A 77-year-old man of Japanese ancestry with a history of well-controlled hypertension was seen in the morning for a routine examination. His blood pressure was normal as were the results of a complete blood cell count and liver function tests. About 6 hours later, he presented to the emergency department with acute abdominal pain accompanied by nausea, vomiting, fever, and chills. He denied headaches, palpitations, and diaphoresis.
A 77-year-old man of Japanese ancestry with a history of well-controlled hypertension was seen in the morning for a routine examination. His blood pressure was normal as were the results of a complete blood cell count and liver function tests. About 6 hours later, he presented to the emergency department with acute abdominal pain accompanied by nausea, vomiting, fever, and chills. He denied headaches, palpitations, and diaphoresis.
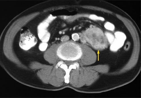
On admission, his blood pressure was 220/100 mm Hg. He had right upper quadrant tenderness. An ultrasonogram and CT scan of the abdomen revealed acute cholecystitis with stones in the common duct and an incidental 5 x 6-cm left para-aortic mass (Figure 1). The patient underwent endoscopic retrograde cholangiopancreatography, during which his systolic blood pressure was difficult to control and fluctuated widely.

Figure 1 – A CT scan of the abdomen with oral contrast indicated a para-aortic mass (yellow arrow).
The following urinary levels were elevated: vanillylmandelic acid (VMA) (17.2 mg/24 h; normal, less than 6 mg/24 h), norepinephrine (445 μg/24 h; normal, 15 to 100 μg/24 h), and normetanephrine (more than 3528 μg/24 h; normal, 122 to 676 μg/24 h); plasma norepinephrine was also elevated (2649 pg/ mL; normal, 112 to 658 pg/mL). These findings were consistent with a paraganglioma.
A metaiodobenzylguanidine (MIBG) scan showed uptake isolated to the para-aortic mass. Further workup included a chest CT scan that revealed a left thyroid mass. Fine-needle aspiration biopsy findings were consistent with papillary carcinoma. CT and MRI scans of the brain showed left anterior middle cranial fossa tumors and right frontal tumors, consistent with meningiomas. Intact parathyroid hormone level was elevated (100 pg/mL; normal, 10 to 65 pg/mL). Levels of serum calcium, calcitonin, and carcinoembryonic antigen were normal.
Phenoxybenzamine was started for induction of α-blockade; however, systolic blood pressures remained erratic. On day 14 of admission, the patient underwent laparoscopic cholecystectomy and hand-assisted laparoscopic excision of the mass, which was located next to the aorta with the apex in the renal hilum. The neoplasm was encapsulated and vascular but was successfully excised with only minor difficulties with blood pressure control.
The tumor measured 5.5 x 5.0 x 3.4 cm and weighed 63.4 g (Figure 2A). Cut surfaces revealed a thinly encapsulated, fleshy lesion with confluent areas of hemorrhagic softening with focal cystic degeneration, and a central area of pale dense septated stroma (Figure 2B). Demonstration of a prominent “chromaffin reaction” in potassium dichromate solution (Zenker fixative) confirmed the diagnosis of paraganglioma.

Figure 2 – The gross specimen of the para-aortic mass is shown (A). Cut surfaces reveal confluent areas of hemorrhagic softening with focal cystic degeneration, and a central area of pale dense septated stroma (B). Demonstration of prominent “chromaffin reaction” in potassium dichromate solution confirmed the diagnosis of paraganglioma.
Microscopically, the mass had polygonal or fusiform cells with finely granular amphophilic-staining cytoplasm, and vesicular nuclei, arranged in irregular anastomosing sheets around delicate vascular stroma. There was significant cellular pleomorphism, with large angular or spindled giant cells with bizarre, hyperchromatic nuclei. Mitoses were occasionally present. There was no evidence of vascular invasion.
Immunohistochemistry (labeled antibody) studies were strongly immunoreactive with antineuron-specific enolase (Figure 3) and antisynaptophysis, but they were equivocal with antichromogranin. Tumor cells did not express antigens to pancytokeratin, calretinin, S-100, or HMB45.

The patient’s postoperative course was uneventful. His blood pressure was controlled with β-blockers. Postoperative VMA and catecholamine levels were normal.
The patient subsequently underwent a total thyroidectomy, during which the parathyroid glands were noted to be normal. Pathology results confirmed that the thyroid mass was a papillary carcinoma. Microscopically, it was lined by polygonal epithelia with rounded nuclei, with nuclear clearing and intranuclear inclusions. A prominent sclerosing component was present with occasional psammomatous meningioma bodies. There was no evidence of medullary carcinoma The suspected meningiomas in the brain will be watched and evaluated for changes at regular intervals.
PHEOCHROMOCYTOMA: AN OVERVIEW
Pheochromocytomas originate from chromaffin cells of the sympathoadrenal system. The tumors most commonly arise in the adrenal medulla; those that develop in extra-adrenal sites are called paragangliomas.1,2 The reported incidence of pheochromocytoma in the general population ranges from 0.5 to 8 cases per million persons.1,3 Pheochromocytoma accounts for less than 0.1% of hypertension cases.4,5 However, it should be considered when the hypertension is paroxysmal and associated with headache, palpitations, and diaphoresis.1,4 Pheochromocytoma may be clinically silent in up to 17% of patients.5
Although most pheochromocytomas are sporadic, familial inheritance patterns exist in multiple endocrine neoplasia type 2 (MEN 2) and in neuroectodermal syndromes, such as neurofibromatosis type 1 and von Hippel-Lindau syndrome, and familial carotid body tumors.6 The incidence of pheochromocytomas associated with these syndromes is reported to be as high as 23%.7
Two subtypes of MEN 2 have been recognized:
MEN type 3 has been described in the literature with the same features of MEN 2B.10 The likely cause of the MEN 2 syndromes is mutations of the RET gene.11
PHEOCHROMOCYTOMA AND PAPILLARY THYROID CARCINOMA
The occurrence of pheochromocytoma and papillary thyroid carcinoma is very rare; only 11 cases have been reported. These occurred in 10 women and 1 man ranging in age from 20 to 65 years; 4 patients had an extra-adrenal pheochromocytoma,12-15 as did this patient. In a review of 526 Japanese patients with pheochromocytoma, the incidence of concurrent papillary thyroid carcinoma was 0.57%.16
The incidence of papillary thyroid carcinoma in patients with pheochromocytoma is 14 times greater than that in the general population.8 Multiple theories may explain this. Fluctuating thyrotropin secretion caused by circulating catecholamines may be a contributing factor.8 Pheochromocytomas can produce and secrete peptides, such as insulinlike growth factor II17 and hypothalamiclike or pituitary-like hormones,18 that may cause the development and/or growth of papillary thyroid carcinoma. The ret proto-oncogene, shown to be rearranged in human papillary thyroid cancers, has been mapped to 10q11.2 near the locus for MEN 2, indicating a genetic predisposition.11
PHEOCHROMOCYTOMA AND MENINGIOMA
The suspected meningioma in this patient is also interesting. To the best of our knowledge, the occurrence of all 3 neoplasms- pheochromocytoma, papillary carcinoma of the thyroid, and meningioma- has not been reported. The occurrence of pheochromocytoma and meningioma is very rare, with only 5 cases reported in the literature.4,19-22 The presence of both entities may be attributed to embryological or genetic factors. Pheochromocytomas and meningiomas share a common embryological origin in cells of the neural crest. Genetic theories have focused on loss of heterozygosity localized to the long arm of chromosome 22.22 Loss of heterozygosity at the D1S7 locus on chromosome 1 has been proposed but not proved.20 Unfortunately, we were unable to analyze the genetics of the tumors or this patient’s constitutional genotype.
Malignant pheochromocytoma with metastasis to the brain masked as a meningioma has been reported.22 In this case, the possibility of a metastatic lesion in the brain was ruled out by the MIBG scan.
REFERENCES: 1. Klinger HC, Klinger PJ, Martin JK Jr, et al. Pheochromocytoma. Urology. 2001;57:1025-1032.
2. Prys-Roberts C. Phaeochromocytoma-recent progress in its management [published correction appears in Br J Anaesth. 2001;86:605]. Br J Anaesth. 2000;85:44-57.
3. Shargorodsky M, Zimlichman R. Pheochromocytoma: a disease with many faces. Isr Med Assoc J. 2002;4:817-818.
4. Sutton MG, Sheps S, Lie JT. Prevalence of clinically unsuspected pheochromocytoma: review of a 50-year autopsy study. Mayo Clin Proc. 1981;56:354-360.
5. Schenker JG, Chowers I. Pheochromocytoma and pregnancy: review of 89 cases. Obstet Gynecol Surv. 1971;26:739-747.
6. Pacak K, Linehan WM, Eisenhofer G, et al. Recent advances in genetics, diagnosis, localization, and treatment of pheochromocytoma. Ann Intern Med. 2001;134:315-329.
7. Landsberg L, Young JB. Catecholamines and the adrenal medulla: pheochromocytoma. In: Wilson JD, Foster DW, eds. Williams Textbook of Endocrinology. Philadelphia: WB Saunders; 1992:621-705.
8. Sipple JH. The association of pheochromocytoma with carcinoma of the thyroid gland. Am J Med. 1961;31:163-166.
9. Chong GC, Beahrs OH, Sizemore GW, Woolner LH. Medullary carcinoma of the thyroid gland. Cancer. 1975;35:695-704.
10. Khairi MR, Dexter RN, Burzynski NJ, et al. Mucosal neuroma, pheochromocytoma and medullary thyroid carcinoma: multiple endocrine neoplasia type 3. Medicine (Baltimore). 1975;54:89-112.
11. Decker RA. Expression of papillary thyroid carcinoma in multiple endocrine neoplasia type 2A. Surgery. 1993;114:1059-1063.
12. Nakamura S, Ishiyama M, Sugimoto M, et al. A case of extra-adrenal pheochromocytoma with papillary thyroid carcinoma. Endocrinol Jpn. 1991;38:351-356.
13. Kido Y, Kuwano H, Yano K, et al. Concurrent adrenal pheochromocytoma and papillary adenocarcinoma of the thyroid in a 20-year-old man. Tumori. 1992;78:59-62.
14. Oishi S, Sasaki M, Sato T, Isogai M. Coexistence of MEN 2A and papillary thyroid carcinoma and a recurrent pheochromocytoma 23 years after surgery: report of a case and a review of the Japanese literature. Jpn J Clin Oncol. 1995;25:153-158.
15. Tseng FY, Chang CC, Peng WJ, et al. A case of extraadrenal pheochromocytoma associated with adrenal cortical nodular hyperplasia and papillary thyroid carcinoma. Endocr J. 1999;46:35-41.
16. Sato T, Oishi S, Iwaoka T, et al. Pheochromocytoma [in Japanese]. Nippon Rinsho. 1983;41(suppl):879-890.
17. Gelato MC, Vassalotti J. Insulin-like growth factor-II: possible local growth factor in pheochromocytoma. J Clin Endocrinol Metab. 1990;71:1168-1174.
18. Spark RF, Connolly PB, Gluckin DS, et al. ACTH secretion from a functioning pheochromocytoma. N Engl J Med. 1979;301:416-418.
19. Takai S, Tateishi H, Nishisho I, et al. Loss of genes on chromosome 22 in medullary thyroid carcinoma and pheochromocytoma. Jpn J Cancer Res. 1987;78:894-898.
20. Tanaka S, Okazaki M, Egusa G, et al. A case of pheochromocytoma associated with meningioma. J Intern Med. 1991;229:371-373.
21. Tisherman SE, Tisherman BG, Tisherman SA, et al. Three-decade investigation of familial pheochromocytoma. An allele of von Hippel-Lindau disease? Arch Intern Med. 1993;153:2550-2556.
22. Liel Y, Zucker G, Lantsberg S, et al. Malignant pheochromocytoma simulating meningioma: coexistence of recurrent meningioma and metastatic pheochromocytoma in the base of the skull. Isr Med Assoc J. 2002;4:829-831.
AI-Powered Diabetes Prevention Program Intervention Matches Human Coaching in Landmark Trial
October 27th 2025After 1 year of coaching by the AI app or a DPP-associated coach, reductions in weight and HbA1c and increases in physical activity were equal, an outcome with great promise for scalability.