Lofgren syndrome, lumbar disk herniation, suppurative appendicitis with rupture, rotator cuff impingement syndrome, aortic dissection.
A 33-year-old woman presented with frontotemporal headaches and neck pain. Later, she presented to the ED with a worsening headache now accompanied by nausea, vomiting, ankle pain with swelling, and fever. A new rash on the anterior aspect of her lower extremities (below) appeared as erythematous, tender patches, 3 to 4 cm in size. Biopsy of lung tissue was significant for granulomatous disease, and a diagnosis of Lofgren syndrome (a form of acute sarcoidosis) was made.

Image courtesy of Mohenish Singh, DO, Brandon Hill, MD, and James McDonald, MD.
Click here for the next image
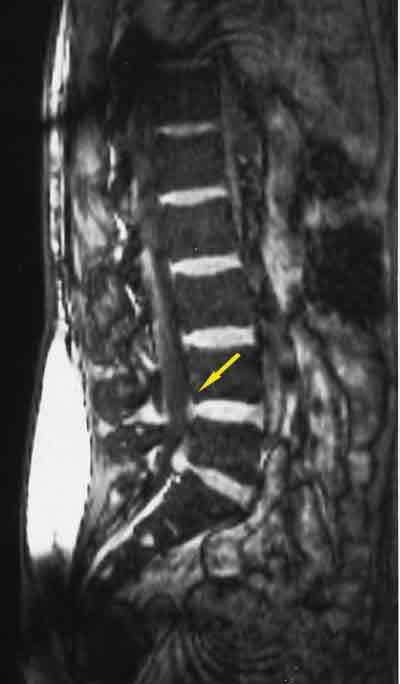
This patient has sciatica caused by disk herniation. Patients who present with sciatica have radicular symptoms more frequently than back pain. Because more than 95% of disk herniations occur at the L4-5 or L5-S1 level (arrow), the radicular pain typically extends below the knee. This radicular component helps differentiate true sciatica from nonsciatic conditions, such as trochanteric bursitis and hip osteoarthritis.

Image courtesy of David Della-Giustina, MD and Bradford A. Kilcline, MD.
Click here for the next image
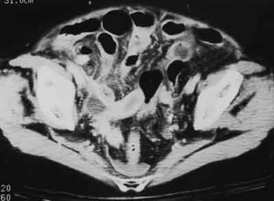
Abdominal pain in older patients is a medical Pandora’s box-some die, many need surgery, and the cause often remains unknown. An 84-year-old woman presented with nausea, vomiting, and constant lower abdominal pain. Abnormal urinalysis results and a normal WBC count were consistent with a urinary tract infection. This helical CT scan suggested perforating appendicitis. Surgical exploration revealed acute suppurative appendicitis with rupture.

Image courtesy of Carolyn J. Sachs, MD, MPH.
Click here for the next image
A 55-year-old right-handed man had a constant dull ache in his right shoulder that worsened when he steered his car or elevated his arm. The pain radiated to his neck and upper right arm. In the “empty can” test (below), a patient abducts both arms 90° laterally, then adducts them 20° to the frontal plane, with thumbs turned down; the examiner resists further abduction to test strength and watches for signs of pain. The man most likely had rotator cuff impingement syndrome. Rotator cuff problems make up 60% to 70% of the shoulder problems seen in the primary care setting.

Image courtesy of Edward J. Shahady, MD, Willis Paull, PhD, and Seth Smith, PharmD.
Click here for the next image
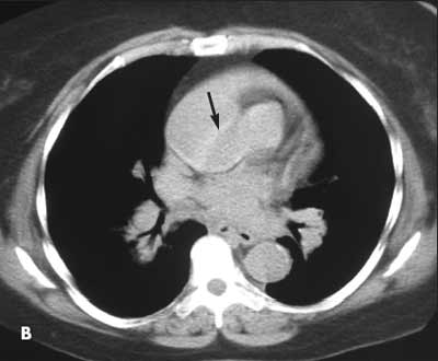
A 57-year-old woman presented with severe chest pain and general malaise. She had a history of hypertension. A frontal upright radiograph of the chest showed a prominent mediastinum at the upper limits of normal. The aorta was ectatic. A CT scan without contrast through the ascending aorta revealed a linear area of fluid within the ascending aorta (B, arrow). The fluid represents blood in the displaced intimal wall of the ascending aorta, which is diagnostic of aortic dissection.

Image courtesy of William Yaakob, MD and Stephen Schabel, MD.
Click here to return to the first image.