A 70-year-old woman with poorly controlled type 2 diabetes mellitus (hemoglobin A1c, 12.5%) and hypertension was brought to the emergency department for evaluation of abdominal pain and loose bowel movements.


 
A 70-year-old woman with poorly controlled type 2 diabetes mellitus (hemoglobin A1c, 12.5%) and hypertension was brought to the emergency department for evaluation of abdominal pain and loose bowel movements.
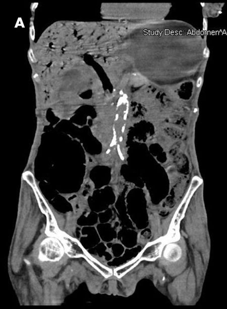
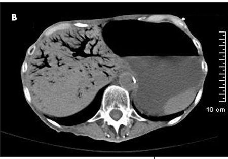
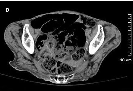
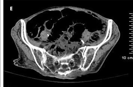
The patient complained of diffuse abdominal pain. She had an erythematous swelling around the right iliac fossa, abdominal guarding, and palpable crepitations. CT scan of the abdomen without contrast showed extensive portal venous air from the small branches in the periphery to the main portal and splenic veins (A and B). Considerable gaseous distention of the small bowel (C and D) and dilated loops of the small bowel were also seen (D and E). These findings were consistent with pneumatosis intestinalis.



The patient was referred for further evaluation and surgery; however, she refused all recommended procedures and interventions and was given comfort care. She died after a brief hospital stay of 2 days. Autopsy confirmed the presence of extensive pneumatosis intestinalis.
This patient’s condition was probably secondary to severe intestinal infection, which led to the infiltration of the bowel wall with gas-forming bacteria. Pneumatosis intestinalis is associated with a high mortality rate, which can range from 30% to 70% depending on the patient’s physical condition, comorbidities, and severity of infection.