Community-acquired pneumonia is a frequent cause ofhospital admission in adults. It usually results from infectionwith pathogens such as Streptococcus pneumoniae, Haemophilusinfluenzae, Mycoplasma, and Chlamydia, among others. In a fewcases, pneumonia develops from infection with unusualpathogens, such as Pasteurella multocida, a gram-negativeorganism commonly found in the mouths of cats and dogs.We report a case of P multocida pneumonia associated with skintrauma caused by cat scratches in a woman with a history ofchronic obstructive pulmonary disease. [Infect Med. 2008;25:487-489]
Community-acquired pneumonia (CAP) is most often caused by Streptococcus pneumoniae, Haemophilus influenzae, Mycoplasma pneumoniae, Moraxella catarrhalis, Chlamydia pneumoniae, influenza virus, respiratory syncytial virus, and various other organisms. Pasteurella multocida is a very rare cause of pneumonia. It is a gram-negative, nonmotile, facultatively anaerobic coccobacillus. Many pathogenic isolates are encapsulated. These organisms grow on a variety of commercial media, including sheep blood agar and chocolate agar.1P multocida appears as smooth, iridescent, blue, watery, mucoid colonies on growth media. 2 The oxidase reaction is most reliable when strains grown on chocolate agar are used.1
P multocida has been isolated from the upper respiratory tract of cats and dogs, in which colonization with these organisms is very high.3 Indeed, Pasteurella species are the most common pathogens associated with cat bites.4,5 We report a case of CAP caused by P multocida infection in a cat owner.
Case report
A 63-year-old woman with a history of chronic obstructive pulmonary disease (COPD) presented to the emergency department with concerns of fever, productive cough, shortness of breath, weakness, leftsided pleuritic chest pain, nausea, and light-headedness. The symptoms reportedly had persisted for a week. She denied hemoptysis, vomiting, and other systemic symptoms and had no previous history of pneumonia. She was an active smoker (1.5 packs a day for 45 years), but she denied alcohol and injection drug abuse. The patient had 2 cats.
The patient was allergic to sulfa drugs, penicillin, aspirin, codeine, and ibuprofen. Her past medical history included gastric carcinoma, which was diagnosed 20 years earlier, and bladder cancer, which was diagnosed 1 month earlier. The patient weighed 107 lb. Examination of the skin and extremities revealed scratches on the right thigh and the fingers of both hands, which reportedly were caused by one of the patient's pet cats.
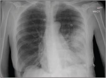
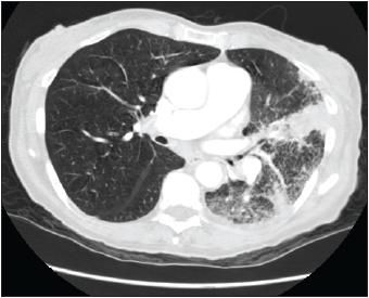
During the initial examination, the patient's temperature was 39.9C (103.9F). Her pulse rate was 104 beats per minute. Blood pressure was 124/74 mm Hg, respiration rate was 24 breaths per minute. Arterial blood gas analysis on admission showed significant hypoxemia (pH was 7.44, PaCO2 was 34 mm Hg, PaO2 was 39 mm Hg, bicarbonate level was 23 mEq/L, and oxygen saturation was 76% on room air). The leukocyte count was 7100/?L, and it increased to 15,200/?L, with 40% bands, in 48 hours. Results of the basic metabolic panel, coagulation profile, and liver function tests were normal. Chest auscultation revealed decreased breath sounds in the left lung base and dullness to percussion in the left midlung. A chest radiograph showed increased density in the left lingular area and a small left pleural effusion (Figure 1). ACT scan of the chest showed a lingular infiltrate with compressive atelectasis and left pleural effusion (Figure 2). A 2-dimensional echocardiogram showed no vegetations. The patient was given moxifloxacin 400 mg IV daily and aztreonam 2 g IV q8h.

Figure 1 -
Aposteroanteriorradiographic viewof the chest showsincreased densityin the lingulararea and a smallleft pleuraleffusion.

Figure 2 -
ACTscan of the chestwith contrastshows a lingularinfiltrate withcompressiveatelectasis andleft pleuraleffusion.
Blood cultures grew gram-negative rods, which were identified as P multocida. Following a 10-day course of antibiotic therapy, clinical improvement was seen. The patient was discharged home. Radiographs obtained 3 months later showed resolution of the previous infiltrate and no pleural effusion.
Discussion
Respiratory tract colonization by P multocida in humans is known to occur. In most cases, infection manifests as upper or lower respiratory tract disease, such as chronic sinusitis, bronchiectasis, pharyngitis, epiglottitis, tracheobronchitis, pneumonia, emphysema, or lung abscess. 1,4,6-9 In addition, Pasteurella infections also include skin and soft tissue infections, bone and joint infections, meningitis, endocarditis, and septicemia.5,10 Most patients with P multocida respiratory tract infections have underlying lung diseases, such as COPD, which was the case with our patient. Bacteremia is found in 55% of the patients in whom blood cultures are obtained, and overall mortality is 29%.11
The clinical course of Pasteurella respiratory tract infections is nonspecific. Common symptoms include fever, malaise, dyspnea, and pleuritic chest pain.11-13 Onset of disease may be gradual or abrupt. In patients with pneumonia, chest examination will reveal localized findings, such as dullness, rhonchi, or wheezing. The chest radiograph commonly shows lobar consolidation, but multilobar and diffuse infiltrates have been described.14
Pasteurella may be mistaken for H influenzae, M catarrhalis, Neisseria species, or Acinetobacter on sputum Gram stain. It is susceptible to a number of antibiotics, including penicillin G, amoxicillin/clavulanic acid, piperacillin/tazobactam, doxycycline, fluoroquinolones, carbapenems, and advanced cephalosporins. Penicillin is the drug of choice.4,10,12,15 Patients who are allergic to penicillin may be treated with oral quinolones or doxycycline. Infections caused by ?-lactamase-producing strains can be treated with extendedspectrum cephalosporins (cefuroxime, cefpodoxime) or trimethoprim/ sulfamethoxazole.
Atopic Dermatitis: The Pipeline and Clinical Approaches That Could Transform the Standard of Care
September 24th 2025Patient Care tapped the rich trove of research and expert perspective from the 2025 Revolutionizing Atopic Dermatitis meeting to create a snapshot of the AD care of the future.