Phrenic nerve paralysis can present with chest wall pain, cough, and exertional dyspnea mimicking cardiac dyspnea. Fluoroscopy is the most reliable way to document diaphragmatic paralysis, and the sniff test confirms that abnormal hemidiaphragm excursion is due to paralysis rather than unilateral weakness.
A 71-year-old man was referred to the pulmonary clinic for evaluation of the sudden onset of exertional dyspnea. He is a retired professional swimmer and used to swim 80 laps every day until the onset of breathlessness, which started 1 month ago after he had a flu-like illness. He noted that after about 2 laps, he would feel markedly short of breath. He also reported shortness of breath on lying flat and an occasional cough with no sputum. He denied any weight loss, night sweats, or symptoms of general malaise. Previously, on a visit to his cardiologist, he had undergone a nuclear stress test, the results of which were normal.
The patient was a healthy-appearing man in minimal distress on presentation to the pulmonary clinic. A physical examination revealed normal vital signs and no evidence of clubbing, lymphadenopathy, or enlarged tongue. Assessment of his airway yielded a Mallampati score of 2. Findings on the cardiovascular examination were unremarkable, with normal heart sounds without evidence of murmur, rubs, or gallops. The neurological examination, including cranial nerves and motor and sensory function, and the abdominal examination findings were also unremarkable. Lung examination revealed dullness to percussion and decreased breath sounds at the right base posteriorly.
The patient’s past medical history was significant for atrial fibrillation, for which he had undergone radiofrequency ablation 3 years ago, without any complications. In the postprocedure period, findings on chest radiographs were normal.
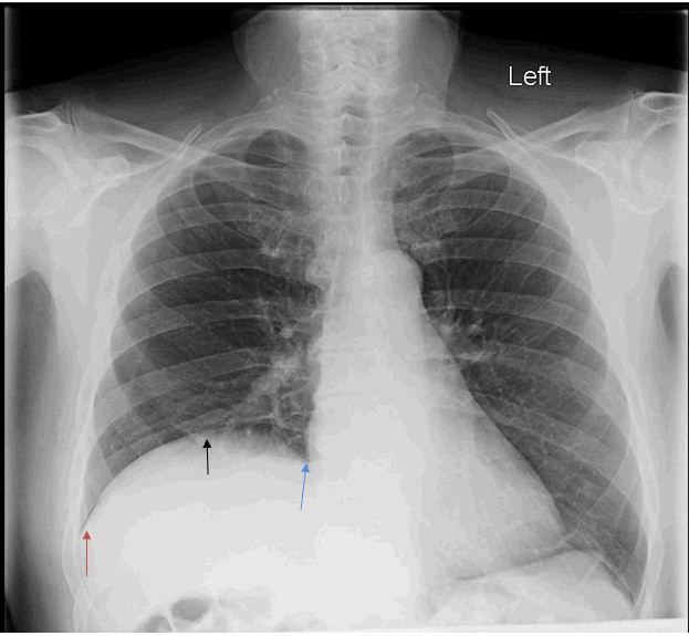
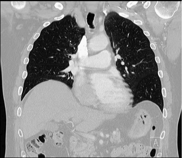
As workup for his dyspnea, the patient underwent pulmonary function testing, which showed a restrictive type of lung disease. A chest radiograph revealed an elevated right hemidiaphragm (Figure 1), which was confirmed by a CT scan (Figure 2). This raised the possibility of right phrenic nerve paralysis as the cause of his symptoms. There was no movement of the right hemidiaphragm observed during a sniff test, (Figure 3) which confirmed the diagnosis.
(Click each image to enlarge)


Figure 1.
Chest radiograph shows significant right hemidiaphragm elevation. No other visible pathology is seen in the lung field. (Black arrow indicates dome of the diaphragm. Red arrow points toward a clear costophrenic angle. Blue arrow shows a clear cardiophrenic angle.)
Figure 2.
Chest CT scan confirms right hemidiaphragm elevation.
There is no evidence of pulmonary embolism.
Figure 3.
Fluoroscopy indicates lack of diaphragm movement during a sniff test.
(Arrows point to the diaphragm.)

The patient denied any traumatic injury to explain the sudden onset of right phrenic nerve paralysis. He was offered MRI of the cervical spine to rule out cervical spondylosis, which he refused. He was referred to thoracic surgery for evaluation for surgical plication of the diaphragm. By the time he presented for evaluation, however, the dyspnea had greatly improved and he was able to complete 40 laps during swimming sessions. The diaphragm paralysis was ultimately believed to be related to a post-viral syndrome following the flu-like illness he had initially reported.
Discussion
Although dyspnea is a common presenting complaint, the diaphragm is rarely the culprit for acute dyspnea. Phrenic nerve paralysis can present with chest wall pain, cough, and exertional dyspnea mimicking cardiac dyspnea,1 as in our patient. It can be caused by cervical spondylosis, tumor compression of the phrenic nerve, blunt trauma, or herpes zoster and is commonly seen after cardiac surgery involving hypothermia.2 In our patient, cervical spondylosis could not be ruled out because MRI of the cervical spine was not done.
Phrenic nerve paralysis is a rare complication of radiofrequency catheter ablation for atrial fibrillation, with a reported incidence of 0.48%.3 Patients who have undergone the procedure are monitored for phrenic nerve paralysis with radiographic and fluoroscopic evaluation of the diaphragm. Findings on our patient’s follow-up chest radiograph after ablation had been normal, making this an unlikely cause of the phrenic nerve paralysis. Thoracic outlet syndrome is another cause of phrenic nerve paralysis; however, our patient did not exhibit any weakness in his upper extremities and a chest CT scan did not reveal any evidence of thoracic outlet obstruction.
Workup for phrenic nerve paralysis should include pulmonary function testing, imaging such as CT, and a sniff test to confirm the diagnosis. Treatment for unilateral diaphragm paralysis is usually conservative, such as breathing exercises and repeat imaging/pulmonary function testing to monitor progress, with expected improvement in 1 to 2 years. Bilateral diaphragm paralysis, on the other hand, is associated with substantial symptoms (eg, anxiety, insomnia, morning headache) and progressive ventilatory failure that requires noninvasive positive pressure ventilation. Prognosis is good for patients suffering from unilateral diaphragm paralysis. These patients do not require treatment unless symptoms persist or exercise limitation becomes significant. Diaphragm plication becomes an option at this point.4
Phrenic nerve paralysis is a rare cause of exertional dyspnea that should be included in the differential diagnosis. Fluoroscopy is considered the most reliable way to document diaphragmatic paralysis, and the sniff test is necessary to confirm that the abnormal hemidiaphragm excursion is due to paralysis rather than unilateral weakness.
References1. Piehler JM, Pairolero PC, Gracey DR, Bernatz PE. Unexplained diaphragmatic paralysis: a harbinger of malignant disease? J Thorac Cardiovasc Surg. 1982;84:861-864.
2. Canbaz S, Turgut N, Halici U, et al. Electrophysiological evaluation of phrenic nerve injury during cardiac surgery-a prospective, controlled, clinical study. BMC Surg. 2004;4:2.
3. Sacher F, Monahan KH, Thomas SP, et al. Phrenic nerve injury after atrial fibrillation catheter ablation: characterization and outcome in a multicenter study. J Am Coll Cardiol. 2006;47:2498-2503.
4. Graham DR, Kaplan D, Evans CC, et al. Diaphragmatic plication for unilateral diaphragmatic paralysis: a 10-year experience. Ann Thorac Surg. 1990;49:248-252.