A 47 y/o woman with cirrhosis, HCV, and chronic pancreatitis requests Demerol for the worst abdominal pain she has ever had. What's your diagnosis?
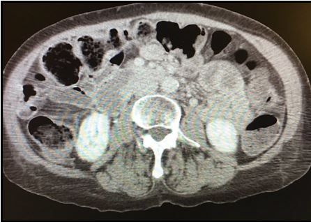
Figure 1. Abdominal CT scan

Figure 2. Bowel wall thickening

History
A 47-year-old woman with a history of cirrhosis, hepatitis C, and chronic pancreatitis presents to the emergency department for abdominal pain. The abdominal pain is diffuse and radiates to the back. She denies any fever, vomiting, or change in her chronic diarrhea. She requests a pain shot, preferably Demerol if it is available.
Examination
Vital signs are all normal. During your physical examinatino you note voluntary guarding in the epigastric area without rebound. The rest of the exam is normal. The patient states, “This is the worst the pain has ever been,” so you decide to order an abdominal CT scan along with routine abdominal laboratory tests.
Initial Concerns
Testing
Results of a CBC, basic metabolic panel, serum lipase measure, and LFTs are all normal. Image of CT scan is shown in Figure 1 above (please click on image to enlarge).
Questions
Please click here for answers, discussion, and case conclusion.
Answers
Discussion
Bowel wall thickening has a number of potential causes, some dangerous and others less so. The normal thickness of the bowel wall is <2mm; >3mm is considered abnormal; and 2-3mm is the equivocal range. Most causes of thickened bowel wall are infectious or inflammatory (predominantly Crohn disease and ulcerative colitis) and these both typically present with diarrhea. Small bowel obstructions can cause bowel thickening and this may be a sign of ischemia. Ascites and/or portal hypertension can cause chronic bowel wall thickening, which is usually benign and is likely the cause in this case. Refer to Figure 2 for other, less common causes.
Conclusion
Patient was sent home without opiates.
Clinical Tips for Using Antibiotics and Corticosteroids in IBD
January 5th 2013The goals of therapy for patients with inflammatory bowel disorder include inducing and maintaining a steroid-free remission, preventing and treating the complications of the disease, minimizing treatment toxicity, achieving mucosal healing, and enhancing quality of life.