A 23-year-old woman presents with severe right kneepain that resulted from a collision with another playerduring a soccer game. The majority of the force of theblow was to the right knee. The medical history is noncontributory.



Knee pain following a soccer injury
A 23-year-old woman presents with severe right kneepain that resulted from a collision with another playerduring a soccer game. The majority of the force of theblow was to the right knee. The medical history is noncontributory.
This thin, athletic woman is in moderate distressbecause of her knee pain. Temperature is 37.2oC (99oF);heart rate, 72 beats per minute with normal rhythm; respirationrate, 15 breaths per minute; and blood pressure,108/74 mm Hg. Head and neck are normal, lungs areclear, and upper extremities and left lower extremity arenormal. Sensation in the right foot and area about theknee is intact. Pulses in the right groin, popliteal region,and right foot are normal. The area about the right kneejoint is moderately swollen--particularly laterally; in addition,the joint appears deformed. Severe pain limits passiveand active motion of the knee.
You order frontal, lateral, and sunrise radiographs ofthe right knee. What do these films reveal about the extentof this patient's injury?



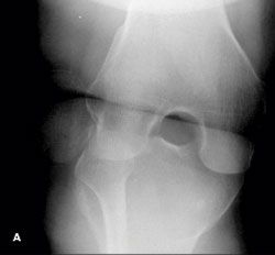
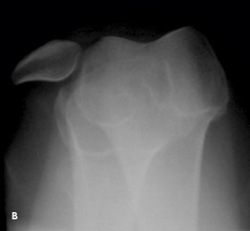
Knee pain following a soccer injury:The frontal radiograph revealsthat the patella is dislocated laterally(A). This is confirmed on the sunriseradiograph (B). A lateral radiographshows the malalignment of the patellawith the distal femur (C). Mostimportant, it also shows no fracture.Lateral dislocation of the patella isdiagnosed.
Factors that predispose to patellardislocations include:


In the vast majority of patients,the initial patellar dislocation representsinjury to the medial patellarfemoral ligament. Such an injuryincreases a patient's risk of subsequentdislocations. The medialpatellar femoral ligament originatesat the medial epicondyle and insertsat the superior margin of the medialaspect of the patella. The primaryfunction of the ligament is to resistlateral migration of the patella. Inmost patients, when the ligament isdisrupted, it has been avulsed fromthe medial epicondyle. Avulsion fractures in the medial epicondylemay be associated with this type ofinjury.
Therapy for an initial dislocationis typically nonoperative unless a definitechondral injury or fracture isidentified. Reduce the dislocation byapplying medial pressure to the patella,with the hip in flexion and theknee extended. It is recommendedthat reduction be followed by a periodof immobilization to allow the medialretinaculum to repair itself. Immobilizationis followed by rehabilitationaimed at strengthening the quadricepsmusculature to help maintainstability. There is a high risk of recurrencein up to 50% of patients.
Surgical management typicallyinvolves inspection and repair of themedial patellar femoral ligament. MRImay be helpful preoperatively to identifythe location and degree of injury.
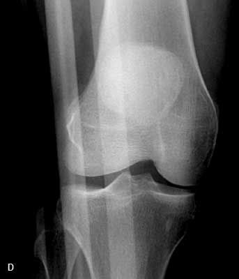
Outcome of this case. The patient'sdislocation was reduced externally.A frontal radiograph of the kneeobtained after the reduction showsnormal alignment of the patella andthe distal femur (D). This is confirmedby a post-reduction lateral view (E).At 3 months, the patient has not hada recurrence.