Diffuse abdominal pain with nausea, vomiting, and constipation developed in a 69-year-old man with poorly differentiated mesothelioma several days after he was hospitalized for left-sided intractable pleuritic chest pain that warranted opiates.

Diffuse abdominal pain with nausea, vomiting, and constipation developed in a 69-year-old man with poorly differentiated mesothelioma several days after he was hospitalized for left-sided intractable pleuritic chest pain that warranted opiates.
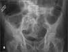
Vital signs were normal. The abdomen was distended, mildly tender, and hypertympanic with positive bowel sounds. There were no signs of ascites or organomegaly. Abdominal radiographs revealed marked distention of colonic loops (A and B). Electrolyte levels were normal. Stool culture results were negative. White blood cell count was normal. Results of a recent abdominal CT scan excluded intestinal obstruction. Acute colonic pseudo-obstruction (Ogilvie syndrome) was diagnosed.
Ogilvie syndrome is characterized by gross dilatation of the cecum and right hemicolon that may extend to the rectum in the absence of intestinal obstruction.1 The exact mechanism is unknown; however, an impairment of the autonomic nervous system has been suspected. Associated conditions include malignancy, trauma, infection, cardiac disease, major surgeries, severe illness, electrolyte imbalance (especially hypokalemia, hypocalcemia, or hypomagnesemia), and use of certain medications (eg, narcotics, phenothiazines, calcium channel blockers, α2-adrenergic agonists, epidural analgesics).1-3

Clinical manifestations include nausea, vomiting, abdominal pain, and constipation. Abdominal distention is usually present and can cause labored breathing.1-3 There are no pathognomonic physical or laboratory findings. Plain abdominal radiographs show the colonic dilatation. CT findings support the diagnosis and exclude intestinal obstruction and toxic megacolon.
Treatment includes supportive care, removal of an underlying cause, gentle enema, and decompression procedures.4 Rapid colonic decompression may be achieved with neostigmine,5 erythromycin,6 or cisapride.7 Cautious administration of neostigmine is advised because of associated major adverse effects.5
Surgery is reserved for patients in whom medical and endoscopic management fails and for those who have signs of peritonitis or perforation.8
This patient did well with nasogastric and rectal tube suction and gentle enemas.
REFERENCES:
1
. Vanek VW, Al-Salti M. Acute pseudo-obstruction of the colon (Ogilvie’s syndrome). An analysis of 400 cases.
Dis Colon Rectum
. 1986;29:203-210.
2
. Ogilvie WH. William Heneage Ogilvie 1887-1971. Large-intestine colic due to sympathetic deprivation. A new clinical syndrome.
Dis Colon Rectum.
1987;30: 984-987.
3
. Jetmore AB, Timmcke AE, Gathright JB Jr, et al. Ogilvie’s syndrome: colonoscopic decompression and analysis of predisposing factors.
Dis Colon Rectum.
1992;35:1135-1142.
4
. Johnson CD, Rice RP, Kelvin FM, et al. The radiologic evaluation of gross cecal distension: emphasis on cecal ileus.
AJR
. 1985;145:1211-1217.
5
. Stephenson BM, Morgan AR, Salaman JR, Wheeler MH. Ogilvie’s syndrome: a new approach to an old problem.
Dis Colon Rectum.
1995;38:424-427.
6
. Armstrong DN, Ballantyne GH, Modlin IM. Erythromycin for reflex ileus in Ogilvie’s syndrome.
Lancet.
1991;337:378.
7
. MacColl C, MacCannell KL, Baylis B, Lee SS. Treatment of acute colonic pseudoobstruction (Ogilvie’s syndrome) with cisapride.
Gastroenterology.
1990; 98:773-776.
8
. Ramage JI Jr, Baron TH. Percutaneous endoscopic cecostomy: a case series.
Gastrointest Endosc
. 2003;57:752-755.