A 31-year-old Bangladeshi man presented with dull, aching abdominal pain primarily in the right flank. The pain began a week after he underwent exploratory laparotomy for a perforated duodenal ulcer. He had been taking oxycodone/acetaminophen, docusate sodium, and omeprazole since the surgery.
In this Photo Essay
Introduction
Two Cases: Peritoneal TB and Pott DiseasePeritoneal TB
A 31-year-old Bangladeshi man presented with dull, aching abdominal pain primarily in the right flank. The pain began a week after he underwent exploratory laparotomy for a perforated duodenal ulcer. He had been taking oxycodone/acetaminophen, docusate sodium, and omeprazole since the surgery. He denied alcohol consumption and illicit drug use and reported no nausea, vomiting, diarrhea, or black or bloody stools; however, he had subjective fevers, a decreased appetite, and early satiety associated with increasing abdominal girth. He had been in the United States for 15 months working sporadically in construction. He denied any TB contacts or personal history of TB.

Examination revealed tense ascites with shifting dullness, a tender abdomen, and a large midline surgical scar without evidence of lymphadenopathy. Vital signs and remaining physical findings were normal. All laboratory results were normal.
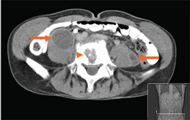
Abdominal CT findings included multiple retroperitoneal and paravertebral abscesses (arrows) and osteomyelitis of the L4 vertebral body (arrowhead). Intravenous cefotaxime and metronidazole were started.
Esophagogastroduodenoscopy showed only mild gastritis. Paracentesis revealed a lymphocytic-predominant exudative ascites (white blood cell count of 3560/μL, 78% lymphocytes), with a serum-ascites albumin gradient less than 11 g/L. The fluid was negative for acid-fast bacilli (AFB); however, the adenosine deaminase level was 82.3 U/L (normal, less than 7.6 U/L). Results of a purified protein derivative (PPD) test and HIV and hepatitis testing were negative.
Laparoscopy showed a thickened and granular peritoneum. Results of a peritoneal biopsy revealed caseating granulomas and were positive for AFB. An anti-TB regimen with isoniazid, rifampin, ethambutol, and pyrazinamide was started. Pyridoxine was added to prevent neuropathy associated with isoniazid. The patient was instructed to follow up with the local TB clinic. Roughly 2 months after initiating treatment, he reported reduced symptoms.
The most common pathogenic mechanism for peritoneal TB is reactivation of a latent tuberculous focus in the peritoneum that was established from hematogenous spread from a primary lung focus.1 Infection via hematogenous spread from active pulmonary or miliary TB can also occur. Less common portals of entry into the peritoneal cavity include direct spread of the tubercle bacilli from ruptured lymph nodes, transmurally from an infected small intestine or contiguously from tuberculous salpingitis.2 TB has been implicated as a cause of smallbowel perforation leading to peritonitis.3,4 This patient’s perforated duodenal ulcer may have been caused by Mycobacterium tuberculosis gut infection, which could have led to peritoneal seeding with tubercle bacilli.
Patients can present with nonspecific abdominal pain, diarrhea, obstruction, hematochezia, and a palpable mass. More than 90% of patients with TB peritonitis have ascites at the time of presentation; the remainder present with a more advanced “dry” phase, or fibroadhesive form of the disease.5,6
In patients with ascites, paracentesis reveals an exudative fluid with a high protein level and leukocytosis (leukocyte count of 150 to 4000/μL) that is usually lymphocytic. 7 According to some reports, the yield for M tuberculosis can be as low as 3% with Ziehl-Neelsen staining of ascitic fluid but can range from 35% to 83% with culture of ascitic fluid.8 The adenosine deaminase level in the peritoneal fluid has a high sensitivity and specificity when a cutoff value of greater than 33 U/L is used. Peritoneal biopsy performed by laparoscopy or mini-laparotomy that shows epithelioid granulomas and caseation or mycobacteria can be diagnostic in more than 95% of patients.9
REFERENCES:
1.
Mehta JB, Dutt A, Harvill L, Mathews KM. Epidemiology of extrapulmonary tuberculosis. A comparative analysis with pre-AIDS era.
Chest.
1991;99:1134-1138.
2.
Tang LC, Cho HK, Wong Taam VC. Atypical presentation of female genital tract tuberculosis.
Eur J Obstet Gynecol Reprod Biol.
1984;17:355-363.
3.
Agarwal N, Saha S, Srivastava A, et al. Peritonitis: 10 years’ experience in a single surgical unit.
Trop Gastroenterol.
2007;28:117-120.
4.
Jhobta RS, Attri AK, Kaushik R, et al. Spectrum of perforation peritonitis in India-review of 504 consecutive cases.
World J Emerg Surg.
2006;1:26.
5.
Manohar A, Simjee AE, Haffejee AA, Pettengell KE. Symptoms and investigative findings in 145 patients with tuberculous peritonitis diagnosed by peritoneoscopy and biopsy over a five year period.
Gut.
1990;31:1130-1132.
6.
Bhargava DK, Shriniwas, Chopra P, et al. Peritoneal tuberculosis: laparoscopic patterns and its diagnostic accuracy.
Am J Gastroenterol.
1992;87:109-112.
7.
Diagnostic Standards and Classification of Tuberculosis in Adults and Children. This official statement of the American Thoracic Society (ATS) and the Centers for Disease Control and Prevention was adopted by the ATS Board of Directors, July 1999. This statement was endorsed by the Council of the Infectious Diseases Society of America, September 1999.
Am J Respir Crit Care Med.
2000;161(4, pt 1):1376-1395.
8.
Sanai FM, Bzeizi KI. Systematic review: tuberculous peritonitis-presenting features, diagnostic strategies and treatment.
Aliment Pharmacol Ther.
2005;22: 685-700.
9.
Marshall JB. Tuberculosis of the gastrointestinal tract and peritoneum.
Am J Gastroenterol.
1993;88:989-999.