Immunocompromised hosts are at high risk for opportunisticinfections caused by endemic fungi such as Cryptococcus,Histoplasma, and Coccidioides. Moulds other than Aspergillusalso are being implicated in opportunistic fungal infections inimmunocompromised patients. Infections attributed toZygomycetes and Fusarium and Scedosporium species are beingreported with increased frequency. Because infection with theseorganisms cannot be distinguished from aspergillosis onradiographic imaging or histological examination, culture isrequired to confirm the diagnosis. Therapeutic success mayhinge on correct identification of the infectious organism.
Because of lapses in the immune system, immunocompromised hosts are at risk for infection with endemic fungi. Although infection is associated with exposure, it may represent reactivation of latent disease from exposure that occurred many years previously. When a patient presents with an infection suspected of being caused by an endemic fungus, it is of utmost importance to obtain a thorough history, including past and current places of residence, recent travel, and exposure to pets or other animals. Serological studies are often required to make the diagnosis.
It is also important to consider moulds other than Aspergillus species as the cause of fungal infections in immunocompromised hosts. Infections attributed to Zygomycetes and Fusarium and Scedosporium species are being reported with increased frequency. These infections clinically present in a manner similar to infections caused by Aspergillus species and often cannot be distinguished from aspergillosis on radiographic imaging or often on histological examination. Thus, culture is often required to confirm the diagnosis. In addition, currently available antifungal therapies have gaps in their coverage of some of these organisms, making identification all the more necessary.
Cryptococcus neoformans is responsible for cryptococcosis. Infection is acquired by inhalation. Initial exposures to the yeast can lead to active symptomatic infection with local or disseminated disease or latent infection similar to that caused by Mycobacterium tuberculosis.1
Cryptococcosis has been described in patients with cancer who have impaired cell-mediated immunity or have received high-dose corticosteroid therapy. Donor organ- transmitted disease has been reported in patients who have received a lung2 or corneal transplant.3
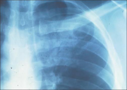
The primary sites of infection are the lung and CNS. Infection can occur at other sites, including the skin, prostate, and eye. Most immunocompromised hosts will present with constitutional symptoms, including fever, malaise, cough, weight loss, or headaches. Chest radiographs may show alveolar or interstitial infiltrates that can be caused by other pathogens1 and thus make diagnosis challenging (Figure 1).

Figure 1 -
This chest radiograph demonstrates pneumonia caused by
Cryptococcus neoformans
infection.
In patients with HIV/AIDS, cryptococcosis typically presents as a subacute meningitis or meningoencephalitis with fever, malaise, and headache. Certain patients, however, may present with encephalopathic symptoms. Classic meningeal signs (eg, neck stiffness or photophobia) may be absent.4
In a retrospective case analysis of 31 patients with cancer (65% with hematological malignancies) who had cryptococcosis, pulmonary involvement was the most common form of infection, diagnosed in 19 patients (61%).5 Pulmonary infection was asymptomatic in 32% of affected patients. Otherwise, cough and dyspnea were the most common symptoms, but the overall presentation was nonspecific. A multitude of findings, including patchy or diffuse infiltrates, nodules, or focal consolidation, were found on chest radiographs. Those patients who presented with CNS disease had typical signs and symptoms of meningitis.
A literature review of case reports of cryptococcosis in solid organ transplant (SOT) recipients found an incidence rate of 2.8%.6 The CNS was the most commonly affected site; 55% of patients had CNS infection alone. Six percent of patients had pulmonary infection only, and 24% had infection at more than 1 site. Of interest, patients who were receiving tacrolimus were significantly less likely to have CNS involvement than patients who were receiving other types of immunosuppressive therapy (78% vs 11%). That tacrolimus has anticryptococcal activity in the setting of high temperatures (37C to 39C [98.6F to 102.1F]) may account for this finding. Symptom presentation was similar to that described for cancer patients with the exception of cutaneous cryptococcosis, which had a propensity to be located on the extremities.1
Laboratory findingsC neoformans can be isolated on most routine media and can be detected from 3 to 7 days after the specimen has been plated. Standard blood culture methods routinely identify C neoformans and confirm a diagnosis of cryptococcemia.1 Up to 75% of patients with HIV-1-associated cryptococcal meningitis will have positive blood cultures.4
Serological detection of cryptococcal polysaccharide is both sensitive and specific (90% or more). The latex agglutination test is used most; however, some centers use enzyme immunoassay. A positive test result with titers in biological fluid of 1:4 or more strongly suggests infection. False-negative results are uncommon. 1Cryptococcus antigen is almost invariably detected in the cerebrospinal fluid (CSF) in patients who have meningitis or meningoencephalitis; antigen testing of CSF samples should be part of the standard analysis in immunocompromised patients.1,4
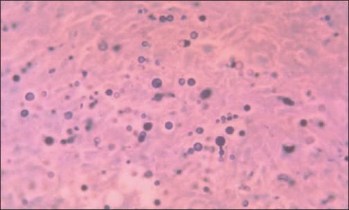
Clinical specimens, including CSF and aspirates of cutaneous lesions, can be examined with India ink staining, revealing encapsulated yeast cells of 5 to 10 ?m in diameter. Yeasts are easily highlighted on routine Gram stains. In tissue specimens, Cryptococcus does not routinely stain with hematoxylin and eosin (H&E) but can be seen with the Gomori methenaminesilver (GMS) stain (Figure 2). However, GMS is not specific for this yeast.1 Periodic acid-Schiff reaction will stain extracellular encapsulated Cryptococcus strongly pink. This is useful for differentiating this yeast from other yeasts that have a similar morphology.

Figure 2 -
A lymph node biopsy stained with Gomori methenamine-silver shows
Cryptococcus neoformans
.
Therapy
Prophylactic therapy is not currently recommended for the prevention of cryptococcosis in immunocompromised patients. For patients who have HIV-1 infection and active pulmonary disease without concurrent CNS disease, therapy with azoles, such as fluconazole 200 to 400 mg/d, is a reasonable option.7 However, patients who are severely ill should receive amphotericin B. Secondary prophylaxis should be continued until significant immune reconstitution from antiretroviral therapy (ART) is established.
For patients who have HIV-1 infection and CNS or disseminated disease, the recommended initial treatment is intravenous amphotericin B (0.7 to 1 mg/kg/d) combined with oral flucytosine (100 mg/kg/d in 4 divided doses) for 2 weeks in patients with normal renal function. This regimen can be switched to oral fluconazole 400 mg/d for an additional 8 weeks if significant clinical improvement occurs and CSF cultures are negative after repeat lumbar puncture. Lipid formulations of amphotericin B may be useful in patients who have renal insufficiency or who are at high risk for the development of renal failure, although the optimal dosage has not been determined.4,7
Treatment options in immunocompromised patients who are not HIV-1-infected have not been well studied. It is recommended that all immunocompromised patients-including patients with hematological malignancy and transplant recipients- with non-CNS pulmonary and extrapulmonary disease be treated in the same fashion as patients with CNS disease.7 Every attempt to improve the immunity of the host should be made, including decreasing immunosuppression, if feasible.
Histoplasma capsulatum
is a dimorphic fungus that can cause infections in both immunocompetent and immunocompromised patients. In the United States,
H capsulatum
is endemic to the Mississippi and Ohio river valleys and localized areas near these regions. It grows well in soil that contains large amounts of bird or bat guano.
8
Disease occurs either as a result of new infection after an environmental exposure or as a result of reactivation of latent infection if cellular immune function wanes. Weakened cellular immune function is the presumed cause of disease recurrence in areas where H capsulatum is not endemic.9 T-cell-mediated immune responses play an important role in whether a person fends off disease caused by infection with this organism; however, even in patients with adequate cell-mediated immunity, H capsulatum can maintain foci in various organs, 10 thus allowing for reactivation of infection when cell-mediated immunity is disrupted by illness or medication use.
Histoplasmosis occurs in 2% to 5% of patients with HIV/AIDS who are not receiving ART and who either currently live or have lived in areas where H capsulatum is endemic. Localized pulmonary disease might occur in patients with a CD4+ lymphocyte count of more than 300/?L, whereas disseminated disease usually occurs in patients with a CD4+ lymphocyte count of less than 150/?L.4,11
Histoplasmosis is uncommon in patients who have hematological malignancies and in hematopoietic stem cell transplant (HSCT) and SOT12,13 recipients; however, it can be life-threatening when it does occur. Disseminated disease has been reported in renal13,14 and liver13 transplant recipients. Donor-transmitted disease has been reported but is a rare phenomenon.15
The most common clinical presentation in patients with HIV/ AIDS is disseminated disease. Constitutional symptoms are prominent and include fever, weight loss, fatigue, lymphadenopathy, and cough. Ten percent to 20% of patients will present with septic shock.11 Chest radiographs can show diffuse infiltrates, usually in a miliary reticulonodular pattern16; however, findings on chest radiographs also may be normal,17 so a high index of suspicion is needed for diagnosis.
In SOT recipients, fever, fatigue, and dry cough are the most common presenting symptoms. Other reported symptoms have included malaise, fatigue, and dyspnea for up to 30 days before presentation. An infiltrate seen in initial chest radiographs or CT scans commonly has a diffuse miliary pattern.13
Laboratory findingsHistoplasma antigen testing of urine samples is commonly used for diagnosis. Sensitivity is 90% in patients with disseminated disease and 75% in patients with acute pulmonary histoplasmosis.18 Specificity has been reported to be as high as 98%18; however, false-positive results can occur in patients who are infected with other endemic mycotic pathogens. 19 Positive serum antigen assays but negative urine antigen assays are uncommon and should raise suspicion for a false-positive serum assay.10,16
In tissue specimens, H capsulatum appears as a distinctive 2- to 4-mm, oval, narrow-based budding yeast. Routine H&E staining will not always result in visualization of the organisms; instead, a GMS stain should be used. Routine peripheral blood smears from patients with serious illness and disseminated disease will sometimes show yeast within neutrophils.10
Therapy
Data from a prospective randomized controlled trial showed that antifungal prophylaxis with oral itraconazole 200 mg qd for patients with HIV-1 infection and CD4+ T-cell counts of less than 100/?L who are living in regions in which H capsulatum is highly endemic can reduce the frequency of disease; however, no survival benefit was observed in the patients who were receiving itraconazole therapy.20 Avoidance of activities associated with increased risk of histoplasmosis, such as remodeling or demolishing old buildings, cleaning chicken coops, exploring caves, disturbing areas contaminated with bird or bat droppings, and so on, has been recommended.4
Prophylaxis in patients who have hematological malignancies or who have undergone HSCT or SOT has not been studied, but the risk of histoplasmosis appears low. Prophylaxis may be appropriate in patients with a history of active histoplasmosis within 2 years of planned immunosuppressive therapy or transplant; however, the optimal duration of prophylaxis is unknown. Urine antigen testing should be obtained before the treatment or transplant and should be measured every 2 to 3 months during intensive immunosuppression. If there is an increase in the titer, further workup for active disease is indicated as well as prompt initiation of empirical antifungal therapy.8,21
The antifungal agents that have proved to be effective and are preferred for the treatment of histoplasmosis include amphotericin B, lipid formulations of amphotericin B, and itraconazole. Echinocandin therapy is not recommended.
Patients with severe disseminated disease should be treated with intravenous liposomal amphotericin B (3 mg/kg/d), intravenous amphotericin B lipid complex (5 mg/kg/d), or intravenous amphotericin B deoxycholate (0.7 to 1 mg/kg/d) for 1 to 2 weeks, followed by oral itraconazole 200 mg bid for at least 12 months.8 In a randomized doubleblind trial that compared conventional amphotericin B with liposomal amphotericin B for induction therapy in patients who have histoplasmosis and HIV/AIDS, liposomal amphotericin B was less toxic and was associated with improved survival.22 For patients with mild to moderate histoplasmosis, treatment with oral itraconazole 200 mg bid for at least 12 months is recommended. Longer treatment may be required in those patients who have persistent immunodeficiency.8
Coccidioides
is a dimorphic fungus that is a common cause of respiratory tract infections in southwestern United States. The area of endemicity stretches from southern California to western Texas.
Coccidioides immitis
is limited to the San Joaquin valley region of southern California, whereas
Coccidioides posadasii
is responsible for disease occurring outside of California and in Central America and South America.
23
Both cell-mediated and humoral immunity are induced following infection with C immitis. Whereas high humoral immunity (high IgG level) generally corresponds with a poor outcome, increased cell-mediated immunity (a positive skin test result) portends a good response.24 Infections are acquired following the inhalation of arthroconidia.25
In patients with CD4+ lymphocyte counts of less than 250/?L, both localized pneumonia and disseminated infection are observed.4 The incidence of coccidioidomycosis has decreased with the introduction of potent ART.26 In the pre-ART era, the incidence rate of coccidioidomycosis in areas where the causative organism was endemic was 2% to 5%.
In persons with hematological malignancy, coccidioidomycosis can cause severe illness, with a high risk of disseminated infections and death. In a retrospective review of patients who have bone marrow disease or hematological malignancy and coccidioidomycosis, the most common underlying malignancies were non-Hodgkin lymphoma and chronic lymphocytic leukemia.27
Patients who have undergone organ transplant are at the greatest risk for infection in the first year after the procedure.24 The risk is increased in persons who have a history of infection or in whom serological test results are positive just before transplant. 28 Another risk factor for coccidioidomycosis after SOT is receipt of antirejection therapy.29 Infection can occur through reactivation of preexisting latent infection, newly acquired infection related to living in or traveling to areas where Coccidioides is endemic, or secondary transmission of an infected organ. Posttransplant reactivation is the most commonly described mechanism of infection.22 Disseminated disease is common.
In HIV-1-infected patients, presentation with diffuse pulmonary disease, usually with a reticulonodular pattern, is common and can resemble Pneumocystis pneumonia. Clinical symptoms include fever, night sweats, and dyspnea.24,26 A similar presentation is often seen in patients with hematological malignancy.27 In SOT recipients, the presentation of pulmonary infection varies from an acute illness with fever, productive cough, and dyspnea to shock and fulminate respiratory failure. Patients also may present with more insidious symptoms such as fatigue, anorexia, and weight loss without any pulmonary symptoms.28
Disseminated disease is common in immunocompromised patients. In both HIV-1-infected patients and patients with hematological malignancies, meningitis and skin and lymph node involvement are common but bone and joint disease is rare.26,27 In SOT recipients, dissemination to multiple extrapulmonary sites, including the transplant graft, has been reported.28
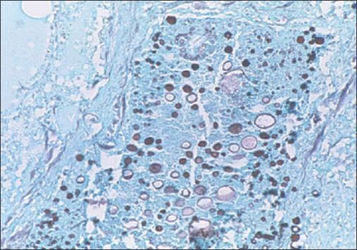
Laboratory findingsCoccidioides forms a large spherule in tissue and is readily identified with a variety of stains (Figure 3). Histopathological findings may vary from abscesses to well-formed granulomas. 23,24 Direct examination is not as sensitive as culture; both methods should be used.

Figure 3 -
Gomori methenamine-silver stain of thyroid tissue shows
Coccidioides immitis.
The mycelial form of the fungus grows well at most temperatures and on most artificial media. Mature cultures are highly infectious and should be handled by experienced personnel in laboratories with appropriate safety equipment.24 Sputum cultures may be negative in the setting of active infection, but bronchoscopy may improve the yield. In the setting of HIV-1 infection, however, cultures of bronchoalveolar lavage fluid are often negative and lung biopsy may be necessary.24
Blood cultures may be positive in patients with overwhelming disease; however, results of commercial blood culture systems are variable and require prolonged incubation. 26,28 Fungal cultures of urine may enhance the ability to establish the diagnosis of disseminated coccidioidomycosis. 28 CSF cultures will be positive in fewer than half of cases; therefore, serological testing of a CSF sample is recommended.26
Serological testing is sensitive and specific for the immunocompetent patient but may be less reliable for the immunocompromised patient. The tests use a tube-precipitin antigen that detects antibodies early in the course of infection and a complement- fixing antigen that detects antibodies that emerge later in the course of disease.28 In 2 case studies that evaluated patients who had coccidioidomycosis and HIV-1 infection, serological test results were positive in 68% and 74% of the cases, respectively.30,31
In a study of patients with hematological malignancies, Coccidioides antibody was identified in most patients with non-Hodgkin lymphoma and multiple myeloma but was detectable in only 33% of patients with chronic lymphocytic leukemia.27 False-positive results have been documented in lung transplant candidates with underlying cystic fibrosis, which may have been caused by nonspecific circulating proteins that interfered with the test results.28
In SOT recipients, lack of a detectable serological reaction despite active disease also has been reported. 28,29 Serological testing should be used in cases of suspected coccidioidomycosis, but tests results that are negative should be interpreted with caution. In addition, serological screening for coccidioidomycosis is recommended in transplant donors or recipients coming from or residing in areas where Coccidioides species are endemic.21
Therapy
There are no published prospective studies that examine the role of antifungal prophylaxis for coccidioidomycosis. Antifungal prophylaxis is not currently recommended for patients who have HIV-1 infection or hematological malignancies. Targeted prophylaxis with fluconazole before SOT has been used at some centers in patients who have either a history of coccidioidomycosis or a positive serological test result.21,32 This protocol, however, is not considered standard practice.
The treatment of coccidioidomycosis depends on the location and extent of infection. Specific antifungal therapies include intravenous amphotericin B deoxycholate (0.5 to 1.5 mg/kg per day or alternate days), intravenous lipid formulations of amphotericin B (2 to 5 mg/kg or more per day), oral ketoconazole (400 mg qd), fluconazole (400 to 800 mg intravenously or orally qd), and oral itraconazole (200 mg bid or tid).32
Voriconazole has been used to treat coccidioidomycosis on a limited basis,18 but it is not FDA-approved for this indication. Posaconazole is licensed in Europe for salvage therapy for coccidioidomycosis, and it was shown to be an effective treatment in a small clinical trial; however, it is not FDA approved and its relative efficacy compared with other triazole antifungals is unknown.23,32
Emerging mycoses include zygomycosis, attributed to moulds belonging to the class Zygomycetes (especially of the order Mucorales); fusariosis, attributed to Fusarium species; and scedosporiosis, attributed to Scedosporium species.
Zygomycosis
Zygomycosis refers to a spectrum of infections. Pathogens from the 2 orders of Zygomycetes-Mucorales and Entomophthorales-produce distinct clinical patterns of infection. Mucorales fungi, which are most closely associated with human disease, include the genera Rhizopus and Mucor. Zygomycetes fungi are ubiquitous in nature and commonly found in organic substrates, including bread, fruits, and vegetable matter. Infection follows inhalation of spores, and sinopulmonary disease is the most common presentation.33 Several studies have shown that zygomycoses, which are opportunistic infections, represent 5% to 12% of all fungal infections in high-risk patient groups.34
Prolonged neutropenia is one of the most important predisposing factors for invasive zygomycosis. It is increasingly being reported as a late complication of HSCT28 and has been reported in all types of organ transplant recipients.34 Invasive zygomycosis in HSCT recipients receiving voriconazole prophylaxis has been reported and may be an independent risk factor for infection.35,36
Nonmyeloablative HSCT has been associated with a higher rate of infection. Risk factors in these patients included severe acute graft versus host disease (GVHD) and Cytomegalovirus infection.37 Risk factors for zygomycosis in SOT recipients include treatment of chronic rejection, periods of neutropenia, ketoacidosis, and renal failure.34
Clinical presentations of zygomycosis in immunocompromised patients are almost indistinguishable from those of invasive mycotic infections caused by other types of moulds. The spectrum of disease includes rhinocerebral disease, organ infection, and disseminated disease.
A retrospective review that evaluated whether criteria could be developed to help distinguish pulmonary zygomycosis from invasive pulmonary aspergillosis found that fever was the most common presenting sign in each group.38 In logistic regression analysis of clinical characteristics, concomitant sinus involvement (P = .003), voriconazole prophylaxis (P = .005), and diabetes mellitus (P = .03) were significantly associated with pulmonary zygomycosis. A review of CT scans revealed that the number of nodules (10 or more) was highly indicative of pulmonary zygomycosis versus invasive pulmonary aspergillosis (64% vs 18%; P = .02). Prospective validation of this study is needed.
In SOT recipients, the most common presentation is pulmonary disease, especially in diabetic renal allograft recipients. Extrapulmonary sites include rhinocerebral, genitourinary, CNS, musculoskeletal, and cutaneous sites. GI zygomycosis has been reported as a rare infection in the early posttransplant period in heart transplant and other allograft recipients and is associated with high mortality.34
Regarding laboratory findings, Mucorales moulds grow well on both nonselective and fungal-selective media. Recovery of Zygomycetes organisms from tissue is difficult. Indeed, numerous reports of negative cultures from premortem and autopsy specimens have been published. Blood cultures are rarely positive34; neither are cultures from CSF, sputum, urine, or swabs of infected areas.
Definitive diagnosis of zygomycosis almost always requires histopathological evidence of fungal invasion of tissue. Zygomycetes organisms can be distinguished from Aspergillus species in tissue by their broad (3 to 25 ?m in diameter), thin walled, mostly aseptate hyphae that are best seen with H&E stain. Identification of Zygomycetes fungi at the genus and species level requires culture studies, because all members of this group are morphologically similar in tissue.33
Successful treatment of zygomycosis depends on timely diagnosis, reversal of underlying risk factors, surgical debridement, and effective systemic antifungal therapy. There have been no prospective studies of primary treatment of zygomycosis and most evidence comes from small case series; therefore, optimal therapy is not known. A multivariate analysis of data from 59 patients with hematological cancers and proven or probable zygomycosis revealed that the only factor that significantly correlated with recovery from infection was treatment with liposomal amphotericin B.39
Currently, the recommended antifungal therapy for zygomycosis includes amphotericin B deoxycholate 1 to 1.5 mg/kg/d. Lipid formulations of amphotericin B have been used to treat zygomycosis. Less renal toxicity may be associated with their use than with other formulations of amphotericin B.33
Zygomycetes fungi are resistant in vitro to the echinocandins and most triazoles, including fluconazole and voriconazole. Posaconazole, however, may be useful as salvage therapy for zygomycosis. In a retrospective review of 91 patients with zygomycosis who were refractory or intolerant to other antifungal therapies and received posaconazole on a compassionate-use basis, complete or partial response was seen in 60% after 12 weeks of treatment.40
FusariosisFusarium is a plant pathogen and a soil saprophyte that causes a broad spectrum of infections in humans, including superficial, localized, and disseminated disease.37 Fusariosis is similar to aspergillosis in that it occurs more frequently in patients who have prolonged and profound neutropenia and in those who receive high doses of corticosteroids. Host immunity, especially T-cell defense, is important in the pathophysiology of these infections. Unlike infections in the normal host, infections with Fusarium species in immunocompromised patients are generally invasive and disseminated. The principal portals of entry for this mould are the airways followed by skin with tissue breakdown.41
Fusariosis has been widely reported in HSCT recipients. In allogeneic HSCT recipients, a trimodal distribution of infection occurs. The first peak is during the early posttransplant period (during neutropenia). The second peak is at a median 70 days after transplant (typically in patients with GVHD receiving corticosteroids). The third peak occurs more than 1 year after HSCT and is associated with treatment of chronic GVHD.41 Reports of fusariosis in SOT recipients are much less frequent than in HSCT recipients.37
The clinical manifestations of fusariosis depend on the portal of entry and the degree of immunosuppression. Endophthalmitis, sinusitis, pneumonia, and skin and soft tissue infections have been described.41 Often, the clinical presentation is indistinguishable from that seen with other invasive fungal infections. However, unlike aspergillosis, a striking characteristic of fusariosis is the high frequency of positive blood cultures. Combined with the presence of skin lesions, positive blood cultures are characteristic of disseminated disease in immunocompromised patients.
Standard blood cultures will often yield growth of Fusarium; however, fungal media is preferred in patients in whom fusariosis is suspected because the growth rate is faster than that in standard media. Positive cultures from a sinus aspirate or respiratory secretions in highly immunocompromised patients should be considered diagnostic of infection; however, this does not hold true for immunocompetent patients in whom colonization without active infection can occur.41 In tissue, Fusarium hyphae look similar to those of Aspergillus species. In the absence of microbial growth, establishing the diagnosis would be difficult.
In general, localized infections are likely to benefit from surgical debridement. Disseminated infections require treatment with systemic antifungal agents. Fusarium tends to be drug-resistant, and what constitutes optimal therapy is not clear. On the basis of in vitro susceptibility testing, Fusarium has low susceptibility to fluconazole, 5-flucytosine, and amphotericin B and variable susceptibility to itraconazole, voriconazole, and posaconazole. However, various species may have different patterns of susceptibility. Fusarium solani is more susceptible to amphotericin B but is less susceptible to voriconazole than is Fusarium oxysporum. Echinocandins do not have in vitro activity.41
Voriconazole is approved for the treatment of Fusarium infections in patients whose treatment with other antifungals has failed. Reports of its use for treatment of these infections are limited. When used in a compassionate- use setting, 9 of 21 patients (43%) with fusariosis had a complete or a partial response.42 Posaconazole therapy was successful in 10 of 21 patients (48%) with fusariosis who were refractory or intolerant to other antifungal agents.43 Further clinical data are needed.
ScedosporiosisScedosporium apiospermum (and its telomorph Pseudallescheria boydii) and Scedosporium prolificans are ubiquitous filamentous fungi present in soil, sewage, and polluted waters. Infections with these organisms can be localized, can extend into the surrounding tissues, or can disseminate through hematogenous spread to distant organs.44
Patients who have advanced HIV- 1 infection, primary immunodeficiencies, or hematological malignancies and patients who are HSCT or SOT recipients are at high risk for development of Scedosporium infection. Disseminated infection is most common in immunocompromised patients. In advanced HIV-1 infection, scedosporiosis may develop during periods of neutropenia.44
The most common sites of infection are the lungs and soft tissue with extension to the bones. However, reports of meningitis, ocular infections, bone and joint infections, and endocarditis have been described. In sinopulmonary disease, fever is the most common sign of infection. Other common clinical symptoms include dyspnea and pleuritic chest pain. Findings on chest radiographs varied from focal unilateral to bilateral diffuse infiltrates and nodules. By the time of diagnosis of pneumonia, skin manifestations of disseminated disease (maculopapular rash or nodular lesions that become necrotic) may be present. Bloodstream infections are found in two-thirds of patients with disseminated disease.44
In skin and soft tissue infections, primary inoculation through trauma may be the cause rather than hematogenous spread from other organs. Manifestations of cutaneous ulcers, nodules, subcutaneous abscesses, and folliculitis have been described. Bone and articular involvement in immunocompromised hosts is most likely through hematogenous spread.44
P boydii, S apiospermum, and S prolificans grow at 25C (77F) on Sabouraud glucose agar. They can be recovered from blood cultures using standard detection systems. Findings on cytopathology or histopathology are very similar to findings associated with Fusarium species, Aspergillus species, and other moulds, although Scedosporium species may demonstrate more irregular branching. Culture confirmation is necessary to confirm the diagnosis.44
Voriconazole is approved for the treatment of infections attributed to P boydii and its asexual form S apiospermum in patients in whom treatment with other antifungals has failed. Most of the clinical data are in the setting of salvage therapy. In a case series of 36 patients with scedosporiosis in whom voriconazole was used for salvage therapy, complete or partial response was seen in 63% of patients infected with S apiospermum but in only 29% of the patients infected with S prolificans. This finding correlates with in vitro findings.42