstet Gynecol. 1992;167:1807-1812.
14. Driscoll DA. Polycystic ovary syndrome in adolescence. Ann N Y Acad Sci. 2003;997:49-55.
15. Rosenfield RL, Ghai K, Ehrmann DA, Barnes RB. Diagnosis of the polycystic ovary syndrome in adolescence: comparison of adolescent and adult hyperandrogenism. J Pediatr Endocrinol Metab. 2000;13(suppl 5):1285-1289.
16. van Hooff MH, Voorhorst FJ, Kaptein MB, et al. Endocrine features of polycystic ovary syndrome in a random population sample of 14-16 year old adolescents. Hum Reprod. 1999;14:2223-2229.
17. Azziz R, Carmina E, Dewailly D, et al. The Androgen Excess and PCOS Society criteria for the polycystic ovary syndrome: the complete task force report. Fertil Steril. 2009;91:456-488.
18. Revised 2003 consensus on diagnostic criteria and long-term health risks related to polycystic ovary syndrome. Fertil Steril. 2004;81:19-25.
19. Zawadzki JK, Dunaif A. Diagnostic criteria for polycystic ovary syndrome: towards a rational approach. Polycystic Ovary Syndrome. Boston: Blackwell Scientific Inc, 1992.
20. Ibanez L, de Zegher F, Potau N. Anovulation after precocious pubarche: early markers and time course in adolescence. J Clin Endocrinol Metab. 1999;84:2691-2695.
21. Balen AH, Laven JS, Tan SL, Dewailly D. Ultrasound assessment of the polycystic ovary: international consensus definitions. Hum Reprod Update. 2003;9:505-514.
22. Venturoli S, Porcu E, Fabbri R, et al. Longitudinal change of sonographic ovarian aspects and endocrine parameters in irregular cycles of adolescence. Pediatr Res. 1995;38:974-980.
23. Adams J, Franks S, Polson DW, et al. Multifollicular ovaries: clinical and endocrine features and response to pulsatile gonadotropin releasing hormone. Lancet. 1985;2:1375-1379.
24. Legro RS, Driscoll D, Strauss JF 3rd, et al. Evidence for a genetic basis for hyperandrogenemia in polycystic ovary syndrome. Proc Natl Acad Sci U S A. 1998;95:14956-14960.
25. Moll GW Jr, Rosenfield RL. Plasma free testosterone in the diagnosis of adolescent polycystic ovary syndrome. J Pediatr. 1983;102:461-464.
26. ACOG Practice Bulletin. Clinical Management Guidelines for Obstetrician-Gynecologists: number 41, December 2002. Obstet Gynecol. 2002;100:1389-1402.
27. Azziz R, Dewailly D, Owerbach D. Clinical review 56: Nonclassic adrenal hyperplasia: current concepts. J Clin Endocrinol Metab. 1994;78:810-815.
28. Chang RJ. A practical approach to the diagnosis of polycystic ovary syndrome. Am J Obstet Gynecol. 2004;191:713-717.
AI-Powered Diabetes Prevention Program Intervention Matches Human Coaching in Landmark Trial
October 27th 2025After 1 year of coaching by the AI app or a DPP-associated coach, reductions in weight and HbA1c and increases in physical activity were equal, an outcome with great promise for scalability.