The patient has had 10 episodes of bleeding in the past 24 hours. Can you find clues to the underlying problem in the history and on the CT scan?
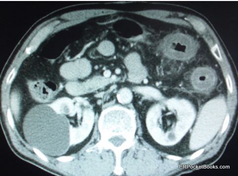
Figure. Cut from abdominal CT scan.

A 64-year-old man presents to the emergency department with a history of 10 episodes of rectal bleeding and diffuse intermittent abdominal pain over the past 24 hours. He also describes generalized weakness and says he experienced near syncope during one episode. He denies fever, vomiting, palpitations, and chest pain and has no other complaints. He denies taking blood thinners, prior gatrointestinal bleeding, or recent travel. Two months ago, however, he was hospitalized at your hospital for cholecystitis. His past medical history is significant for GERD and hypertension. His only current medications are benazepril and lansoprazole.
Other than grossly positive blood on digital rectal exam, the rest of his physical exam, including vital signs, is essentially normal. Other findings include mild diffuse abdominal tenderness without rebound, guarding, or rigidity and a well healed right upper quadrant scar. Specifically, there is no skin pallor, tachycardia, rash, edema, or melena.
Diagnostic testing includes a complete blood cell count, metabolic panel, liver function tests, lipase test, and a CT scan of the abdomen. Laboratory values are all normal except for a potassium level of 3.1 mEq/L and a white blood cell (WBC) count of 19.2 x 103/µL. The CT scan was ordered primarily because of the elevated WBC count and one cut from that scan is shown in the Figure. (Please click on Figure to enlarge)
- What incidental abnormal finding or findings do you note?
- What abnormal finding on this CT scan correlates with this patient’s clinical presentation?
- How would you proceed with the patient’s workup and subsequent management?
For answers and disucssion, please click here.
Clinical Tips for Using Antibiotics and Corticosteroids in IBD
January 5th 2013The goals of therapy for patients with inflammatory bowel disorder include inducing and maintaining a steroid-free remission, preventing and treating the complications of the disease, minimizing treatment toxicity, achieving mucosal healing, and enhancing quality of life.