More than 100 types of HPV inhabit the oral region. The HPV-16 type is highly associated with oral squamous cell carcinoma.
Dr Burgess is board-certified in Oral Medicine, and he is currently Editor in Chief of the dental content Web site, the Dental Health Imaging Hub (dental.healthimaginghub.com).He served 15 years as an Attending at the Pain Center associated with the University of Washington Medical Center and as a Clinical Assistant Professor in the Department of Oral Medicine at the Dental School. He was in a specialty Oral Medicine practice for over 20 years.
The image here shows primary herpes simplex virus type 1 (HSV-1) infection localized to the attached gingival tissue. HSV-1 infection of the oral mucosa is typically short-lived and not a major medical concern, except in cases involving immunocompromised patients and/or central dissemination.

Photo courtesy of Dr Federico Brugnami
Tongue lesions associated with primary HSV-1 infection.

Photo courtesy of Dr Federico Brugnami
Primary HSV-1 lesions on the uvula and tonsillar pillars.

Photo courtesy of Dr Federico Brugnami
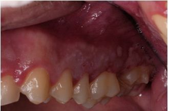
In this patient with secondary HSV infection caused by latent herpesvirus, the recurrent lesion appears on the attached gingival tissue adjacent to the teeth, including the palate. Secondary infection may last 10 to 14 days and reoccurs in response to stress, fever, trauma, and hormonal alterations.

Photo courtesy of Dr Jeff Burgess
Shown here are condylomata acuminata, associated with human papillomavirus (HPV)-8 and HPV-11; occasionally, infection is caused by HPV-16 and HPV-18. The lesions are usually non-painful and may be solitary or multiple. Lesion color varies from pink to pink-white to white.


Top photo courtesy of Drs Michael Martin and Dolphine Oda; bottom photo courtesy of Dr Tom H. Morton Jr.
The HPV lesions seen here involve the hard and soft palate. Lesions typically occur at the lip commissures and on the dorsal tongue may also occur on the gingiva, floor of the mouth, lip, buccal mucosa, and tonsillar pillars.

Photo courtesy of Drs Michael Martin and Dolphine Oda
Verrucous xanthoma is one of several oral conditions associated with HPV. The distinguishing feature of verruciform lesions is the presence of innumerable large foamy histocytes.

Photo courtesy of Dr Dolphine Oda.
These papules are characteristic of focal epithelial hyperplasia (Heck disease). This condition is caused by HPV-13 and HPV-32.

Photo courtesy of Dr Dolphine Oda.
The lesion seen here, caused by HPV-16, is a papillary squamous cell carcinoma in situ. HPV-16 is highly associated with this orophayrngeal cancer and premalignant diseases.1-3 It is currently the primary cause of oral cancer in men.

Photo courtesy of Dr Dolphine Oda.
References
1. Chaturvedi AK, Engels EA, Pfeiffer RM, et al. Human papillomavirus and rising oropharyngeal cancer incidence in the United States.
J Clin Oncol
. 2011;29:4294-4301.
2. James SD. Oral sex linked to rise in men’s throat cancer. ABC News. October 20, 2010.
http://abcnews.go.com/Health/ReproductiveHealth/hpv-oral-cancers-rise-oral-sex-popular-spread/story?id=11916068#.T891Lb9XsmI.
Accessed June 6, 2012.
3. Syrjnen S, Lodi G, von Bltzingslwen I, et al. Human papillomaviruses in oral carcinoma and potentially malignant disorders: a systematic review.
Oral Dis.
2011;17(suppl 1):58-72.
Click here to return to first image