Chronic headache that worsened when she bent forward and episodes of usually unilateral vision loss sent a 34-year-old woman for medical consultation. The vision loss occasionally occurred in both eyes simultaneously.

Chronic headache that worsened when she bent forward and episodes of usually unilateral vision loss sent a 34-year-old woman for medical consultation. The vision loss occasionally occurred in both eyes simultaneously. The patient described the events as either "grayouts" or "blackouts" from which she would completely recover in a few seconds. During the examination, she complained that her ability to drive was impaired by the frequency of these episodes.
The patient was obese; she was 50% over the ideal weight for her height. Visual acuity in both eyes was 20/20. There was no afferent pupillary defect. Color vision was normal in both eyes.
A fundus examination revealed bilateral disc edema (papilledema), more pronounced in the left eye (A) than in the right eye (B). Formal visual-field testing found enlarged blind spots and early nasal constriction of the visual fields in both eyes. Other ophthalmic and neurologic findings were unremarkable.

An MRI scan of the brain identified no space-occupying lesion or other pathologic condition. The opening pressure during a lumbar puncture was elevated at 385 mm H2O; the cerebrospinal fluid composition was normal.
This patient had pseudotumor cerebri, which occurs primarily in obese young women. Typically, patients experience the symptoms and signs of increased intracranial pressure, including headache, transient visual obscurations, diplopia from lateral recti paresis, and photopsia, as well as nonvisual symptoms, such as dizziness, nausea, vomiting, tinnitus, and intracranial noises. Papilledema is the most common sign of pseudotumor cerebri.
In many patients with pseudotumor cerebri, vision improves spontaneously, although nearly half will have some vision or visual-field loss, and half of these will have more serious vision impairment.
Treatment is unnecessary when visual function is normal and the patient has no symptoms. Prophylactic vascular headache remedies can be given to patients in whom headache is the only symptom. Strongly encourage weight loss for the obese patient, since loss of about 6% of total body weight can cause marked papilledema to resolve.1
Begin therapy with acetazolamide for those patients whose vision is compromised. When medical treatment fails and the threat to vision remains, surgical maneuvers-such as lumbar-peritoneal shunting or optic nerve sheath decompression-are indicated.
REFERENCE:1. Johnson LN, Krohel GB, Madsen RW, March GA Jr. The role of weight loss and acetazolamide in the treatment of idiopathic intracranial hypertension (pseudotumor cerebri). Ophthalmology. 1998;105:2313-2317.
(Case and photographs courtesy of Leonid Skorin, Jr, DO.)
Hyperpigmentation is seen in the groin and axillae (A and B) of an obese 27-year-old man. The pigmentary changes are asymptomatic and have been present for several years.



The tan pigmentation in the axilla of a 17-year-old obese girl (C) was bilateral and pruritic. A culture of tissue from the area was negative for Candida. Pseudoacanthosis nigricans was diagnosed in these 2 patients.
Pseudoacanthosis nigricans, or benign acanthosis nigricans, usually is an idiopathic condition associated with obesity. It may be a marker of high insulin levels in obese persons. Heat, friction, and maceration of the flexural fold have been postulated as causes of the hyperpigmentation.
The condition may occur as an autosomal dominant trait without obesity. Pseudoacanthosis nigricans has been induced with nicotinic agents and, rarely, with other agents.
Both of these patients were advised to lose weight. A corticosteroid cream was prescribed for the teenage girl's pruritus.
(Case and photographs courtesy of Robert P. Blereau, MD.)

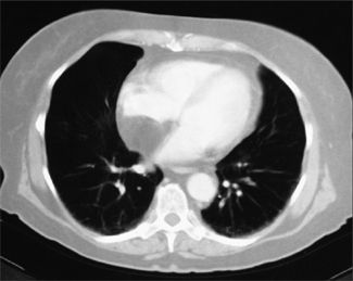
An obese 56-year-old woman was hospitalized after 2 days of chest pain, dyspnea, and palpitations. Physical examination revealed no abnormalities, and serial cardiac enzyme studies and an ECG ruled out myocardial infarction. Suspicion was aroused, however, when transesophageal echocardiography showed a lesion in the mediastinum.
A CT scan of the chest revealed a mass in the mediastinum, and the diagnosis of mediastinal lipomatosis was confirmed by the tumor's characteristic low density (from 220 H to 2100 H). The patient's chest pain subsided without any intervention. Two years later, the mass showed no change in size, confirming a benign process.
Lipomatosis is often associated with obesity, corticosteroid treatment, or Cushing disease. In most cases, the lesions are benign, although liposarcomas do occur in the mediastinum.
(Case and photograph courtesy of Ashwani Bhardwaj, MD, and Pritam S. Badesha, MD.)