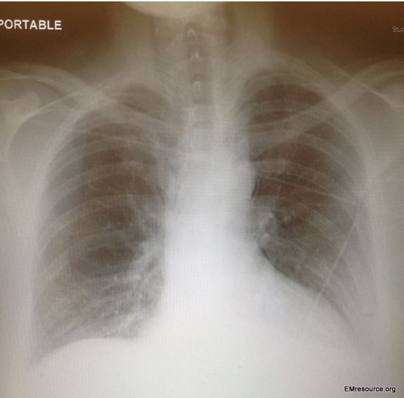
Chest x-ray, PA view (click to enlarge)

A 48-year-old man presents to the emergency department with chest pain and hematemesis. History is significant for hiatal hernia, acid reflux, and a single esophageal dilatation 15 years ago for an impacted food bolus. He states that about 2 hours ago he got a piece of steak stuck in his throat. He couldn’t get it down so he stuck his finger down his throat and successfully induced vomiting. He states he has done this before and afterward has felt better; this time, however, he vomited blood, which has never happened before. Since the vomiting episode, there has been no further bleeding but he has been having pain in his chest and epigastric area which is worse if he lies down. This is also unusual for him. He denies any trouble breathing, melena, prior liver disease or heart disease, or other concerns.
On physical examination, he is alert and in moderate distress, standing upright next to the bed. Vital signs are normal except for his blood pressure, which is elevated at 168/99 mm Hg. Head and neck examinations demonstrate a moist oropharynx without blood; he is handling his secretions without difficulty. His lungs are clear without wheezing or rales and his heart is regular without any abnormal sounds. His abdomen is soft and non-tender. The rest of the exam also is normal.
A screening ECG is performed to evaluate the patient’s chest pain and shows a normal sinus rhythm at a rate of 71 beats/min with nonspecific ST changes. Result of blood tests, including a CBC, metabolic panel, troponin, LFTs, and lipase, are all essentially normal as well. His chest x-ray film is shown in the Figure above (please click on image to enlarge).
Answer: Pneumomediastinum caused by Boerhaave syndrome
The abnormal findings on this x-ray film could be easily overlooked. There is air in the deep neck, which can be seen as a lucent vertical stripe on both sides between the mandible and the first rib near the lateral edges of the cervical vertebrae. There is also a small area of air just to the left of the aortic arch. These findings are subtle.
Discussion
Pneumomediastinum typically presents with retrosternal pain that can radiate to the neck and/or back and tends to worsen with inspiration and/or the act of swallowing. The physical examination is often normal but sometimes crepitance can be palpated in the neck and/or trapezius ridge and rarely a crunching sound can be heard with each heart beat (Hamman crunch).
The diagnosis is confirmed with imaging. Plain film radiography may show air in the mediastinum, which is usually better seen on the lateral view, and air tracking up into the deep spaces of the neck, also better seen on a lateral view. CT scan or esophagram may be required to evaluate the esophagus and trachea if causes of pneumomediastinum that might require surgical intervention are suspected, such as infection, penetrating trauma, or Boerhaave syndrome. Other causes of pneumomediastinum include Valsalva maneuver, lung disease, and barotrauma from mechanical ventilation.
Treatment is directed at the primary cause of the pneumomediastinum. Spontaneous or Valsalva-induced cases are usually benign and resolve within a week. These patients can be discharged home but should be counseled to avoid air travel. Tracheal or esophageal injury often requires repair with either stenting in less severe cases or thoracotomy when damage is more extensive. Broad-spectrum antibiotics should be administered in cases of esophageal rupture or tracking infections. See the Tables below for more details on pneumomediastinum and various causes of Boerhaave syndrome
Case resolution
A gastrografin swallow requested by the thoracic surgeon was performed but was difficult to accurately interpret because of the large size of his hiatal hernia, so a CT scan of the chest was recommended and showed evidence of gross esophageal rupture. In the ED, the patient was given pain medication and broad-spectrum antibiotics. The thoracic surgeon consulted GI and the patient was taken to the GI lab to attempt esophageal stenting, which was unsuccessful. He required a thoracotomy with esophageal repair.
Table 2. BOERHAAVE SYNDROME