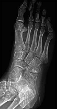
A 21-year-old man presented for evaluation after he sprained his right ankle while hiking. Radiographs of the ankle showed no fractures but revealed diffuse sclerotic lesions in most of the visualized bones.

A 21-year-old man presented for evaluation after he sprained his right ankle while hiking. Radiographs of the ankle showed no fractures but revealed diffuse sclerotic lesions in most of the visualized bones.
These hyperostotic areas of bone represent osteopoikilosis, a benign, autosomal dominant condition that occurs in about 1 in 50,000 persons.1 The pelvic, carpal, and tarsal bones or the epiphyseal ends of long bones are most often affected.2 Almost all affected persons have metacarpal lesions.1,3 The condition is usually diagnosed incidentally, as in this case.
The cause has been traced to a loss-of-function mutation in the LEMD3 gene, which leads to excessive intracellular Smad/transforming growth factor β signaling and in turn leads to increased bone synthesis, which correlates with multiple hyperostotic lesions.4 The distribution of sclerotic bone lesions varies among patients and may change over time.5
Osteopoikilosis may be an isolated finding or part of a clinical syndrome. Associated pathologies include connective tissue nevi, such as juvenile elastomas or dermatofibrosis lenticularis disseminata (Buschke-Ollendorf syndrome); hyperostosis of cortical tubular bone (melorheostosis); and a recently identified microdeletion syndrome on chromosome 12q14 that is marked by short stature, mental retardation, and osteopoikilosis.6,7
When evaluating patients with multiple sclerotic bone lesions, consider both primary cancer and osteoblastic metastatic disease. Osteoblastic metastasis is of particular concern when breast or prostate cancer is suspected. Although tuberous sclerosis, bone infarction, and fibrous dysplasia are also associated with this radiographic finding, often the clinical picture will narrow the differential diagnosis.
A bone scan can usually distinguish osteopoikilosis from a malignant process. Radiotracer uptake is usually increased in patients with malignant disease and normal in those with osteopoikilosis. In young patients, however, abnormal bone scan results may indicate benign remodeling.1 Patients with rapidly growing lesions should be referred to an orthopedic surgeon for bone biopsy. Most patients with osteopoikilosis are asymptomatic. Periodic radiographic imaging is recommended because of rare complications, including spinal stenosis, pathological fracture, and malignant degeneration.1,3
References
1. Carpintero P, Abad JA, Serrano P, et al. Clinical features of ten cases of osteopoikilosis. Clin Rheumatol. 2004;23:505-508.
2. Bull M, Calderbank P, Ramachandran N. A cause for concern? Osteopoikilosis found incidentally in the emergency department: a case report. Emerg Med J. 2007;24:e29.
3. Benli IT, Akalin S, Boysan E, et al. Epidemiological, clinical and radiological aspects of osteopoikilosis [published correction appears in J Bone Joint Surg Br. 1994;76:683]. J Bone Joint Surg Br. 1992;74:504-506.
4. Ben-Asher E, Zelzer E, Lancet D. LEMD3: the gene responsible for bone density disorders (osteopoikilosis). Isr Med Assoc J. 2005;7:273-274.
5. Resnick D. Bone and Joint Imaging. Philadelphia: WB Saunders; 1989:1234-1239.
6. Hellemans J, Preobrazhenska O, Willaert A, et al. Loss-of-function mutations in LEMD3 result in osteopoikilosis, Buschke-Ollendorff syndrome and melorheostosis. Nat Genet. 2004;36:1213-1218.
7. Menten B, Buysse K, Zahir F, et al. Osteopoikilosis, short stature and mental retardation as key features of a new microdeletion syndrome on 12q14. J Med Genet. 2007;44:264-268.